Меланоз кожи – это заболевание, при котором тело накапливает избыточное количество пигмента под названием меланин.
Меланоз может быть физиологическим (например, у некоторых рас из-за избытка солнечного света, или во время беременности), или патологическим, когда накапливание происходит в тех местах и органах, где оно должно быть в норме.
Патологическое скапливание обычно бывает на органах, в оболочке мозга, на слизистых, в веществе головного мозга.
Образование меланина регулирует симпатическая нервная система и железы внутренней секреции. Поэтому чаще всего причиной становится дисфункция этих систем.
Причины развития
Причины развития процесса накопления изучены не до конца. Среди наиболее вероятных, называют:
- наследственность;
- нарушения в работе эндокринной системы (недостаточность коры надпочечников, неправильная выработка гормона гипофизом, патология работы половых желез);
- авитаминоз (пеллагра, цинга и т.п.).
Меланоз кожи, представляющий собой избыточное образование меланина, вызывает обеспокоенность у dermatologov. Врачи отмечают, что существует несколько видов меланоза, включая доброкачественные и злокачественные формы. Наиболее распространённые из них — это солнечный меланоз и меланоз, связанный с генетическими факторами. Специалисты подчеркивают важность ранней диагностики, так как это значительно увеличивает шансы на успешное лечение. В зависимости от типа и стадии заболевания, методы лечения могут варьироваться от наблюдения и дерматоскопии до хирургического удаления и иммунотерапии. Врачи настоятельно рекомендуют регулярные осмотры кожи, особенно для людей с предрасположенностью к меланозу, чтобы своевременно выявлять изменения и минимизировать риски.

Виды
Ученые выделяют несколько видов заболевания. Патологический меланоз может быть:
- врожденным:
- ретикулярный прогрессирующий;
- эксцессивный меланобластоз.
- приобретенным:
Ретикулярный прогрессирующий тип встречается очень редко. Она связан с повышенной чувствительностью кожи к воздействию солнечного света. Он проявляется в виде пятнистой пигментации, а также образованием меланофоров в коже, гиперкератозом и отечностью кожи.
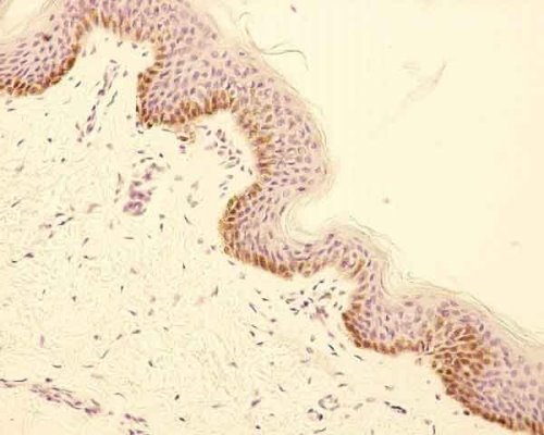
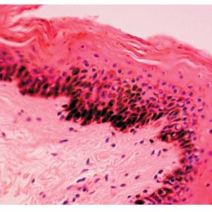
Эксцессивный тип обычно диагностируют у малышей до 1 месяца. Он имеет опухолевую природу, и связан с метастазами меланомы матери, которые переходят через плаценту. Такой новорожденный будет иметь темные участки на коже, а также меланин находят в ядре нервных клеток и в мозгу. При гистологическом анализе находят скопления невусо- и меланофороподобных клеток, в котором очень много пигмента.
Приобретенные виды заболевания встречаются намного чаще.
Диффузный тип поражает кожу, его связывают с нарушениями работы эндокринной системы. Часто диагностируется при Аддисоновой болезни. Очаговый затрагивает внутренние органы, особенно кишечник. От него чаще страдают люди с непроходимостью кишечника, а также хроническими запорами. Локализация происходит в илеоцекальном отделе, сигмовидной и прямой кишке. Слизистая становится коричневого или черного цвета.
Меланоз кожи вызывает множество обсуждений среди медицинских специалистов и пациентов. Многие люди отмечают, что ранняя диагностика играет ключевую роль в успешном лечении. Существует несколько видов меланоза, включая доброкачественные и злокачественные формы. Пациенты часто делятся своим опытом, подчеркивая важность регулярных осмотров у дерматолога, особенно для тех, кто имеет предрасположенность к этому заболеванию. Лечение может варьироваться от наблюдения за изменениями на коже до хирургического вмешательства. Некоторые пациенты отмечают, что после удаления меланозных образований они чувствуют себя гораздо увереннее. Важно также упоминать о профилактике, включая использование солнцезащитных средств и избегание избыточного пребывания на солнце. Обсуждение меланоза в обществе помогает повысить осведомленность и снизить страхи, связанные с этим заболеванием.
Лечение
Лечение проводят с помощью гормонотерапии и большого количества витамина С.
Для внешнего использования назначают крема, в составе которых есть койевая и азелаиновая кислота, а также гидрохинон и третиноин.
Выведение пятен с помощью лазера назначают в особо тяжелых случаях. Если образование меланозных пятен на коже спровоцировали гормональные препараты, их прием нужно прекратить. У беременных пятна сходят сами по себе после родов и нормализации работы гормональной системы.
Также есть ряд народных средств, которые могут помочь убрать меланозные пятна с кожи.
Дома можно приготовить маски из:
- банана (растолченный фрукт нанести на пятна и оставить на 15 минут);
- баклажана (используют мякоть, завернутую в марлю – оставить на пятне на 15 минут);
- насыщенная кислородом вода (умывания положительно скажутся на цвете кожи);
- мед, сухое молоко и лимонный сок (смешать до однородной массы и нанести на лицо на 20 минут. Затем смыть и помазать лицо йогуртом);
Меланоз имеет наследственную природу, поэтому если в семье были случаи заболевания, человеку нужно больше беречь себя, использовать хорошо солнцезащитные крема, не принимать лекарства, которые могут вызывать такую реакцию.

Вопрос-ответ
Что такое меланоз кожи и как он проявляется?
Меланоз кожи — это заболевание, характеризующееся избыточным накоплением меланина в коже, что может привести к появлению темных пятен или участков. Он может проявляться в виде различных форм, таких как солнечный меланоз, который возникает из-за длительного воздействия солнечных лучей, или меланоз, связанный с другими факторами, такими как гормональные изменения или наследственность.

Какие методы лечения меланоза кожи существуют?
Лечение меланоза кожи может включать в себя различные подходы, такие как использование топических средств с отбеливающими компонентами, лазерная терапия, химические пилинги и, в некоторых случаях, хирургическое удаление. Важно, чтобы лечение назначалось дерматологом после тщательной диагностики и оценки состояния кожи пациента.
Как можно предотвратить развитие меланоза кожи?
Для предотвращения меланоза кожи рекомендуется избегать длительного пребывания на солнце, использовать солнцезащитные средства с высоким SPF, носить защитную одежду и регулярно проходить дерматологические осмотры. Также важно следить за состоянием кожи и обращаться к врачу при появлении новых или изменяющихся пигментных пятен.
Советы
СОВЕТ №1
Регулярно проверяйте свою кожу на наличие изменений. Обратите внимание на новые родинки или изменения в существующих, такие как изменение цвета, формы или размера. При обнаружении подозрительных изменений обязательно проконсультируйтесь с дерматологом.
СОВЕТ №2
Защищайте свою кожу от солнечных лучей. Используйте солнцезащитные кремы с высоким SPF, носите защитную одежду и избегайте солнечного света в часы пик. Это поможет снизить риск развития меланоза и других кожных заболеваний.
СОВЕТ №3
Поддерживайте здоровый образ жизни. Правильное питание, регулярные физические нагрузки и отказ от вредных привычек могут укрепить вашу иммунную систему и помочь организму бороться с заболеваниями кожи, включая меланоз.
СОВЕТ №4
Обсуждайте с врачом возможные генетические риски. Если в вашей семье были случаи меланома или других кожных заболеваний, обсудите это с дерматологом. Возможно, вам потребуется более частое обследование и профилактические меры.


