Наличие кровяных пузырей на слизистой рта может быть сигналом о развитии стоматологических, эндокринных и желудочно-кишечных заболеваний.
Чтобы знать, как реагировать в таких ситуациях, необходимо более подробно ознакомиться с причинами их появления и методами устранения.
Что представляет собой кровяной пузырь на языке?
Как выглядит?
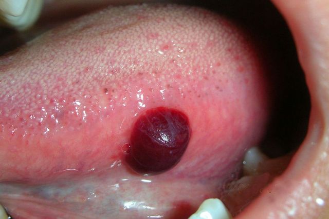
Он представляет собой скопление свернувшейся крови в органической полости под слизистой оболочкой
Кровяной пузырь еще называют гематомой, кровяным волдырем, шишкой.
Он представляет собой скопление свернувшейся крови в органической полости под слизистой оболочкой.
На языке гематома выглядит как припухлость, цвет языка изменяется и приобретает синюшный окрас, появляется отечность.
Пациент ощущает боль дискомфорт во время употребления еды при разговоре.
Кроме этого, на слизистой часто наблюдается возникновение точечных кровоизлияний.
Появление кровавых шишек — кровоизлияние своего рода, возникшее в результате травмирования капилляров и тонких сосудов слизистой рта.
Внутри пузыря может находиться и прозрачная серозная жидкость без примесей крови, что указывает на не целостность сосудов, они не были повреждены. Такие гематомы имею поверхностный характер и процесс заживления происходит очень быстро.
Если же гематома на языке содержит кровь внутри, то травма является глубокой и период ее заживления будет гораздо продолжительным, пока кровь не рассосется.
Как образуется кровавый волдырь?
В момент получения микротравмы вредоносные микроорганизмы начинают атаковать поврежденный участок
Кровавые пузыри в ротовой полости зачастую не несут серьезной угрозы здоровью человека.
Они возникают как следствие механического повреждения слизистой.
В момент получения микротравмы вредоносные микроорганизмы начинают атаковать поврежденный участок.
Чтобы уничтожить их в организме, начинают активизироваться иммунные силы.
К травмированной зоне сразу же направляются лейкоциты и моноциты, макрофаги, которые подавляют жизнедеятельность микробов и ликвидируют их.
Важно! Учитывая, что кровяная шишка в ротовой полости — это только часть защитной реакции организма, то вполне самостоятельно она проходит через 7 дней. Если же этого не происходит, то рекомендуется посетить квалифицированного специалиста, который сможет установить правильный диагноз и назначить соответствующую схему лечения. Эта мера необходима для исключения серьезных заболеваний в организме и новообразований.
Уровень здоровья организма оценивается согласно общему состоянию и целостности слизистой оболочки рта, то только при осмотре можно поставить окончательный диагноз.
Поскольку клинические проявления многих патологических состояний, в том числе и инфекционных, хронических, бактериальных, протекают вместе с изменением цвета и целостности слизистой рта (языка, десен). Здесь важно выявить истинную причину возникновения кровяного шарика.
Локализация
Появившиеся гематомы свидетельствуют о произошедшей микротравме
Различают кровавые пузырьки по месту их нахождения. Они могут быть на поверхности языка, под ним и на щеках.
Появившиеся гематомы свидетельствуют о произошедшей микротравме или о наличии серьезного патологического состояния.
Большое количество волдырей на слизистой рта, наполненных кровью, могут образовываться при болезнях желудочно-кишечного канала, стоматологических проблемах, при нарушениях в работе эндокринной системы.
Так, при стоматите пузырьки, язвочки появляются и на слизистой щек, и на деснах, и на небе, а также на языке.
При сифилисе кровяные шишки находятся на кончике, спинке языка либо на его боковых поверхностях. При туберкулезе гематомы локализируются на языке, губах, щеках, деснах, небе.
Причины возникновения
Среди факторов, провоцирующих различные внешние повреждения слизистой рта, выделяют:
Механические
Травмирование поверхности языка вызывают все колющие и режущие предметы, которые наносят прямой и моментально ощутимый вред.
К примеру, блюда с косточками наносят урон слизистой рта в процессе их употребления. Не количество съеденной пищи здесь имеет значение, а получение микротравм, нарушающих целостность поверхности языка.
Кровяные пузыри, которые образовались при механическом воздействии, не представляют никакой угрозы здоровью человека. Чтобы ускорить процесс рассасывания уплотнений на языке, под ним, рекомендуется чаще проводить полоскания ротовой полости после приема пищи.
Химические
Продолжительность заживления ран от термического воздействия напрямую зависит от глубины поражения, заживают они довольно долго
Во время приема соленой или кислой пищи во рту на слизистой языка практически мгновенно появляются небольшие повреждения в виде язвочек.
Такая реакция наблюдается у большинства поклонников восточной кухни, где используются острые приправы.
Термические
К таким повреждениям относят микротравмы, полученные в результате употребления слишком горячего чая или кофе.
Продолжительность заживления ран от термического воздействия напрямую зависит от глубины поражения, заживают они довольно долго.
В зависимости степени поражения меняются ощущения:
- При первой степени ожог возникает только на внешнем слое языка. У человека появляются болевые ощущения, окрас языка меняется на красный и спустя некоторое время начинает опухать. Ускорить процесс заживления помогут полоскания ротовой полости растворами с антисептическими средствами.
- При второй степени ощущения становятся более болезненными, поскольку поражается не только внешний, но и внутренний слой языка. Также наблюдается образование кровяных волдырей, опухание языка и его покраснение. В данном случае рекомендуется как можно быстрее обратиться за медицинской помощью, чтобы доктор удалил шишку, промыл пораженный участок и обработал антисептиком.
- При третьей степени ожог проникает вглубь языка, обожженная поверхность становится черной. Пациент жалуется на чувство онемения языка и сильные болевые ощущения. Помощь доктора здесь обязательна, иначе велика вероятность летального исхода.
Заболевания, сопровождаемые кровяным пузырем на языке
Стоматит
При различных видах этого патологического состояния ротовой полости кровяные мешочки могут образовываться и на внутренней стороне щек, на деснах, небе, языке. Вызывают стоматиты патогенные микроорганизмы (бактерии, вирусы, грибки), ослабленная иммунная система и травмы.
Зачастую это заболевание имеет герпетическую природу. Сопутствующими симптомами являются отечность языка, наличие желто-белого налета на нем, раны, причиняющие сильную боль и неприятные ощущения во время употребления еды и при разговоре.
Если заболевание вызвано вирусом герпеса, то оно сопровождается наличием большого количества пузырьков на поверхности языка, которые через некоторое время соединяются в один волдырь.
Когда он лопается на его месте образуется эрозия. Помимо этих проявлений может повышаться температура тела, появляться слабость, недомогание, потеря аппетита.
Сифилис
При этом патологическом состоянии характерным признаком является наличие сифилитических шанкр на поверхности языка, они представляют собой язву или эрозию, имеющую округлую форму.
Края у шанкр равномерные, гладкие, а дно твердое, из которого при надавливании вытекает жидкость.
Их размеры могут варьироваться от 1 мм до 2 см.
Находятся язвы на кончике, спинке языка либо на его боковых поверхностях. Человек не ощущает боли или дискомфорта.
Через 2-3 недели после возникновения таких язв происходит увеличение регионарных лимфатических узлов.
Рак
Данное заболевание, имеющее язвенную форму, протекает с образованием на языке ран с черным дном, у которых нечеткие края и из них источается кровь. Место локализации — края языка и его кончик.
Явными признаками этой болезни считаются боль, дискомфорт в ротовой полости, дурной запах гнилостный, отек лица, шеи, сложности при глотании, разговоре, жевании.
Туберкулез
После попадания через слизистую в организм человека микобактерий туберкулеза на месте поражения возникают язвочки. Они могут образовываться на языке, губах, деснах, щеках, небе. Внешне язва выглядит как трещина розового цвета, покрытая бело-желтым налетом, края ее мягкие, фестончатые.
Если попытаться удалить налет, то зернистое ее дно начинает кровоточить. В большинстве случаев вокруг зоны поражения образуются бугорки желто-красного окраса.
При туберкулезных язвах отмечаются боли, неприятные ощущения в полости рта, затруднения при употреблении пищи, разговоре.
Процесс заживления ран происходит достаточно медленно. При проведении пальпации регионарные лимфатические узлы вызывают сильную боль, они увеличены в размерах.
Некротический периаденит
При данном заболевании наблюдается повышенное выделение слюны, кровоточивость, дурной запах из ротовой полости
При рецидивирующем состоянии язвы локализируются сбоку, они затрагивают не только язык, но губы, щеки.
Перед тем, как они образуются, слизистая уплотняется, края в месте поражения приподнимаются.
Внутри язв находится воспалительный инфильтрат, в составе которого кровь, лимфа, клеточные скопления.
При данном заболевании наблюдается повышенное выделение слюны, кровоточивость, дурной запах из ротовой полости.
В запущенных формах язвы углубляются, наполняются гнойным содержимым, что провоцирует повышенную температуру тела, ощущение слабости и плохое самочувствие.
Они выделяются очень сильной болезненностью, вылечить их очень сложно. Этот период может длиться несколько месяцев. Лечение здесь должны иметь комплексный подход.
Афты Беднары
Это патологическое состояние чаще всего поражает маленьких пациентов до 1 года, находящихся на искусственном или естественном вскармливании. Афты могут образовываться вследствие чрезмерного надавливания соска или при использовании неудобной бутылочки.
Спустя некоторое время они преобразуются в язвы, покрытые серо-желтым налетом, который снять достаточно проблематично. Воспалительный процесс протекает с изменением цвета, афта имеет красный окрас и вокруг нее появляется отек.
Учитывая сильные болевые ощущения, которые характерны таким язвам, ребенок отказывается от пищи, начинает капризничать, что легко заметить. Появляться афты на языке, щеках, деснах могут и у детей постарше, как результат постоянного сосания ручек, пальцев, игрушек.
Эндокринные патологии
Если имеется острая нехватка никотиновой кислоты, то наблюдается увеличение размеров языка, плотный налет на нем, наличие борозд
При сахарном диабете из-за трофических изменений на языке возникают декубитальные раны, наполненные плотным инфильтратом в центре.
Заживают они очень медленно и доставляют человеку массу неприятных ощущений. Язык становится красного цвета, он отекает.
Заболевания ЖКТ
Кровяные пузыри на языке, под ним, образуются при нарушениях в работе желудочно-кишечного тракта. Так, язвенный глоссит может развиваться при энтероколите, гипоацидном гастрите.
Глистная инвазия
Язвы с бело-желтым налетом, гиперемия языка, его отечность, сильные болезненные ощущения, повышенное слюноотделение, плохой запах изо рта могут указывать на наличие паразитов в организме человека.
Гиповитаминозы/авитаминозы
При недостатке витамина А человек жалуется на ощущение сухости в ротовой полости, что приводит к образованию трещин, язвочек на поверхности языка.
Если имеется острая нехватка никотиновой кислоты, то наблюдается увеличение размеров языка, плотный налет на нем, наличие борозд.
При снятии налета происходит раздражение слизистой, что вызывает дискомфорт и болезненность в зоне поражения. В случае дефицита витамина С сосуды становятся хрупкими, при разрыве образуются волдыри.
Сосочки могут атрофироваться, язык приобретает складчатую структуру, на его поверхности появляются язвочки. Такие проявления на языке характерны при недостатке витамина В6.
Как лечить кровяной пузырь?
Общая терапия
В зависимости от вида патологического состояния, вызвавшего появление кровяного пузыря во рту, лечение может проводиться следующими медикаментозными средствами:
- При травматических образованиях, которые со временем проходят самостоятельно, ротовую полость обрабатывают антисептическими средствами
При кандидозном стоматите эффективность показывают противогрибковые препараты типа Леворин, Нистанин.
- При заболеваниях, имеющих вирусную этиологию, в схему лечения включают Виферон, Амоксициллин, Ципролет, Азитромицин.
- Для борьбы с гингивостоматитом, где предполагается удаление пораженных некрозом участков, применяют противоаллергические медикаменты, антибактериальные средства, витаминные комплексы.
- При травматических образованиях, которые со временем проходят самостоятельно, ротовую полость обрабатывают антисептическими средствами. При наличии болезненности врач может назначить Холисал, Кетопрофен, Вольтарен, Лорноксикам, Камистад.
- Для устранения туберкулеза предписывают соответствующую химиотерапию, в составе которой Рифампицин, Иониазид, Пиразинамид.
Местная терапия
Чтобы ускорить процесс заживления, проводят регулярные полоскания антисептическими средствами. Хорошие результаты показывают Фурацилин, Хлоргексидин, Стоматидин, Бетадин, Мирамистин, раствор Перекиси водорода, Йодоформ, Хлорофиллипт.
Обработку пораженного языка обеззараживающими растворами следует выполнять дважды в день, как минимум, но перед этим обязательно нужно почистить зубы, удалить остатки пищи.
Принимать пищу после процедур желательно через 30-60 мин, что существенно повысить их эффективность.
Народные методы
Сок алоэ или каланхоэ отличается ранозаживляющим действием
Для облегчения состояния хорошо использовать целебные отвары на основе ромашки, шалфея, тысячелистника, зверобоя, плодов калины.
Их готовят из расчета 1 ст.л. фитосырья на 1 стакан воды.
Смесь доводят до кипения и оставляют на 2-3 часа, чтобы настоялся. Перед применением нужно процедить.
Сок алоэ или каланхоэ отличается ранозаживляющим действием.
Таким же свойством обладает и масло из облепихи, шиповника. Их наносят непосредственно на зону поражения.
Эти средства ускоряют процесс регенерации, препятствуют размножению патогенных микроорганизмов и обезболивают очаг поражения.
Раствор, приготовленный из соли (1 ч.л.), 3-х капель йода и соды (1 ч.л.), является универсальным средством в борьбе с воспалительными процессами в ротовой полости.
Эти компоненты смешивают в одном стакане теплой кипяченой воды и используют для примочек, полосканий. Также обрабатывать места поражения хорошо перекисью водорода.
Чего не следует делать?
При наличии кровяных пузырьков нельзя:
- Самостоятельно их прокалывать и лопать. Такой прием только усугубит ситуацию, в результате дополнительного травмирования к имеющейся проблеме присоединится грибковая инфекция, которая продлит заболевание.
- Игнорировать появившуюся гематому, шишку, сгусток в ротовой полости. При наличии каких-либо изменений на слизистой языка, деснах, небе, щеках рекомендуется обратиться к квалифицированному специалисту, который выявит истинную причину болезни и назначит соответствующую схему лечения.
Синяки на языке — безопасно ли это
Синяк на языке — это не только неприятно, но иногда еще и очень болезненно. Но хуже всего то, что обнаруживая его, человек надумывает себе невероятную болезнь и становится эмоционально неуравновешенным. А это уже может привести куда к более серьезным последствиям. Но так ли не опасна гематома на языке или все-таки может найтись повод для нервов.
Что нужно знать о слизистой рта
У языка и слизистой оболочки вокруг имеется 5 основных функций. А именно:
- защита;
- всасывание;
- выделение;
- терморегуляция;
- вкусовое восприятие.
Именно защитная функция «следит» за тем, чтобы негативное влияние окружающей среды не нанесло вреда. А ведь речь идет не только о различных вирусах и микроорганизмах, но и о механических повреждениях. Слизистая стойко переносит раздражители всех типов: от механического до температурного и химического.
Интересно! Слизистая оболочка рта наделена самой быстрой регенерацией.
Нередко именно по слизистой врач может определить есть ли серьезные нарушения работы организма или нет. Большинство заболеваний накладывают свой отпечаток на ее состояние, например, у пациента с сахарным диабетом язык будет покрасневшим, с трещинками и эрозией. Поэтому любые изменения на языке, а особенно синяк должны стать причиной срочного обращения в поликлинику.
Гематома на языке: причины
Причин для возникновения синяка на языке три. Если определить главную из них, то врач сможет назначить грамотное лечение и проблема исчезнет в ближайшее время. Среди вероятных причин появления гематомы стоит выделить следующие.
- Травмирование слизистой путем механического воздействия на нее. Чаще всего виноваты пресловутые рыбные кости, шелуха от семечек.
- Химический ожог. Речь идет не об опасных реагентах, а все дело в излишне пересоленной или острой еде. Перец и соль раздражают нежную слизистую, тем самым травмируя ее.
- Термическое воздействие — это глоток обжигающего чая или ледяного напитка. Чаще всего именно они провоцируют появление гематом на языке.
Тип гематомы по цвету житкости
Еще до похода к врачу можно определить степень травмирования и длительность заживления раны исходя из цвета жидкости в гематоме. Содержимое может быть следующим:
- молочно-белый оттенок сигнализирует о том, что рана относится к поверхностным типам, где не были затронуты сосуды. В язве нет крови, только серозная жидкость. Такие повреждения заживают быстрее всего;
- красный цвет указывает на травмирование достаточно глубокое, не исключено, что затронута мышца. Подобные раны заживают дольше, причина состоит в том, что кровь рассасывается намного труднее. Усложняет ситуацию и то, что эта среда притягательна для разного рода микроорганизмов. Не секрет, что рот является наиболее «грязным местом» организма. Именно в полости рта содержится большое количество микроорганизмов, которые способны стать причиной развития воспаления.
Если кровяной синяк расположен сбоку языка, то это может быть симптомом опасного заболевания: стоматита, проблем с ЖКТ, сбоев в эндокринной системе. Именно поэтому не стоит откладывать поход к врачу.
Правильное лечение
Устранить причину — значит, быстрее вылечите болезнь. Подобное высказывание верно, как никогда. Но только в том случае, если причиной не является серьезная болезнь. Понятное дело, что большие гематомы сходят дольше, нежели маленькие. Несмотря на это, даже крошечный синяк может стать причиной для обращения в клинику. Дело в том, что во избежание серьезных последствий иногда необходимо хирургическое вмешательство, во время которого убирается гематома. Обращаясь к доктору, лучше выбрать челюстно-лицевого хирурга.
Для того чтобы гематома быстрее прошла нужно соблюдать гигиену ротовой полости, а именно:
- чистить зубы после и перед сном, и желательно после каждого приема пищи;
- если после еды почистить зубы не удается, гигиеническую очистку может провести жевательная резинка, удалив частички пищи;
- несколько раз в день полоскать рот антисептическими растворами.
Нужно сказать, что методы лечение синяка назначает только лечащий врач. Правда, чаще всего оно самое обычное и основано на полосканиях. Только в случае разрастания гематомы или неэффективности консервативного лечения применяют что-то более серьезное.
Если гематома на протяжении длительного времени не рассосалась или нагноилась, то без хирургического вмешательства не обойтись. Причиной появления новообразования, под которым подразумевается гематома, становится закупоривание протока слюнной железы. Хорошо если шишка будет маленькой, безболезненной, потому что в большинстве случаев она сама лопается и быстро заживает. Правда, не редкость, когда встречается острая форма. В этом случае в проток или вскрытую железу придется поставить дренаж. Если это не поможет, то железу удалят.
Полезные советы
Обнаружили во рту гематому? Нелишним будет выполнить следующие действия:
- отказаться от раздражающей пищи: соленой, копченой, острой и т. п.;
- полоскать рот антисептическими препаратами;
- записаться на прием к врачу и обязательно его посетить при появлении гематом;
- придерживаться врачебных рекомендаций.
Помимо этого, при выявлении гематомы на языке (кровяной или обычной) нельзя:
- прокалывать ее, чтобы та быстрее зажила (нужно помнить, что в ранку легко занести инфекцию);
- травмировать любым другим путем;
- отказываться от похода к врачу в надежде, что все пройдет само;
- впадать в панику с выдумыванием опасных болезней и их симптомов.
Опасные последствия
Самое распространенное осложнение, которое может возникнуть вследствие гематомы — это попадание инфекции в рану. Если вовремя не обратить на это внимание, то начинается воспалительный процесс, сопровождающийся лихорадкой, повышением температуры, слабостью, потерей сознания и другими опасными симптомами. Причем это может нанести вред не только ротовой полости, но и всему организму. Хотя чаще всего у человека в результате синяка просто пропадают вкусовые ощущения и аппетит. Нужно сказать, что если к вышеперечисленным симптомам присоединится онемение языка или челюсти и нарушение речи, то нужно срочно вызывать бригаду скорой помощи либо самостоятельно ехать в поликлинику.
Чаще всего синяки возникают на детских язычках. Малыши спешат, балуются, кусают сами себя или травмируются, например, вилкой. Правда, взрослые от подобных повреждений тоже не защищены. Как бы то ни было, но всем в подобных ситуациях нужно обратиться к врачу, а после придерживаться вышеперечисленных рекомендаций по лечению. Тогда синяк исчезнет в считаные дни и без осложнений.





