Нет такого человека, который бы не «сносил» в жизни хотя бы одного синяка. Неприятная проблема как синяк под глазом доставляет массу проблем как косметических так и функциональных. Гематомы в данном месте могут появляться не только из-за травм, нанесенных непосредственно в область глаза. Травмированной может оказаться лобная часть, нос, переносица, скуловая область либо щеки. После случайного либо умышленного удара по лицу происходит разрыв сосудов и попадание крови в окружающие ткани с дальнейшим скоплением ее в верхних слоях кожи. Эпидермис век очень нежный и тонкий, также там расположено огромное количество кровеносных сосудов, питающих нашу зрительную систему — поэтому даже небольшая травма в любой области лица часто приводит к появлению гематомы под глазом. ОпределениеГематомы (синяки) под глазами — это не что иное, как внутритканевое кровоизлияние, когда целостность покровов не нарушена, а кровь из поврежденных сосудов остается в толще ткани, окрашивая ее в характерный цвет. Изначально гематома под глазом представляет собой ярко багровое пятно, спустя время цвет его становится более насыщенным — темно фиолетовым. В период рассасывания наступает третья стадия и синяк приобретает зеленоватый оттенок, еще позже он становится желтым и только после этого, кожа возвращает свой естественный цвет. Причины появления синяков и гематом под глазомЕсть несколько причин появления синяка или гематомы под глазом:
Параорбитальная гематомаПараорбитальная гематома глаза (кровоизлияние в окологлазничную клетчатку) возникает вследствие сильной черепно-мозговой травмы или сотрясения мозга. Ее появление, как правило, сопровождается острой болью, головокружением, двоением в глазах. Параорбитальная гематома может быть симметричной (так называемый синдром очков). Это очень тревожный симптом, он может означать перелом переносицы, костей лба или основания черепа. Ни в коем случае нельзя тянуть с походом к врачу, ведь другие симптомы такой серьезной травмы могут проявиться не сразу. Классификация параорбитальных гематом
Критерии давности гематомы
Так как любой синяк на лице выглядит совсем непривлекательно, многих людей интересует вопрос — за сколько проходит синяк под глазом. Чтобы ответить на данный вопрос, следует квалифицировать каждый конкретный случай и причину появления гематомы, основываться необходимо на следующих факторах:
Лечение параорбитальных гематомСуществует огромное количество методов, позволяющих в максимально короткий срок избавиться от гематом, однако более важно знать как предупредить патологию и не допустить появления синяка. От правильных действий в первые часы после ушиба глаза зависит, насколько большая и болезненная гематома будет в дальнейшем. Нужно знать, что кровоизлияние не прекращается сразу после получения травмы, еще некоторое время сосуд кровоточит.
Завернутый в марлю лед или влажная салфетка крепко прижимается к коже, что тоже способствует более быстрому сужению сосудов. Чем быстрее будет остановлена кровь, тем меньшего размера будет гематома под глазом. Чтобы синяк был значительно меньших размеров, в течение 10 -20 минут после получения удара приложите к месту травмы холодный предмет, например, пакет со льдом. Если льда под рукой нет, подойдет бутылка с холодной водой, мокрое полотенце или металлический предмет. От холода сосуды сужаются, что приводит к замедлению растекания крови.
Использовать мази для лечения гематом на лице можно только на 2 день. Представляем вам список самых эффективных препаратов:
Как сделать так, чтобы гематома под глазом исчезла как можно быстрееЕсли гематома воспалилась и сопровождается сильной болью, допускается применение симптоматического лечения и обезболивающих средств. В такой период рекомендуется соблюдать покой и уменьшить нагрузку на поврежденный участок. Чтобы ускорить этот процесс, применяют средства, в составе которых есть рутин и витамины С, Р. Это могут быть мази (троксевазин, гепарин), кремы или таблетки. Пользоваться наружными средствами нужно крайне осторожно, так как глазное яблоко находится близко. Наиболее эффективным и доступным из медикаментозных средств считается «Троксевазин». Благодаря препарату гематома исчезнет уже через пару дней. Использовать его необходимо через каждый час, смазывая мазью травмированный участок. «Троксевазин» — рассасывающий препарат, однако, помимо своего основного действия, он укрепляет сосуды, тем самым предупреждая появление новых гематом. Название следующего препарата говорит само за себя. «Синяк-OFF» — очень эффективное средство для борьбы с гематомами. Оно снимает отечность и воспаление кожного покрова, рассасывает кровоподтеки. Помимо этого, препарат обладает маскирующим тональным эффектом, благодаря чему синяки становятся менее заметными уже после первого использования. Полное рассасывание синяка наступает через 2-3 дня, применять средство рекомендуется не меньше 5 раз в сутки. Физиотерапия при гематоме на лице направлена на купирование болевого синдрома, уменьшение отечности ткани, а также быстрое рассасывание кровоизлияния. Такими свойствами обладают следующие методы:
Народные средства в лечении гематом на глазу и на лице используются только при наличии гематом незначительных размеров. При этом используют такие средства, как капустный лист, сырой картофель, мед и прочее. Компрессы из капусты
Компрессы из картофеля
Такие процедуры хорошо снимают отечность и способствуют устранению воспалительного процесса. Можно использовать цветочный мед, он обладает рассасывающим и успокаивающим эффектом. При использовании данных рецептов следует следить за гематомой: если состояние ухудшилось, стоит незамедлительно обратиться к врачу. ПрофилактикаПрофилактические мероприятия направлены на устранение факторов риска. Следует:
Рубцы и Шрамы: причины образования, классификация, лечениеПроцесс реабилитации пациентов в послеоперационном периоде тесно связан с заживлением раны и формированием послеоперационного рубца. У большинства пациентов с обширными повреждениями различной этиологии на месте поражения формируются патологические рубцы, приводящие к нарушению функции конечностей, деформации тела и лица, повышению уровня инвалидизации. …
|
Гематома мягких тканей
Гематома мягких тканей — это полость, образовавшаяся в результате травмы и заполненная кровью или сгустками. Возникает при излитии крови в ткани из поврежденного сосуда. Представляет собой плотное или флуктуирующее опухолевидное образование, болезненное при пальпации, сопровождающееся отеком и изменением цвета кожи. При глубоком расположении проявляется нарушением формы и локальным увеличением объема пораженного участка. Патология диагностируется на основании жалоб, данных анамнеза и внешнего осмотра. В сомнительных случаях назначается ультрасонография. Лечение — местные консервативные мероприятия, в тяжелых случаях показано вскрытие, дренирование.
Общие сведения
Гематома мягких тканей — распространенное патологическое состояние в современной травматологии. Может выявляться в области конечностей, лица или туловища, быть небольшой или обширной, располагаться подкожно, внутримышечно, подфасциально, под слизистой оболочкой. Мелкие поверхностные гематомы чаще обнаруживаются в области пальцев рук, обширные скопления крови — в зоне нижних конечностей (голени и бедра). Небольшие образования нередко рассасываются самостоятельно. При попадании инфекции наблюдается нагноение. Патология диагностируется у всех групп населения, отмечается некоторое преобладание людей с высоким уровнем физической активности (детей, молодых мужчин).
Причины
Гематомы могут обнаруживаться при любых видах травматических повреждений (автодорожных, производственных, падениях с высоты и пр.), но наиболее распространенной причиной их образования является бытовая травма. Патология обычно возникает после прямого удара при ушибе, может формироваться вследствие интенсивного сдавления, разрыва сосуда при переломах, вывихах и других повреждениях. Предрасполагающими факторами, увеличивающими вероятность развития данного состояния, являются заболевания, сопровождающиеся нарушениями со стороны свертывающей системы крови и повышенной хрупкостью сосудистой стенки.
Патогенез
В основе механизма формирования гематомы мягких тканей лежит разрыв кровеносного сосуда без наличия раны, реже — при небольшой ране (обычно колотой). Интенсивное локальное травматическое воздействие при ушибе, повреждение костным отломком, резкое противоестественное смещение одних анатомических структур относительно других при переломе или вывихе становится причиной нарушения целостности сосудистой стенки. Кровь под давлением вытекает и «раздвигает» ткани, формируя полость.
Часть крови пропитывает ткани, поэтому в дальнейшем наблюдаются цикличные изменения цвета кожных покровов, обусловленные распадом эритроцитов с образованием гематоидина и гематосидерина. Вначале место повреждения становится багровым или багрово-синюшным, позже приобретает зеленоватый, а затем желтоватый оттенок. При глубоких гематомах цвет кожи может оставаться неизмененным.
В последующем гематома либо рассасывается, либо длительно сохраняется, претерпевая ряд последовательных изменений, завершающихся рубцеванием. При вскрытии свежих образований кровь алая, вязкая, густая, иногда желеобразная, что объясняется активностью факторов свертывания. Позже в полости обнаруживаются либо старые сгустки, либо темная жидкая лизированная кровь. При опорожнении застарелых гематом сгустки могут быть твердыми, образовывать цельную массу, плохо отделяться от окружающих тканей, что связано с начавшимся процессом рубцевания и перерождения в фиброзную ткань. Инфицированные полости заполнены серозным или гнойным содержимым.
Классификация
Систематизация осуществляется по нескольким признакам. Целью деления на группы является оценка тяжести патологии, выбор лечебной тактики, определение необходимости проведения хирургического вмешательства и наиболее вероятного прогноза. В клинической практике различают следующие виды гематом:
- По локализации. Гематомы могут быть расположены под кожей, в подслизистом слое, под фасцией, в толще мышечной ткани. Наиболее крупные полости локализуются внутри мышц или подфасциально (между мышцей и фасцией), что обусловлено богатым кровоснабжением и эластичностью скелетной мускулатуры.
- По состоянию сосуда. Пульсирующие гематомы формируются при повреждении сосуда большого калибра, отличаются отсутствием тромба в зоне повреждения, возможностью свободного движения крови из полости образования в полость сосуда и обратно. Непульсирующие гематомы обнаруживаются при нарушении целостности мелких и средних сосудов, дефект стенки которых быстро закрывается тромбом.
- По состоянию излившейся крови. Несвернувшиеся (свежие) гематомы выявляются в первые часы или дни после травмы, свернувшиеся — спустя несколько суток, лизированные (заполненные старой кровью, неспособной к свертыванию) — через несколько недель. Указанные сроки могут колебаться в зависимости от активности факторов свертывания, размера образования и иных обстоятельств. При проникновении инфекции наблюдается инфицирование, позже — нагноение.
- По отношению к тканям. При развитии диффузных гематом процесс пропитывания тканей кровью преобладает над процессом их «раздвигания», полость небольшая или отсутствует. При формировании ограниченных образований ткани пропитаны незначительно, основная масса излившейся крови находится в полости. Осумкованные гематомы определяются в отдаленные сроки, характеризуются наличием слоя плотной соединительной ткани, отделяющей полость от окружающих структур.
- По степени тяжести. Легкие гематомы возникают примерно через сутки после травматического эксцесса, чаще рассасываются самостоятельно. Образования средней тяжести формируются в течение 3-5 часов, требуют проведения консервативных или оперативных мероприятий. Тяжелые повреждения диагностируются через 1-2 часа после травмы, являются показанием для вскрытия и дренирования.
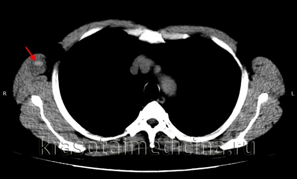
КТ ОГК. Гиперденсное скопление крови в толще мышечного массива грудной стенки справа, окруженное зоной отека.
Симптомы
Первыми проявлениями патологии становятся боль и местный отек. Характерным отличием гематомы от других травм мягких тканей на ранней стадии является более выраженная ограниченность припухлости, отсутствие постепенного перехода от отечных структур к неизмененным. В последующие часы отек начинает распространяться. Болезненность усиливается, движения ограничиваются из-за боли. Пациенты предъявляют жалобы на ощущение давления или напряжения в пораженной зоне. При поверхностном расположении гематомы кожа становится синюшно-багровой. При глубокой локализации полости может выявляться локальная гиперемия кожных покровов, иногда цвет кожи не изменяется.
При пальпации на начальном этапе флуктуация обычно отсутствует, определяется уплотнение и резкая болезненность. После формирования ограниченной полости, содержащей жидкую кровь, выявляется положительный симптом зыбления. Вначале пораженная область при ощупывании напряженная, после спадания отека плотность тканей может снижаться. При благоприятном течении припухлость постепенно уменьшается в размере и исчезает, при неблагоприятном — сохраняется в течение длительного времени, вызывает болезненность при движениях.
Осложнения
Основным возможным негативным последствием гематомы мягких тканей является ее нагноение с образованием абсцесса. Осложнение чаще обнаруживается при сопутствующих повреждениях кожных покровов. При попадании инфекционных агентов в полость образования болевой синдром усиливается, отмечается локальная гиперемия и гипертермия, присоединяются симптомы общей интоксикации. В отдельных случаях возможно распространение гнойного процесса с формированием флегмоны или развитием сепсиса.
Диагностика
Диагностика осуществляется врачом-травматологом. При отсутствии признаков поражения костей и суставов дополнительные исследования обычно не требуются, диагноз выставляется с учетом данных анамнеза (наличие свежей травмы с характерным механизмом), жалоб больного и результатов физикального обследования. При глубоко расположенных гематомах для оценки тяжести повреждения и дифференцировки с ушибом может назначаться УЗИ мягких тканей. При сопутствующем поражении твердых структур выполняется рентгенография соответствующего сегмента. Кроме ушиба дифференциальную диагностику иногда приходится проводить с переломами, надрывами связок и мышц, реже — с синдромом позиционного сдавления, острым миозитом, ишемией при тромбозе сосуда мелкого или среднего калибра и некоторыми другими состояниями, сопровождающимися плотным локальным отеком.
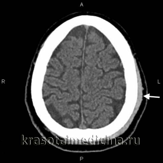
КТ головного мозга. Гематома периферических мягких тканей левой теменной области
Лечение гематомы мягких тканей
Лечение обычно осуществляется амбулаторно, тактика определяется тяжестью процесса и временем с момента травмы. При свежих повреждениях конечности придают возвышенное положение, прикладывают холод (грелку с холодной водой, пакеты со льдом, завернутые в полотенце), накладывают давящую повязку для уменьшения кровотечения. После организации небольших образований назначают УВЧ, применяют теплые грелки для ускорения рассасывания. Небольшие поверхностно расположенные гематомы вскрывают в условиях травмпункта. При крупных и глубоких полостях, появлении признаков инфицирования показана госпитализация в травматологическое отделение, вскрытие и дренирование на фоне антибиотикотерапии. При неинфицированных гематомах после вскрытия рекомендовано тугое бинтование для устранения полости и ускорения заживления.
Прогноз и профилактика
Прогноз обычно благоприятный. Большинство гематом рассасывается самостоятельно в течение 2-3 недель. Средний срок нетрудоспособности после вскрытия полости составляет около 2 недель, исходом становится полное выздоровление. При отсутствии лечебных мероприятий возможно образование массива фиброзной ткани (рубца) с формированием внешнего дефекта. При наличии инфекции сроки лечения и прогноз могут колебаться, зависят от тяжести процесса. Профилактика включает предотвращение травм и раннее обращение за медицинской помощью при получении повреждений.




