Остит — патологический процесс воспалительного характера в костной ткани.
В соответствии с причинным фактором патология подразделяется на следующие виды:
- Неспецифический. Развивается вследствие разных травм, представляющих нарушение целостности кости либо неправильно выполненного оперативного вмешательства на ней.
- Специфический. Выступает результатом повреждения костной ткани разными специфическими микроорганизмами: туберкулезными, сифилитическими и др.
В соответствии с формой подразделяется на:
- Острую. В основе процесса лежит деструкция костных образований.
- Хроническую. В основе лежит пролиферация костей.
Остит разделяется на виды:
- Сифилитический.
- Оссифицирующий (воспаление с уплотнением костных тканей).
- Рассасывающий.
- Туберкулезный (БЦЖ остит).
- Остит челюсти (в основе – воспаление периоста (надкостницы) — периостит). В клинике превалирует болевое ощущение и незначительная отечность, а также затруднения во время пережевывания пищевых продуктов.
- Фиброзный. Это – осложненная форма, результатом которой является размягчение и деформирование кости.
- Конденсирующий. Происходит повреждение нескольких участков опорно-двигательного аппарата одновременно. Это может привести к миелиту, периоститу. Медленно формируется остеопороз (деструкция костей) и остеосклероз (уплотнение костей). Имеет хроническое течение.
- Гнойный. Характеризуется хроническим течением.
- Гематогенный. То есть переносится посредством крови.
Причинные факторы
В травматологии определяют только две причины развития остита: инфекционное повреждение и травма.
В момент травмирования (перелом, рассечение костей) инфекционное начало беспрепятственно проникает в рану. В случае открытой раневой поверхности микроорганизмы проникают в рану извне, а при закрытой ране инфекционный агент, который находится внутри организма проникает в место повреждения кости.
Следует отметить, что также важен такой фактор, как проведение оперативных вмешательств. При несоблюдении асептических мероприятий во время проведения манипуляции, а также в послеоперационный период в раневую поверхность может проникнуть микроб.
Зачастую поражается костная ткань в результате сифилиса либо туберкулеза. А вот микрофлора, провоцирующая бруцеллез, паратиф, гонорею, лепру редко выступают причиной патологического процесса. Посредством кровеносной сети инфекция распространяется по всему организму с преимущественной задержкой в кости.
Врачи отмечают, что остит, воспаление уха, может проявляться в различных формах, включая острый и хронический. Симптомы варьируются от боли и ощущения заложенности до выделений из уха и снижения слуха. Важно, что ранняя диагностика и правильное лечение играют ключевую роль в предотвращении осложнений. Специалисты подчеркивают необходимость обращения к врачу при первых признаках заболевания. Терапия остита часто включает антибиотики, противовоспалительные препараты и, в некоторых случаях, физиотерапию. Врачам также важно учитывать индивидуальные особенности пациента, чтобы выбрать наиболее эффективный подход к лечению. Профилактика, включая своевременное лечение респираторных инфекций и укрепление иммунной системы, является важным аспектом в борьбе с оститом.

Симптоматическая картина
Клиническая картина зависит от формы и причинного фактора патологии, от общего состояния заболевшего и от сопутствующих заболеваний, которые и становятся провокаторами развития патологического воспалительного процесса.
Острая форма проявляется ярким прогрессированием клинических признаков:
- болевое ощущение в поврежденной зоне кости;
- при нахождении очага поражения в конечностях двигательная активность их снижается, в позвоночном столбе – болевой синдром в спине;
- в некоторых случаях развивается вторичное деформирование и даже беспричинный перелом кости;
- в случае спондилита либо миелита развивается расстройство функционирования нервной системы;
- формирование свищей и флегмон.
Хроническая форма начинается бессимптомно, а период обострений проявляется аналогично острой форме.
Хронизация процесса проявляется:
- утолщения костей;
- формирования периодонтита
Фиброзная форма зачастую имеет смазанную симптоматику на фоне выраженного болевого ощущения. С течением изменяется осанка, происходит деформирование нижних и верхних конечностей, формирование остеомаляции и остеопорозного процесса.
Детский остит
В детском организме патологический процесс развивается преимущественно в туберкулезной форме. Частые падения и ранения с нарушением целостности кости характерно детскому или юношескому возрасту. Ему также свойственно снижение иммунитета, а это провоцирует туберкулезное поражение кости. Такая форма проявляется в ограниченной локализации. Ребенок может предъявлять жалобы только на болевые ощущения в суставных сочленениях и костях.
Остит — это воспалительное заболевание, которое может затрагивать различные части тела, включая кости и суставы. Люди часто описывают его проявления как резкую боль, отечность и ограничение подвижности. Многие отмечают, что симптомы могут усиливаться при физической активности или изменении погоды. Важно отметить, что остит может проявляться в разных формах, таких как остеомиелит или артрит, и каждая из них требует индивидуального подхода к лечению.
Терапия остита обычно включает противовоспалительные препараты, физиотерапию и, в некоторых случаях, хирургическое вмешательство. Пациенты делятся опытом, что комплексный подход, включающий как медикаментозное лечение, так и реабилитацию, помогает значительно улучшить качество жизни. Многие также подчеркивают важность ранней диагностики, чтобы избежать хронических форм заболевания. В целом, понимание особенностей остита и его лечения позволяет людям лучше справляться с этой проблемой и возвращаться к активной жизни.

Остит взрослых
На начальных этапах больной чувствует незначительное недомогание, поэтому не относится к такому серьезно и не начинает своевременно лечебные мероприятия. Поэтому и происходит хронизация патологического процесса.
Диагностирование
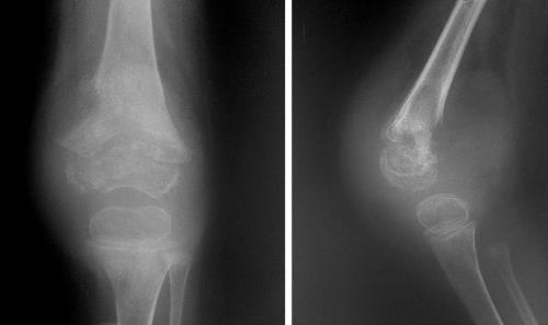
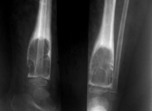
Диагностирование патологического процесса основано на физикальном осмотре пациента, сбора анамнестических данных. В дополнение показано рентгенологическое исследование костного аппарата. В качестве дополнительных исследований применяют:
- лабораторный анализ крови и мочи;
- радионуклидное исследование;
- биопсия костной ткани с последующим гистологическим анализом
- иммуно- и бактериологические пробы.

Лечебные мероприятия
Основным лечебным моментом является устранение уже свершившегося повреждения костного участка хирургическими методами:
- Некроэктомия. Иссечение пораженных некротическим процессом костей.
- Секвестрэктомия. Удаление отслоившихся участков от костного образования участка.
- Резекция сегментарная и продольная, обработки секвестральной полости посредством ультразвука либо вакуума, приточно-отсасывающего дренажа.
Одновременно с этим проводят санацию патологического очага методом антисептической обработки.
Медикаментозное лечение предусматривает применение антимикробных лекарственных средств (антибиотиков и антисептиков) в сочетании с протеолитическими ферментами.
Таким образом, лечение остита осуществляется исключительно в стационарных условиях. К дополнительным и немаловажным методам лечения относятся:
- Физиотерапевтические процедуры.
- Нормализация иммунного статуса путем витаминотерапии либо специальной диетой, насыщенной микроэлементами, витаминами и белками.
- Поврежденная часть кости подлежит иммобилизации.
Вопрос-ответ
Как лечить остит?
Лечить остит можно консервативными методами и хирургическим путем. К консервативному лечению относится: антибиотикотерапия – внутривенное введение антибиотиков в течение нескольких недель или даже месяцев, физиотерапия – применяется как дополнение к медикаментозному лечению.
Что вызывает остеит?
Остеит лобка — болезненное состояние, вызывающее воспаление вокруг центра таза. Обычно это спортивная травма из-за перенапряжения мышц бедра и ног . Это особенно распространено среди спортсменов, которые играют в такие виды спорта, как футбол или хоккей, которые включают смену направления, удары ногами или повороты.
Что значит остит?
Остит – это воспаление костной ткани. Оно может сочетаться с воспалением мягких тканей, периоста (периостит) и костного мозга (миелит). Остит может поражать любые кости в организме. Обычно это воспаление инфекционное.
Как понять, что кость воспалилась?
Обычно в пораженном участке кости ощущается постоянная боль. Со временем боль может усиливаться. В области пораженной кости может наблюдаться отек и покраснение кожи. Это признак того, что инфекция вызывает воспаление в этой области.
Советы
СОВЕТ №1
Обратитесь к врачу при первых симптомах. Если вы заметили боль в костях, отечность или покраснение, не откладывайте визит к специалисту. Ранняя диагностика остита может значительно улучшить прогноз и облегчить лечение.
СОВЕТ №2
Следите за своим образом жизни. Правильное питание, регулярные физические нагрузки и отказ от вредных привычек помогут укрепить вашу иммунную систему и снизить риск развития остита.
СОВЕТ №3
Не пренебрегайте назначенной терапией. Если вам прописали медикаменты или физиотерапию, строго следуйте рекомендациям врача. Это поможет избежать осложнений и ускорит процесс выздоровления.
СОВЕТ №4
Обсуждайте свои симптомы и лечение с близкими. Поддержка семьи и друзей может оказать значительное влияние на ваше эмоциональное состояние и мотивацию в процессе терапии.


