Системная склеродермия – это хроническое заболевание мелких сосудов и соединительной ткани, при котором происходит уплотнение и затвердевание второй. Болезнь протекает в тяжелой форме и постоянно прогрессирует, поражая ЖКТ, кожу, легкие, почки и сердце.
Причины возникновения заболевания
Современная наука не установила точные причины развития данной патологии. Есть данные, что начинается заболевание со сбоя в работе иммунной системы, при котором в организме начинают вырабатываться антитела, воздействующие на собственные ткани. В результате этих процессов мелкие сосуды перестают нормально функционировать, резко увеличивается синтез коллагена, в связи с чем появляются очаги уплотнений и атрофии пораженных участков. Эти изменения чреваты тем, что нарушается процесс кровоснабжения во всех органах и тканях, что приводит к дефициту кислорода и питательных веществ, поступающих в органы. Недостаток кровоснабжения приводит к их утолщению или наоборот, истончению, нарушению функций органов.
Системную склеродермию провоцируют следующие факторы:
- Наследственность и предрасположенность к аутоиммунным процессам.
- Работа, связанная с вредными веществами на протяжении длительного времени.
- Острые вирусные и инфекционные болезни в анамнезе.
- Неблагоприятные условия работы – холод, вибрация, влияющие на организм длительное время.
- Аллергические реакции.
- Нейроэндокринные расстройства организма.
Врачи отмечают, что системная склеродермия является сложным заболеванием, проявляющимся в виде различных симптомов, таких как утолщение кожи, боли в суставах и нарушения работы внутренних органов. Специалисты подчеркивают важность ранней диагностики, так как это может существенно повлиять на эффективность лечения. В зависимости от степени тяжести заболевания, терапия может включать как медикаментозные средства, так и физиотерапию. Врачи рекомендуют индивидуальный подход к каждому пациенту, учитывая его уникальные симптомы и общее состояние здоровья. Также акцентируется внимание на необходимости регулярного мониторинга состояния пациента, что позволяет своевременно корректировать лечение и предотвращать осложнения.

Клиническая картина
Для системной склеродермии характерны множественные симптомы, поскольку нарушения в кровеносных сосудах прямо сказываются на состояние всех органов и систем организма. Один из первых признаков – синдром Рейно, который диагностируется у 95% всех заболевших. Для него характерны резкие сосудистые спазмы с болью в пальцах, а также их похолодание. Иногда спазм ощущается на мочках ушей и кончике носа. При этом кожа бледнеет, а затем становится синюшной. Вместе с тем больной ощущает замерзание конечностей, их онемением. При согревании конечности она начинает краснеть и ощущается боль и покалывание.
Другое специфическое поражение – суставные изменения, которые выражаются воспалением с быстрым образованием контрактур. Системная склеродермия часто поражает легкие, почки, сердце, изменения в которых приводят к дисфункциям в этих органах. Изменения в костях и мышцах, сопровождающиеся болями, напоминают симптомы при ревматизме и ревматоидном артрите.
На начальной стадии системная склеродермия выражается также отеком кистей рук. Иногда отек может наблюдаться на лице, предплечьях, голенях и стопах и сохраняться до нескольких месяцев. Отек зачастую сопровождается эритемой и трудностью при сгибании пальцев. Также может развиться тугоподвижность и припухлость в коленных суставах и пальцах рук.
Большая часть пациентов жалуется на отрыжку, чувство распирания и жжения в области эпигастрия. Для системной склеродермии характерны проявления поражения пищевода, приводящее к развитию кровотечения. После присоединяются другие симптомы поражения ЖКТ:
- боль при глотании;
- боль и метеоризм в животе;
- диарея;
- анемия;
- похудение;
- выпадение прямой кишки;
- недержание кала.
В результате поражения легких при склеродермии наступает смерть. Симптомами данного поражения являются сухой кашель, одышка, развитие пневмонии, легочной гипертензии.
Системная склеродермия — это редкое, но серьезное заболевание, которое вызывает значительное беспокойство у пациентов и их близких. Люди часто описывают симптомы как разнообразные и порой трудно поддающиеся диагностике. Основные проявления включают утолщение кожи, боли в суставах и проблемы с внутренними органами. Многие отмечают, что первоначальные симптомы могут быть легкими и незаметными, что затрудняет раннее обращение к врачу.
Лечение системной склеродермии индивидуально и может включать как медикаментозную терапию, так и физиотерапию. Пациенты делятся опытом о том, как важна поддержка со стороны специалистов и близких. Некоторые находят облегчение в альтернативных методах, таких как йога и медитация. Важно, чтобы люди не теряли надежды и продолжали искать подходящие методы лечения, ведь каждый случай уникален.
Диагностика и лечение
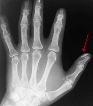
В виду того, что при системной склеродермии история болезни фиксирует поражение множества органов, диагностировать заболевание трудно. Отличительный диагностический симптом – это маскообразность лица со сниженной мимикой и как бы натянутой кожей, а также изменение кистей рук. Они становятся малоподвижные, худые с утолщением концевых фаланг.
Диагноз считается достоверным, если у больного выявлен один «большой» или два «малых» критерия.
- «Большой» критерий:
- изменения кожи на лице, животе, грудной клетке;
- симметричное утолщение кожи на пальцах.
- «Малые» критерии:
- дигитальные рубчики – это западание кожи на фалангах пальцев или уменьшение подушечек пальцев;
- склеродактилия – аналогичные кожные изменения, но ограниченные пальцами;
- двусторонний базальный пневмофиброз – это узловые тени в легких, выявляемые при рентгенологическом обследовании.
Лечение системной склеродермии основано на препаратах, уменьшающих фиброзные изменения в сосудах. Медикаментозное лечение сочетают с ЛФК для предотвращения контрактур, физиотерапией. Прогноз можно назвать условно неблагоприятным, поскольку без выявления причины заболевания, полностью вылечить его не представляется возможным. Можно только улучшить качество жизни и замедлить прогрессирование болезни. Со временем, в любом случае, трудоспособность утрачивается полностью и наступает инвалидизация.

Вопрос-ответ
Какие основные симптомы системной склеродермии?
Симптомы системной склеродермии могут варьироваться, но наиболее распространенными являются утолщение и затвердение кожи, особенно на руках и лице, а также изменения в цвете кожи. Другие симптомы могут включать боль в суставах, усталость, проблемы с дыханием и расстройства пищеварения.

Как диагностируется системная склеродермия?
Диагностика системной склеродермии обычно включает клинический осмотр, анализ медицинской истории и лабораторные тесты, такие как анализ крови на антитела. Врач может также назначить визуализационные исследования, чтобы оценить состояние внутренних органов и исключить другие заболевания.
Какие методы лечения применяются при системной склеродермии?
Лечение системной склеродермии направлено на управление симптомами и замедление прогрессирования заболевания. Это может включать использование противовоспалительных препаратов, иммуносупрессоров, физиотерапию и, в некоторых случаях, хирургическое вмешательство. Важно, чтобы лечение было индивидуализировано в зависимости от тяжести заболевания и состояния пациента.
Советы
СОВЕТ №1
Обратите внимание на ранние симптомы. Системная склеродермия может проявляться различными симптомами, такими как отеки, изменение цвета кожи и боль в суставах. Если вы заметили у себя подобные проявления, не откладывайте визит к врачу для диагностики и начала лечения.
СОВЕТ №2
Следите за своим образом жизни. Правильное питание, регулярные физические упражнения и отказ от курения могут значительно улучшить общее состояние здоровья и помочь в управлении симптомами системной склеродермии. Рассмотрите возможность консультации с диетологом для составления индивидуального плана питания.
СОВЕТ №3
Не забывайте о психологической поддержке. Жизнь с хроническим заболеванием может быть эмоционально сложной. Рассмотрите возможность участия в группах поддержки или консультации с психологом, чтобы справиться с эмоциональными трудностями и обменяться опытом с другими пациентами.
СОВЕТ №4
Регулярно проходите обследования у специалистов. Системная склеродермия может затрагивать различные органы, поэтому важно регулярно посещать врачей, таких как ревматолог, дерматолог и кардиолог, для мониторинга состояния и своевременного выявления возможных осложнений.


