По статистическим данным дисплазия отмечается у 3-5% новорожденных ежегодно и различается по степени развития. Зачастую речь идет о подвывихе тазобедренного сустава у детей, классифицируемого в ортопедии на следующие виды:
- подвздошный (самый распространенный);
- седалищный;
- запирательный или лонный (наименее встречающийся).
Однако, симптоматическая картина при всех этих видах похожа друг на друга, но начинать лечебный курс важно оперативно и незамедлительно.
Этиология и процесс возникновения врожденного подвывиха
Аномальное анатомическое строение развивается по причине возникновения определенных дефектных изменений в нормальной ткани. В соответствии со статистикой, у низкорослых женщин-первородок вероятность рождения малыша с подвывихом бедра несколько больше. Это возникает по причине недостаточного места в утробе матери, и, соответственно, излишним надавливанием ножек плода к стенке живота.
При подвывихе тазобедренного сустава показано незамедлительное вправление, потому как возможно наступление дегенерации близлежащих здоровых тканей из-за нарушения их трофики.
Примерно у 23% детей с врожденной дисплазией не была проведена должная терапия непосредственно после рождения по ряду причин. Однако, основным выступает не совершенствованная современная диагностическая база в медучреждениях. Отсутствие терапевтического комплекса ведет к следующему — подвывих у взрослых становится основной этиологией вторичной патологии – артритов, артрозов, остеопорозов и пр.
Врачи отмечают, что подвывих тазобедренного сустава у детей может проявляться различными симптомами, включая ограничение подвижности, боль в области бедра и несимметричное положение ног. Часто родители замечают, что ребенок не может нормально ходить или жалуется на дискомфорт при движении. Важно отметить, что ранняя диагностика играет ключевую роль в успешном лечении. Специалисты рекомендуют проводить регулярные осмотры у педиатра и ортопеда, особенно в первые годы жизни, когда суставы активно развиваются. Терапия может включать физическую реабилитацию, использование ортопедических средств и, в некоторых случаях, хирургическое вмешательство. Врачи подчеркивают, что индивидуальный подход к каждому ребенку и своевременное обращение за медицинской помощью значительно повышают шансы на полное восстановление и предотвращение осложнений в будущем.

Симптомокомплекс подвывиха бедра у ребенка
При этой патологии малыш не ощущает боли, и отсутствуют выраженные внешние деформационные процессы, но типичными симптомами являются:
- на бедренной и ягодичной зонах отмечается асимметрия складок;
- ограничение пассивного пронации пораженного бедра;
- со временем дисплазия характеризуется «плавно переваливающейся» походкой и деформированием позвоночного столба в поясничной его части.
Укорочение пораженной конечности характерно для вывиха, но при отсутствии терапии при подвывихе он имеет место и у взрослого человека.
Признаком тяжелой степени патологии являются вывернутые латерально либо медиально пальчики больной конечности.
Многие родители сталкиваются с проблемами, связанными с подвывихом тазобедренного сустава у детей, и делятся своими переживаниями в различных форумах и группах. Они отмечают, что ранняя диагностика и своевременная терапия играют ключевую роль в восстановлении. Некоторые родители рассказывают о положительном опыте применения физиотерапии и массажа, которые помогают укрепить мышцы и улучшить подвижность сустава. Другие делятся информацией о необходимости регулярных обследований у ортопеда, чтобы избежать осложнений в будущем. Важно отметить, что поддержка со стороны специалистов и обмен опытом с другими родителями создают атмосферу доверия и уверенности в процессе лечения. Многие подчеркивают, что терпение и настойчивость в терапии приводят к положительным результатам, и дети могут вести активный образ жизни.
Общее терапевтическое основание
Сегодня благодаря наличию УЗИ патологические изменения можно выявить на ранних этапах. Идеальным периодом для начала восстановительных действий выступают первые дни жизни недавно родившегося ребенка. В этот период вторичные изменения еще толком не проявились или на самом начальном этапе.
В первый месяц жизни показано широкое пеленание малыша: фланелевая пеленка сворачивается в виде прямоугольной распорки, имеющей ширину в 0,15−0,17 м, и фиксируется между разведенными ножками на 600−800 и согнутыми в коленях.
В терапевтический комплекс также включают курс лечебной гимнастики: при каждойц смене подгузников проводится разведение бедер в противоположные направления. Плюс к этой процедуре рекомендуется посещение плавательного бассейна, физиопроцедуры и массаж. В случае неэффективного проводимых мероприятий ортопед назначает дополнительно определенное ортопедическое пособие:
- Самым облегченным методом лечения — стремена Павлика. Это устройство пациенту назначают уже с третьей недели и до девяти месяцев. Этот способ предусматривает сгибание в тазобедренных и коленных суставах под углом в 900.
- При несвоевременном выявлении подвывиха с шести-восьми месяцев ребенку прописывается отводящая шина с бедренными туторами.
- При разрешении хождения малышу прописывают специальную шину. Период нахождения в ней от шести до двенадцати недель. Она подвергается еженедельному контролю, чтобы избежать чрезмерного сдавливания малыша ввиду его быстрого роста.
При неэффективности всех выше перечисленных методов лечения малышу показан способ закрытого вправления: под общим обезболиванием (наркозом) при вытянутом по прямой линии тельце ноги поднимаются вертикально вверх и осторожно разводятся в противоположные латеральные направления.
После такой манипуляции патологическое место подвергается фиксации пластиковым каркасом. Спустя 6 нед. проводится повторный осмотр: при положительном результате лечение продолжается на 3 месяца, в противном случае будет назначен хирургический способ лечения.

Вопрос-ответ
Какие симптомы могут указывать на подвывих тазобедренного сустава у ребенка?
Симптомы подвывиха тазобедренного сустава могут включать боль в области бедра, ограничение подвижности, хромоту или неестественное положение ноги. Ребенок может также проявлять беспокойство или капризность при попытках двигаться.

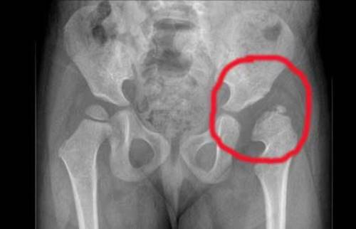
Как проводится диагностика подвывиха тазобедренного сустава у детей?
Диагностика подвывиха тазобедренного сустава обычно включает клинический осмотр, а также рентгенографию для визуализации положения суставных поверхностей. В некоторых случаях может потребоваться МРТ для более детального изучения мягких тканей и суставных структур.
Какие методы терапии применяются для лечения подвывиха тазобедренного сустава у детей?
Терапия подвывиха тазобедренного сустава может включать консервативные методы, такие как физиотерапия, использование ортопедических устройств и специальные упражнения для укрепления мышц. В более сложных случаях может потребоваться хирургическое вмешательство для восстановления нормального положения сустава.
Советы
СОВЕТ №1
Обратите внимание на ранние признаки подвывиха тазобедренного сустава, такие как затрудненное движение ноги, асимметрия ягодичных складок или изменение походки. Если вы заметили эти симптомы у вашего ребенка, немедленно обратитесь к врачу для диагностики и лечения.
СОВЕТ №2
Регулярно проводите физические упражнения и растяжки для укрепления мышц вокруг тазобедренного сустава. Это поможет улучшить стабильность сустава и предотвратить возможные травмы в будущем. Проконсультируйтесь с физиотерапевтом для составления индивидуальной программы упражнений.
СОВЕТ №3
Следите за правильной осанкой и положением ребенка во время сидения и игры. Используйте специальные подушки и стулья, которые поддерживают правильное положение тела, чтобы снизить риск развития проблем с тазобедренным суставом.
СОВЕТ №4
Обсуждайте с врачом возможные методы терапии, такие как физиотерапия или ортопедические устройства, если у вашего ребенка уже диагностирован подвывих. Своевременное лечение и соблюдение рекомендаций специалиста помогут избежать осложнений и улучшить качество жизни вашего ребенка.

