Остеолиз – заболевание костей, которое относят к разряду наиболее сложных.
В процессе жизнедеятельности кости принимают участие два типа клеток:
- Остеокласты (участвуют в разрушении ткани)
- Остеобласты (участвуют в образовании ткани).
Если баланс между ними нарушается, происходит распад костной ткани, что и называется остеолизом.
По сути, кость не столько разрушается, сколько растворяется.
Есть две стадии остеолиза:
- Из кости вымываются минеральные вещества.
- Включается ряд ферментов, которые начинают ее растворять.
Остеолиз представляет собой процесс разрушения костной ткани, который может быть вызван различными факторами, включая опухоли, инфекции и воспалительные заболевания. Врачи отмечают, что проявления остеолиза могут варьироваться от болей в костях до патологических переломов, что значительно ухудшает качество жизни пациентов. Важно своевременно диагностировать это состояние, чтобы предотвратить его прогрессирование.
Современные методы терапии включают медикаментозное лечение, направленное на замедление разрушительных процессов, а также хирургическое вмешательство в случаях, когда необходимо восстановление целостности кости. Врачи подчеркивают важность комплексного подхода к лечению, который может включать физиотерапию и реабилитацию для восстановления функций пораженных конечностей. Регулярные обследования и мониторинг состояния пациента также играют ключевую роль в управлении остеолизом и улучшении прогноза.

По природе выделяют несколько типов этой патологии:
- врожденная;
- приобретенная.
По характеру течения выделяют:
- травматическую;
- воспалительную.
Иногда заболевание носит самостоятельный характер (то есть появляется и развивается самостоятельно), а иногда является последствием другой патологии. Развитию остеолиза может способствовать, например, опухоль кости, или другие заболевания организма. Такую форму называют вторичной.
Также причиной могут быть нарушения кровообращения в тканях (ишемический), или неправильное всасывание минеральных веществ (метаболический).
Прогрессирующий тип встречается крайне редко. В этом случае наблюдается стремительный распад одной или нескольких костей, причем в совершенно разных точках организма. Пострадать может что угодно: грудина, череп, позвонки, кости таза и т.д.
Остеолиз — это процесс разрушения костной ткани, который может вызывать серьезные проблемы для здоровья. Многие пациенты отмечают, что симптомы остеолиза часто проявляются неожиданно, и их трудно связать с конкретными заболеваниями. Важным аспектом является то, что ранняя диагностика и терапия могут значительно улучшить качество жизни. Люди делятся опытом, что комплексный подход, включающий медикаментозное лечение и физиотерапию, помогает замедлить прогрессирование заболевания. Некоторые отмечают, что изменения в образе жизни, такие как правильное питание и физическая активность, также играют важную роль в управлении симптомами. Однако, несмотря на достижения медицины, многие пациенты сталкиваются с недостатком информации о своем состоянии, что подчеркивает необходимость повышения осведомленности о проблемах остеолиза и доступных методах терапии.

Факторы, вызывающие эту патологию:
- травматизм. Даже самая небольшая травма кости может начать этот разрушительный процесс, особенно, если пострадавший пенсионного возраста. С годами восстановление и так идет медленнее, но в данном случае процесс дегенерации только ускориться.
- воспаления. Различные болезни, вызывающие воспаления могут спровоцировать начало остеогенеза. Например, остеомиелит почти всегда приводит к таким последствиям. Сюда же можно отнести артрит, любые болезни соединительной ткани.
- опухоли. Доброкачественные или злокачественные, они могут быть весомым фактором. Особенно это касается опухолей костной ткани и их метастазов.
- глюкокортекостероидные гормоны. При длительном приеме таких лекарств может быть нарушен метаболизм.
- общий атеросклероз. Бляшки в сосудах нарушают правильное питание всех тканей, в том числе и костных.
- подагра.
- туберкулез.
Как диагностировать?
Симптомы проявляются болями в этом месте. Если природа болезни воспалительная, отмечают жар, общую слабость, озноб, кожа гиперемирована, при пальпации человеку будет больно.
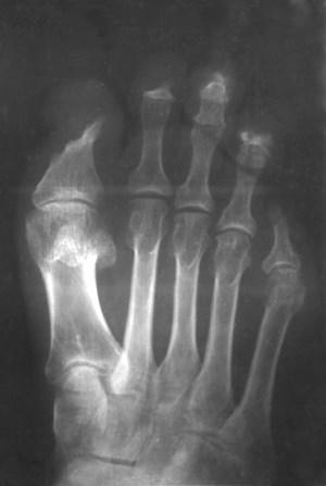
Основной способ поставить диагноз – рентген, анализ крови, КТ, МРТ.
На снимке кость не имеет четких границ.
В анализах отмечается один или несколько факторов, указывающих на болезнь:
- лейкоцитоз с высоким уровнем полиморфоноядерных клеток;
- повышение СОЭ;
- высокий уровень кальция в плазме;
- пониженный уровень фосфора;
- низкий белок плазмы;
- высокий уровень кислоты мочевой в плазме.

Лечение
Лечиться заболевание в зависимости от того, что стало его причиной.
Главным образом лечение имеет симптоматический характер. Распространенная практика – создание электрического поля с помощью имплантации в кость электродов на постоянной основе. Иногда поврежденный участок кости заменяют на протез.
Иногда назначается ряд препаратов, которые должны замедлить процесс растворения. Ингибиторы остеолиза: помегара, миакальцик и др.
Излечим ли он? Эту патологию крайне сложно вылечить. Остановить развитие или предотвратить намного проще.
Профилактикой может быть:
- Уход за своим здоровьем;
- Нормальные условия труда;
- Отсутствие стрессовых для организма условий (постоянное переохлаждение, высокие нагрузки и т.п.)
- Регулярный осмотр у врачей;
- Полноценное питание;
- Своевременное лечение заболеваний.
При появлении малейших симптомов нужно немедленно обратиться к врачу.
Вопрос-ответ
Как лечить остеолиз?
Лечение остеолиза Практикуется симптоматическое лечение. В ряде случаев благоприятно сказывается создание постоянного электрического поля посредством имплантированных в кость электродов. Также проводится оперативное лечение – резекция кости с замещением дефектного участка.
Какие препараты используются при остеолизе?
Бисфосфонаты . Бисфосфонаты — это лекарственные препараты, принимаемые перорально или парентерально для лечения остеопороза и остеолиза, связанных с метаболическими и метастатическими заболеваниями костей.
Как остановить остеолиз?
Лечение обычно нехирургическое и включает прикладывание льда и покой плечу, прием противовоспалительных препаратов и прохождение физиотерапии . В некоторых случаях может потребоваться хирургическое вмешательство.
Остеолиз — это то же самое, что и артрит?
Остеоартрит и остеолиз акромиально-ключичного сустава являются формами дегенерации суставов . В то время как артрит акромиально-ключичного сустава является типом гипертрофического артроза, который может способствовать субакромиальному импинджменту, остеолиз акромиально-ключичного сустава является патологической резорбцией сустава.
Советы
СОВЕТ №1
Регулярно проходите медицинские обследования, особенно если у вас есть предрасположенность к заболеваниям костной ткани. Раннее выявление остеолиза может значительно улучшить прогноз и эффективность лечения.
СОВЕТ №2
Обратите внимание на свой рацион. Убедитесь, что в вашем питании достаточно кальция и витамина D, которые играют ключевую роль в поддержании здоровья костей и могут помочь предотвратить остеолиз.
СОВЕТ №3
При появлении первых симптомов, таких как боль в костях или отеки, не откладывайте визит к врачу. Чем раньше начнется терапия, тем выше шансы на успешное восстановление.
СОВЕТ №4
Изучите доступные методы терапии остеолиза, включая медикаментозное лечение и физиотерапию. Консультация с врачом поможет вам выбрать наиболее подходящий подход в зависимости от вашей ситуации.

