Экзостоз коленного сустава представляет собой разрастание на поверхности кости хрящевой ткани. Оно может иметь линейную или шаровидную форму. Это образование не имеет опухолевой природы.
Окостенение при экзостозе сопровождается тем, что ткань превращается в губчатую кость, которая снаружи заключена в плотную и тонкую костную скорлупу. Костные экзостозы имеют поверхность в виде слоя, который покрыт гиалиновым хрящом. Его толщина составляет несколько миллиметров. Из этой хрящевой головки в дальнейшем разрастается весь экзостоз.
В целом экзостоз представляет собой стойкое образование, но иногда бывает и самопроизвольное рассасывание.
Причины
Экзостоз чаще всего является заболеванием врожденно природы, но есть и ряд факторов, которые могут привести к подобному образованию.
Причинами формирования экзостоза могут стать:
- воспалительные процессы;
- ушибы;
- ущемления;
- аномалии надкостницы или хряща;
- инфекционные заболевания (сифилис и т.п.);
- патологии развития эндокринной системы.
Из заболеваний чаще всего причиной становятся гормональные сбои. Травмы колена могут привести к кровоизлиянию или неправильному срастанию, что также становится причиной патологии.
При врожденном заболевании формирование имеет множественную природу, а если причины иные – единичную.
Экзостоз коленного сустава представляет собой доброкачественное образование, возникающее на поверхности кости. Врачи отмечают, что основными причинами его развития могут быть генетическая предрасположенность, травмы и хронические воспалительные процессы. У некоторых пациентов экзостоз может возникать в результате нарушения обмена веществ или как реакция на длительное механическое раздражение.
Лечение экзостоза зависит от его размера и симптоматики. Врачами часто рекомендуется наблюдение за состоянием образования, если оно не вызывает дискомфорта. В случаях, когда экзостоз приводит к болям или ограничению подвижности, может потребоваться хирургическое вмешательство. Операция позволяет удалить образование и восстановить нормальную функцию сустава. Важно, чтобы пациенты обращались к специалистам при первых признаках проблемы, чтобы избежать осложнений и сохранить здоровье коленного сустава.

Симптомы
Обычно это образование увеличивается очень медленно, при этом не вызывает болей или характерных клинических симптомов. Поэтому его появление остается незаметным для врача и больного.
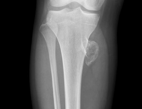
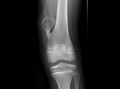
Обнаружить экзостоз можно на рентгеновском снимке, или при пальпации, которую приводит врач на осмотре.
У детей часто такие разрастания не видны до 8 лет, но в период активного роста (до 16 лет) может произойти активное развитие. Ускоренный рост возникает во время полового созревания. По мере роста диафиза в длину, опухоль начинает увеличиваться во всех направлениях. Широкое основание сохраняется или увеличивается.
Образование покрыто сумкой, в которой со временем четко определяется синовиальная жидкость. Структура костная за исключением поверхности, которая имеет хрящевой покров.
По форме образование может иметь быть грибовидным, шиповидным, как цветная капуста.
Из характерных проявлений отмечают:
- нарушения разгибательной функции коленного сустава (из-за давления на четырехглавую мышцу бедра);
- ограничение подвижности колена;
- перелом у основания экзостоза;
- образование ложного сустава.
В коленном суставе экзостома растет рядом с концом бедренной трубчатой кости или внутри сустава.
Экзостоз коленного сустава — это заболевание, которое вызывает много вопросов и обсуждений среди пациентов и специалистов. Многие отмечают, что одной из основных причин его развития является травма или постоянная нагрузка на сустав. Люди также упоминают генетическую предрасположенность, которая может играть важную роль в формировании экзостозов.
Что касается лечения, мнения разделяются. Некоторые предпочитают консервативные методы, такие как физиотерапия и медикаментозное лечение, чтобы уменьшить боль и воспаление. Другие же считают, что хирургическое вмешательство — единственный способ избавиться от проблемы. Важно отметить, что подход к лечению должен быть индивидуальным, и многие пациенты подчеркивают значимость консультации с опытным врачом. Обсуждения на форумах показывают, что поддержка и обмен опытом между людьми с подобными проблемами могут существенно облегчить процесс лечения и восстановления.
Лечение
Лечение проводится по результатам исследований. Если образование не растет и не мешает работе сустава, никакие меры не предпринимаются. Однако есть риск развития бурсита, тендинита, перитендинита и других патологий, так как меняется соотношение костей, образование может оказывать давление на ближайшую кость и вызывать ее деформации.
Для лечения экзостома коленного сустава проводят его резекцию, которая включает в себя кортикальный слой и сумку, которая покрывает опухоль. Если экзостоз локализуется в области задней поверхности коленного сустава, он может сдавливать сосудисто-нервный пучок, что осложняет лечение. В этом случае обязательно проводится операция, которая требует особой осторожности со стороны хирурга. Используют жгут, выделяют основные вены и нервные стволы, отодвигают их с помощью элеватора. Экзостоз обнажают, также как и заднюю поверхность бедра. Резекцию начинают со здоровой части, идя в глубину. Врач старается убрать образование вместе с его основание и частью здоровой кости. Важно проверить дно раны, чтобы в нижнем отделе бедра не осталось никаких частей экзостоза.
Затем проводят очень тщательный гемостаз, затем послойно зашивают рану. На время восстановления накладывают гипсовую шину на две недели.

Вопрос-ответ
Как лечить экзостоз колена?
Самое эффективное лечение экзостоза – хирургическая операция. Заключается она в глубокой резекции (иссечении) нароста с захватом части здоровой кости. Хирургическое вмешательство проводится под местной анестезией или общим наркозом, в зависимости от локализации и размера экзостоза.

Можно ли вылечить экзостоз без операции?
В домашних условиях экзостозы на десне вылечить невозможно, без хирургического вмешательства обойтись не получится. Проводить операцию по коррекции альвеолярного гребня должен хирург в стоматологии.
Почему появляется экзостоз на ноге?
Факторы риска развития подногтевого экзостоза Частые травмы ног. Удары, травмы пальцев ног могут спровоцировать костное разрастание под ногтем. Неудобная обувь. Постоянное давление на пальцы ног, особенно при ношении тесной обуви, увеличивает риск.
Сколько развивается экзостоз?
Рост экзостоза медленный, в течение всего периода развития скелета. Обыкновенно экзостозы обнаруживают не раньше 7 лет. Наиболее интенсивно они растут в периоде физиологического роста скелета, в детском и юношеском возрасте, от 8 до 18 лет.
Советы
СОВЕТ №1
Регулярно проходите медицинские осмотры, особенно если у вас есть предрасположенность к заболеваниям суставов. Это поможет выявить экзостоз на ранних стадиях и начать лечение вовремя.
СОВЕТ №2
Обратите внимание на свою физическую активность. Умеренные упражнения, такие как плавание или йога, могут помочь укрепить мышцы вокруг коленного сустава и снизить нагрузку на него.
СОВЕТ №3
Следите за своим весом. Избыточный вес увеличивает нагрузку на коленные суставы, что может способствовать развитию экзостоза. Правильное питание и физическая активность помогут поддерживать здоровый вес.
СОВЕТ №4
При появлении болей или дискомфорта в колене не откладывайте визит к врачу. Раннее обращение за медицинской помощью может предотвратить осложнения и улучшить качество жизни.


