Фиброзная дисплазия, или фиброзно-кистозная болезнь кости относится к системному заболеванию скелета, которое выражается в нарушении развития костной ткани, а именно, в ее замещении на ткань фиброзную, что приводит к деформации кости. Этот вид дисплазии, так же как и другие ее виды: фиброзно-мышечная, эктодермальная, цервикальная и прочие, не является истинно опухолевым, однако он стоит совсем рядом с новообразованиями.
Признаки и причины развития заболевания
Для фиброзной дисплазии скелета характерны следующие признаки:
- периодически повторяющиеся переломы, которые наблюдаются в 30% случаев заболеваний;
- деформация конечности: вздутие, искривление ее оси;
- замедление роста кости в длину;
- сочетание с другими заболеваниями: рудиментарной почкой, гипертиреоидизмом, врожденной атрофией зрительного нерва, фибромиксоидными опухолями тканей.
Причины развития этой болезни до сих пор не изучены до конца. Принято считать, что в ее основе лежат опухолеподобные процессы, которые связаны с нарушением развития остеогенной мезенхимы. Чаще возникает фиброзная дисплазия у детей (среди детских новообразований фиброзная дисплазия занимает 10%), но также встречается и у взрослых и пожилых людей. Наиболее подвержены этому заболеванию женщины.
Врачи отмечают, что фиброзная дисплазия кости представляет собой редкое заболевание, характеризующееся аномальным ростом костной ткани, что может приводить к деформациям и болевым ощущениям. Специалисты подчеркивают важность ранней диагностики, так как это позволяет предотвратить серьезные осложнения. В большинстве случаев заболевание развивается в детском или подростковом возрасте, и его симптомы могут варьироваться от легкой боли до значительных нарушений функции конечностей. Лечение часто включает наблюдение, медикаментозную терапию и, в некоторых случаях, хирургическое вмешательство. Врачи также акцентируют внимание на необходимости мультидисциплинарного подхода, который включает ортопедов, эндокринологов и радиологов для более эффективного управления состоянием пациента.

Классификация фиброзной дисплазии
Различают следующие основные формы данного вида дисплазии:
- Монооссальную, при которой поражается лишь одна кость. Может возникать у людей любого возраста.
- Полиоссальную, когда поражены одновременно несколько костей одной стороны тела. Эта форма нередко сочетается с различными эндокринными патологиями и с меланозами кожных покровов. Возникает у детей.
Локализация заболевания
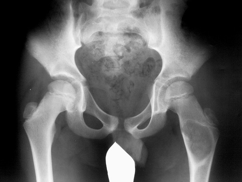
Фиброзная дисплазия может поразить любую кость. И диффузные, и очаговые поражения располагаются в диафизах и метафизах, чаще всего в длинных трубчатых костях рук и ног. Наиболее часто этой болезни подвергаются большеберцовая, бедренная, лучевая и плечевая кости, также нередко страдают ребра.
При монооссальной форме обычно поражаются длинные трубчатые кости, ребра, череп и лопатки, а при полиоссальной – более половины всех костей скелета, как правило, с одной стороны, но поражение также может быть и многосторонним, что говорит о врожденной природе заболевания.
Очаги поражения могут возникать как на совсем небольших участках костей, так и на значительных. В самом начале развития заболевания пораженные участки скелета способны сохранять свои первоначальные и форму, и размеры. Со временем начинают появляться очаги «вздутия», костная ткань начинает деформироваться: удлиняться или, наоборот, укорачиваться.
На распиле кости определяются белые, с красноватыми вкраплениями очаги, которые обычно имеют округлую или удлиненную форму, иногда сливающиеся между собой. При этом канал костного мозга расширен и заполнен новообразованными тканями.
Фиброзная дисплазия кости — это редкое заболевание, о котором многие люди знают недостаточно. Некоторые пациенты описывают свои ощущения как постоянную боль и дискомфорт в пораженных участках. Многие отмечают, что диагноз ставится довольно поздно, что приводит к ухудшению состояния. В социальных сетях можно встретить истории о том, как болезнь влияет на повседневную жизнь, ограничивая физическую активность и вызывая эмоциональные трудности.
Некоторые пациенты делятся опытом лечения, упоминая о различных методах, включая медикаментозную терапию и хирургические вмешательства. Важно отметить, что поддержка со стороны близких и сообществ помогает многим справляться с психологическими аспектами заболевания. Люди также подчеркивают необходимость повышения осведомленности о фиброзной дисплазии, чтобы улучшить диагностику и лечение.

Как лечить фиброзно-кистозную болезнь
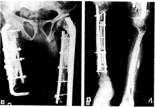
Лечение фиброзной дисплазии кости предполагает лишь оперативное вмешательство, при котором осуществляется резекция очага поражения независимо от его размеров в пределах здоровых тканей, с дальнейшим замещением дефекта гомотрансплантатом.
Ослабление клинических симптомов данного заболевания возможно в результате проведения определенных ортопедических процедур: остеотомии, пересадки костей и кюретажей.
Назначают проведение данных вмешательств в случае прогрессирующих деформаций, многократных и долго не срастающихся переломов, а также при болевом синдроме, избавиться от которого с помощью обычных лекарственных средств не удается.
Если заболевание сопровождается значительным содержанием щелочной фосфатазы, то в данной ситуации рекомендуется принимать гормон кальцитонин.
В любом случае, диагностику и лечение болезни должен проводить специалист-ортопед, прием каких-либо препаратов без разрешения врача категорически запрещен!
Какие прогнозы могут дать врачи
Прогнозы для жизни можно назвать достаточно благоприятными. Очаг может перейти в доброкачественную опухоль – гигантоклеточную опухоль кости или неоссифицирующуюся фиброму. Кроме того, существует ряд случаев, когда у взрослых происходило злокачественное перерождение очага в остеогенную саркому.
Если говорить о функциональных прогнозах, то в случае отсутствия лечения и ортопедической профилактики большие поражения (одновременно и диффузные формы, и многоочаговые) могут привести к искривлению костей, к многократно повторяющимся и трудно срастающимся патологическим переломам, особенно к перелому бедренной кости, а также к выбухающим деформациям. Многократным переломам обычно подвержены нижние конечности, переломы рук, как правило, срастаются хорошо, но их деформация при этом увеличивается.
Если очаги фиброзной дисплазии костей небольшие и одиночные, то особой опасности они не представляют. В случае отсутствия беспокойств удалять их не нужно, поскольку возможна самостоятельная оссификация.

Вопрос-ответ
Что такое фиброзная дисплазия кости?
Фиброзная дисплазия кости — это редкое заболевание, при котором нормальная костная ткань заменяется аномальной фиброзной тканью. Это приводит к ослаблению костей, их деформации и повышенному риску переломов. Заболевание может затрагивать одну или несколько костей и часто проявляется в детском или подростковом возрасте.
Каковы основные симптомы фиброзной дисплазии кости?
Симптомы фиброзной дисплазии могут варьироваться в зависимости от степени поражения костей. Наиболее распространенные проявления включают боль в пораженной области, деформацию костей, ограничение подвижности и, в некоторых случаях, переломы. У некоторых пациентов заболевание может протекать бессимптомно и быть обнаружено случайно при рентгенологическом исследовании.
Как лечится фиброзная дисплазия кости?
Лечение фиброзной дисплазии кости зависит от тяжести заболевания и его симптомов. В некоторых случаях может быть достаточно наблюдения без активного вмешательства. При наличии выраженной боли или деформации может потребоваться хирургическое вмешательство для коррекции костной структуры или стабилизации пораженных участков. Также могут применяться медикаментозные методы для облегчения боли и улучшения качества жизни пациента.
Советы
СОВЕТ №1
Обратитесь к специалисту. Если у вас есть подозрения на фиброзную дисплазию кости, важно проконсультироваться с ортопедом или ревматологом. Они смогут провести необходимые обследования и поставить правильный диагноз.
СОВЕТ №2
Регулярно проходите обследования. Фиброзная дисплазия может прогрессировать, поэтому регулярные рентгенологические исследования и другие диагностические процедуры помогут отслеживать изменения в состоянии костей и своевременно принимать меры.
СОВЕТ №3
Следите за физической активностью. Умеренные физические нагрузки могут помочь поддерживать здоровье костей, но избегайте чрезмерных нагрузок и травм, которые могут усугубить состояние. Консультируйтесь с врачом о подходящих упражнениях.
СОВЕТ №4
Обратите внимание на питание. Убедитесь, что ваш рацион богат кальцием и витамином D, которые способствуют укреплению костей. Рассмотрите возможность добавления в рацион продуктов, богатых этими веществами, или принимайте добавки по рекомендации врача.



