Миелома костей – это опухоль, которую вызывает бесконтрольный рост плазматических клеток, вырабатываемых костным мозгом.
Это образование имеет злокачественную природу. Оно развивается в губчатой ткани костей вследствие перерождения клеток плазмы крови. В состав иммунной системы входят лимфоциты, которые защищают организм от чужеродных образований. Чтобы бороться с бактериями и т.п. Лимфоциты превращаются в плазматические клетки. Происходит выработка специфичных антител, которые уничтожают патологические бактерии. Если эти плазматические клетки начинают бесконтрольно расти, начинают образовываться опухоли, которые поражают костный мозг. При этом нормальные здоровые клетки начинают замещаться клетками миеломы. Они могут производить антитела, но не защищают организм. У этих разрастаний нет метастазов и бластоматозного роста.
Чаще всего диагностируется у пожилых мужчин.
Виды
Это заболевание делят на несколько видов.
В зависимости от количества очагов выделяют:
- очаговую;
- множественная;
- очагово-диффузную.
В зависимости от состава клеток выделяют:
- плазмоцитарная;
- плазмоклеточная миелома кости;
- полиморфно-клеточная;
- мелкоклеточная.
Миелома костей, являясь одной из форм рака крови, вызывает значительное беспокойство среди медицинских специалистов. Врачи отмечают, что это заболевание характеризуется аномальным разрастанием плазматических клеток в костном мозге, что приводит к разрушению костной ткани и нарушению нормального кроветворения. Основные проявления миеломы включают болевой синдром, анемию, повышенную утомляемость и частые инфекции.
Специалисты подчеркивают важность ранней диагностики, так как это существенно влияет на эффективность лечения. Терапия миеломы может включать химиотерапию, иммунотерапию и, в некоторых случаях, трансплантацию стволовых клеток. Врачи также акцентируют внимание на необходимости поддерживающей терапии для улучшения качества жизни пациентов и снижения риска осложнений. В целом, мультидисциплинарный подход к лечению миеломы костей позволяет добиться лучших результатов и повысить шансы на длительную ремиссию.

Причины
Причины мутирования клеток до сих пор до конца не определили. Развиваться может миелома в костях таза, ребер, грудины, черепа и т.д.
Симптомы
На начальных стадиях болезнь может никак себя не проявлять. Только в анализах крови будут повышенные показатели СОЭ.
С развитием патологического процесса начинают проявляться следующие признаки:
- боли в костях;
- кости разрушаются и происходят частые переломы, позвонки могут оседать, вызывая сдавливание спинного мозга, остеопороз и т.п.;
- частые инфекционные заболевания из-за пониженного иммунитета;
- общая слабость, похудение, бледность;
- образование тромбов, сгущение крови из-за чего может быть инсульт или инфаркт;
- накапливание большого количества белка, из-за чего страдают почки;
- головные боли, нарушение зрения, поражения сетчатки глаза;
- покалывания и онемение в кистях и ступнях;
- пониженный уровень кальция;
- рвота, тошнота, сонливость и т.д.
При пальпации под кожей опухоль может чувствоваться как вздутие круглой или веретенообразной формы.
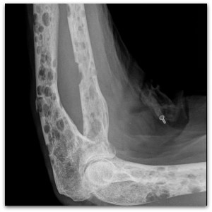
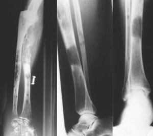
В пределах миеломы ткань кости будет постоянно рассасываться, в губчатой кости будут пропадать перекладины и истончаться кортикальный слой. Он может полностью разрушиться, в этом случае опухоль прорастет под надкостницу, поднимет ее и будет продолжать расти на кости.
Миелома костей — это сложное заболевание, которое вызывает множество вопросов и обсуждений среди пациентов и их близких. Люди часто делятся своими переживаниями о симптомах, таких как боль в костях, усталость и частые инфекции. Многие отмечают, что ранняя диагностика и своевременное лечение значительно улучшают качество жизни. Терапия миеломы включает химиотерапию, иммунотерапию и стволовые клеточные трансплантации, что вызывает интерес и надежду на выздоровление. Однако пациенты также сталкиваются с побочными эффектами лечения, что подчеркивает важность поддержки со стороны врачей и близких. Обсуждения на форумах и в группах поддержки помогают людям не только обмениваться опытом, но и находить эмоциональную опору в трудные времена.

Диагностика
Для диагностики проводят исследование, которое показывает превышение плазмоцитоза в мозге кости, остеолитических повреждений, повышение мочевого М-компонента.
Делают рентген, проводят анализы крови и мочи, также можно делать МРТ при множественной форме.
Лечение
Лечение проводится разными методами в зависимости от стадии развития. Если она развивается медленно и ограниченно, назначаются местное лечение.
Если форма агрессивная, проводится противоопухолевая терапия. При обострении назначают химиотерапию, а также могут сделать пересадку стволовых клеток. Уровень кальция в крови снижают с помощью глюкокортикоидов и обильного питья. Остеопороз пытаются устранить андрогенами, Витамином D и другими методами.
При развитии почечной недостаточности назначают плазмоферез и гемодиализ.
Если течение заболевания стабильное, проводят сопроводительную терапию:
- для повышения иммунитета и укрепления костей назначают кальций;
- обильное питье и мочегонные лекарства;
- проводят поддерживающую терапию почек травяными препаратами;
Питание при миеломе костей должно быть сбалансированным, с достаточным содержанием белков, витамина В, С, кальцием. При нормальной работе почек человек должен много пить. Если уровень лейкоцитов в нормальном состоянии, можно есть мясо курицы, кролика, говядину, подсушенный хлеб, кисломолочные продукты, фрукты и овощи.
Исключается жирная пища и богатая углеводами.

Прогноз
Если заболевание определили и начали лечение на ранней стадии, жизнь может быть продлена на достаточно долгий срок. При агрессивной форме и развитии побочных эффектов возможен летальный исход.
Продолжительность жизни может быть существенно продлена благодаря инновационным технологиям лечения, которые применяют в последние годы.
Вопрос-ответ
Что такое миелома костей и как она развивается?
Миелома костей, также известная как множественная миелома, является злокачественным заболеванием, которое возникает из плазматических клеток, отвечающих за выработку антител. Она развивается, когда аномальные плазматические клетки начинают бесконтрольно размножаться, что приводит к образованию опухолей в костях и нарушению нормального кроветворения.
Какие симптомы могут указывать на наличие миеломы костей?
Симптомы миеломы костей могут варьироваться, но наиболее распространенными являются: болевые ощущения в костях, особенно в спине и ребрах, усталость, частые инфекции, анемия, а также повышенное содержание кальция в крови, что может вызывать жажду и запоры.
Какие методы терапии применяются для лечения миеломы костей?
Лечение миеломы костей может включать химиотерапию, таргетную терапию, иммунотерапию и стволовые клеточные трансплантации. В некоторых случаях также применяются обезболивающие и препараты для укрепления костей, такие как бисфосфонаты, чтобы уменьшить риск переломов и облегчить симптомы.
Советы
СОВЕТ №1
Изучите симптомы миеломы костей, такие как боли в костях, усталость и частые инфекции. Раннее выявление может значительно улучшить прогноз и качество жизни.
СОВЕТ №2
Регулярно проходите медицинские обследования и анализы, особенно если у вас есть предрасположенность к заболеваниям крови. Это поможет контролировать состояние и вовремя реагировать на изменения.
СОВЕТ №3
Обсудите с врачом возможные варианты терапии, включая химиотерапию, иммунотерапию и трансплантацию стволовых клеток. Индивидуальный подход к лечению может повысить его эффективность.
СОВЕТ №4
Поддерживайте здоровый образ жизни, включая сбалансированное питание и физическую активность, чтобы укрепить иммунную систему и улучшить общее состояние организма во время лечения.


