Шваннома мягких тканей – опухоль, которая образуется на шванновской оболочке нервов. Обычно она имеет доброкачественный характер, но может переродиться и стать со временем злокачественной.
Доброкачественная шваннома мягких тканей
В мягких тканях образуется по ходу нервных стволов шеи, головы, рук и в других местах. Это новообразование может появиться у человека в любом возрасте, но преимущественно образуется у взрослых и пожилых людей.
Шваннома может быть одиночной и иметь вид узла маленького размера, но иногда начинает активно расти и достигает большого диаметра.
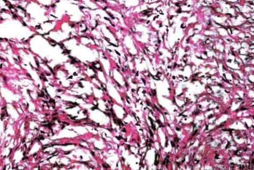
Довольно часто такие узлы опухоли имеют неоднородную структуру из-за очагов дистрофии и образования кист. Нервные волокна обычно в опухоли не выявляются, но характерным считается наличие сосудов с тромбозом, зачастую расширенных.
При пальпации чувствуется образование плотное по структуре, небольшого размера. Оно может быть одиночным или в виде нескольких узлов. Вызывает болезненные ощущения.
Растет опухоль по ходу периферических нервов достаточно медленными темпами.
Также характерно образование шванном после травмы. Они могут образовываться в конце нерва в культе конечности или оставшейся части мягких тканей, иногда в коже. Такие опухоли образовываются по причине посттравматической гиперрегенерации нерва. У детей они являются пороком развития, не имея связи с травмой.
При проведении УЗИ доброкачественная шваннома выглядит как новообразование овальной или округлой формы, отличающееся ровными контурами. Имеет достаточно небольшое отличие от структуры окружающих тканей.
Шваннома мягких тканей, представляющая собой доброкачественную опухоль, возникает из клеток Шванна, окружающих нервные волокна. Врачи отмечают, что существуют различные виды шванномы, включая периневральные и интрамуральные, каждая из которых имеет свои особенности и проявления. Основными симптомами являются боль, онемение и слабость в области пораженного нерва. Лечение шванномы обычно включает хирургическое вмешательство, направленное на удаление опухоли, что позволяет минимизировать риск рецидива и восстановить функцию нерва. Врачи подчеркивают важность ранней диагностики, так как это значительно повышает шансы на успешное восстановление. В некоторых случаях может потребоваться дополнительная терапия, включая радиотерапию, особенно если опухоль проявляет агрессивный рост. В целом, своевременное обращение к специалисту и комплексный подход к лечению играют ключевую роль в управлении этим заболеванием.

Злокачественная шваннома мягких тканей
Злокачественная шваннома встречается очень редко. Она составляет примерно 7% от общего количества опухолей мягких тканей. В основном развивается у пациентов среднего возраста. У мужчин бывает чаще, чем у женщин.
Наиболее вероятными местами злокачественного образования являются:
- голень;
- предплечье;
- бедро;
- голова;
- шея и др.
При исследовании под микроскопом злокачественное образование будет выглядеть как ограниченный инкапсулированный узел, в большинстве случаев имеет крупнобугристую поверхность. Если она исходит из крупного ствола нервов, то он будет выглядеть утолщённым с веретенообразным рельефом. Отделит его от опухоли практически невозможно. В разрезе ткань шванномы будет серого или желто-белого цвета, блестящая с волокнистой структурой или напоминающей желатин. Если форма низкодифференцированная, волокнистости может не быть, тогда опухоль будет иметь вид «рыбьего мяса».
Клетки опухоли имеют удлиненную форму и вытянутые ядра. Клетки расположены пучками, направленными в разном направлении. Ядра отличаются полиморфностью и гиперхромностью, в них присутствуют митозы. Злокачественные шванномы принято различать по степени зрелости и соотношению клеточных и волокнистых элементов.
Шваннома мягких тканей — это доброкачественная опухоль, возникающая из клеток Шванна, которые образуют миелиновую оболочку нервов. Люди, столкнувшиеся с этой проблемой, отмечают, что симптомы могут варьироваться от легкого дискомфорта до значительной боли, в зависимости от расположения опухоли. Многие пациенты подчеркивают важность ранней диагностики, так как это значительно облегчает лечение. Варианты терапии включают хирургическое удаление, которое часто оказывается наиболее эффективным методом. Некоторые специалисты также рассматривают радиотерапию в случаях, когда операция невозможна. Важно, чтобы пациенты получали поддержку и информацию о своем состоянии, так как это помогает справиться с эмоциональными и физическими последствиями заболевания.
Лечение
Доброкачественную шваному мягких тканей лечат двумя методами: хирургическим или с помощью лучевой терапии или радиоволн.
При возможности опухоль вырезают в пределах мягких тканей, если это невозможно, на нее воздействуют с помощью лучевой терапии или радиоволнами.
Лечение злокачественной шванномы проводится хирургическим путем – новообразование иссекают по примеру лечения саркомы мягкой ткани. Лекарственная или лучевая терапия в этом случае неэффективна.
Прогноз лечения достаточно благоприятен. В случае доброкачественного новообразования, человек, как правило, полностью излечивается.

Вопрос-ответ
Что такое шваннома и как она образуется?
Шваннома — это доброкачественная опухоль, возникающая из клеток Шванна, которые образуют миелиновую оболочку нервных волокон. Она может развиваться в любом месте, где есть нервы, и часто проявляется в виде безболезненных образований. Основными факторами, способствующими образованию шванномы, являются генетические предрасположенности и наличие нейрофиброматоза.

Какие методы лечения шванномы существуют?
Лечение шванномы зависит от её размера, расположения и симптоматики. Наиболее распространённым методом является хирургическое удаление опухоли. В некоторых случаях, если шваннома не вызывает симптомов и не растёт, может быть рекомендовано наблюдение. Также в редких случаях может применяться радиотерапия, особенно если опухоль расположена в труднодоступных местах.
Каковы возможные осложнения после удаления шванномы?
После хирургического удаления шванномы возможны осложнения, такие как повреждение окружающих нервов, что может привести к слабости или онемению в области, иннервируемой этим нервом. Также могут возникнуть инфекции, кровотечения или рецидив опухоли. Важно следовать рекомендациям врача и проходить регулярные обследования для мониторинга состояния.
Советы
СОВЕТ №1
Обратитесь к врачу при первых симптомах. Если вы заметили необычные образования на коже или в мягких тканях, не откладывайте визит к специалисту. Раннее выявление шванномы может значительно упростить процесс лечения и повысить его эффективность.
СОВЕТ №2
Изучите информацию о шванномах. Понимание природы и особенностей этого заболевания поможет вам лучше подготовиться к общению с врачом и принимать более осознанные решения о лечении. Читайте научные статьи и рекомендации специалистов.
СОВЕТ №3
Обсудите все варианты лечения с врачом. Шванномы могут требовать различных подходов к лечению, включая хирургическое вмешательство или наблюдение. Убедитесь, что вы понимаете все возможные методы и их последствия, прежде чем принимать решение.
СОВЕТ №4
Следите за своим состоянием после лечения. После удаления шванномы важно регулярно проверять место операции и сообщать врачу о любых изменениях. Это поможет избежать возможных осложнений и обеспечить своевременное вмешательство при необходимости.

