Цилиндрома (опухоль Шпиглера, тюрбанная, сирингома волосистой части головы и пр.). Настоящая дерматология до конца не определилась с гистогенезом названного новообразования.
Этиологические факторы
Происхождение опухолевого образования не выяснено. Существует мнение одних исследователей, что это — эккринная опухоль, других — она образуется из апокринных желез и волосяных образований. Существование семейных очагов говорит об аутосомно-доминантном виде наследования.
Цилиндрома — это редкая опухоль, которая чаще всего возникает в области кожи и подлежащих тканей. Врачи отмечают, что данное образование может проявляться в виде безболезненных узелков, которые имеют четкие границы и могут быть различного размера. Симптомы цилиндромы часто включают зуд и покраснение вокруг опухоли, что может вызывать беспокойство у пациентов.
Специалисты подчеркивают, что важно своевременно обратиться к врачу при появлении подобных образований, так как цилиндрома может быть ошибочно принята за другие кожные патологии. Диагностика включает в себя дерматоскопию и, в некоторых случаях, биопсию. Лечение обычно хирургическое, и врачи рекомендуют удалять опухоль полностью, чтобы избежать рецидивов. В целом, при своевременном обращении к специалисту прогноз для пациентов благоприятный.

Симптомокомплекс
Опухоль имеет проявлением по типу солитарных узлов на дермы головной и шейной части, в основном у лиц женского пола после шестидесяти лет. В десятой части заболевших имеет наследование по аутосомно-доминантному типу с разным уровнем пенетрантности.
Одним из основных отличий выступает участие опухоли в качестве составляющего сложных гамартром кожных покровов, имеющих все возможные сочетания:
- трихоэпителиома;
- эккринная спираденома;
- трихоэпителиома — милиум у лиц мужского пола в пределах одной семьи в трех поколениях;
- наследственная множественная цилиндрома — гииерлипидемия 2 вида;
- семейная цилиндрома — трихоэпителиома — милиум — спираденома.
Проявления патологического процесса представлены в виде узловатых структур с ровной плоскостью, розоватого цвета с разными оттенками, консистенция плотная эластическая. В некоторых случаях новообразование располагается почти на всю плоскость головы по типу тюрбана. Крайне редко она может сопровождаться кистозным включением синеватого оттенка.
Патологическому процессу свойственно медленное формирование солитарных опухолеподобных структур, в основном у лиц женского пола в молодом возрасте, в части заболевших — в детстве. Образование округлое, плотное тактильно, имеет резкое возвышение над кожной поверхностью, разных размеров – от каштана до помидора. Соединяясь друг с другом, формируют конгломераты, которые покрывают иногда всю плоскость волосистой части (тюрбанная). Волосы на дерме над новообразованием отсутствуют, имеют и слабо-, и ярко розовый оттенок. Большие и старые элементы пронизываются телеангиэктазиями. Новообразования располагаются в основном на волосистой части и лице, редкими местами локализации являются другие участки туловища, в том числе и нижние конечности.
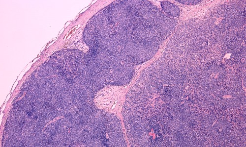
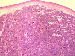
Гистологические данные
В коже наблюдаются многочисленные папилломы и очаги из клеток, подобных клеткам базального слоя, в которых имеется гиалин, или окружены оболочкой из последнего. Внутри сформированного очага содержатся клетки двух вариантов:
- в центральной части располагаются клеточки со светлыми ядром овальных форм;
- на периферических участках располагаются клеточки в виде полисада с более мелкими величинами и ядрами с темным оттенком.
Цилиндром — это заболевание, которое вызывает множество обсуждений среди людей, сталкивающихся с его симптомами. Многие отмечают, что основным признаком является резкая боль в области пораженного органа, которая может усиливаться при движении. Часто пациенты жалуются на отечность и ограничение подвижности, что значительно ухудшает качество жизни. Важно отметить, что симптомы могут варьироваться в зависимости от стадии заболевания. Некоторые люди сообщают о чувстве усталости и общей слабости, что также может указывать на наличие воспалительного процесса. Врачи подчеркивают, что ранняя диагностика и своевременное лечение играют ключевую роль в успешной терапии. Обсуждения на форумах показывают, что многие ищут советы по облегчению симптомов, делясь личным опытом и рекомендациями.

Патоморфологические данные
Основная локализация – собственно дерма и ниже расположенная ткань. Эпидермис над новообразованием истончается, сглаживаются междусосочковые выросты. Устроена из долек разной величины, круглой формы, двух типов клеток:
- в центре — с большими ядрами и широким цитоплазматическим слоем;
- по периферии — с небольшими ядрами и цитоплазматическим слоем, в некоторых случаях формирующие палисахаридные образования.
Долька окружена широким эозинофильными гиалинонообразным отложением, которое представлено веществом размноженной базальной мембраны и создает ей подобие «цилиндров». В определенных вариантах такие отложения визуализируются внутри дольки между клетками новообразования. Структуры из протоков иногда обеспечены просветом, который ограничен призматическими клетками, содержащими эозинофильную цитоплазму. Иногда на люминальной плоскости имеется кутикула.
В редких случаях протоки расширяются, формируя кистозные образования. Наблюдаются очаги ороговения и фолликулярного диффереренцирования. Строма новообразования в некоторых случаях содержит большой объем муцина с гиалуроном. В эозинофильном веществе, которое оформляет дольку и размещается внутри ее, имеются составляющие базальной мембраны — коллаген 4 и 5 видов, ламинин, протеогликаны, фибронектин.
Эозинофильный компонент новообразования имеет «+» PAS-реакцию и устойчивость к диастазе. При исследовании культуры отмечается продуцирование эпителием мембраноподобного вещества.
По причине преимущественного содержания тех или иных образований классифицируют 4 морфологических вида опухоли:
- недифференцированный;
- гидраденоматозный;
- трихоэпителиоматозный;
- смешанный.
Гистогенетические данные
Во всемирной гистологической классификации цилиндрома отнесена в разряд доброкачественных эккринных и апокриновых новообразований. С помощью электронных микроскопических исследований в ней определяют 2 типа клеток: недифференцированные базальные с маленькими ядрами темных оттенков и с большими яркими ядрами. Большая часть их визуально имеет определенную степень незрелости. Секретирующие клетки имеют гранулы эккринных желез, но связь их с фолликулами волос говорит об апокринном дифференцировании.

Дифференциальное диагностирование и лечение
Патологический процесс следует проводить дифдиагностику с базалиомой, дерматофибросаркомой, липоматозом.
Большие новообразования подвергаются удалению оперативным способом, в некоторых случаях используют пластические методы, криодеструкцию.
Вопрос-ответ
Что такое цилиндрома и как она развивается?
Цилиндрома — это доброкачественная опухоль, которая возникает из потовых желез, чаще всего на коже головы и шеи. Она развивается из-за аномального роста клеток, что может быть связано с генетическими факторами или повреждением кожи. Обычно цилиндрома проявляется в виде медленно растущих узлов, которые могут быть болезненными или безболезненными.
Какие симптомы могут указывать на наличие цилиндромы?
Симптомы цилиндромы включают появление плотного, подвижного узла на коже, который может иметь синеватый или красноватый оттенок. Узел может быть болезненным при нажатии и иногда выделять гной или кровянистую жидкость. Важно отметить, что цилиндрома может не вызывать никаких симптомов на ранних стадиях, поэтому регулярные осмотры кожи важны для раннего выявления.
Как осуществляется диагностика и лечение цилиндромы?
Диагностика цилиндромы обычно включает физический осмотр и, при необходимости, биопсию для подтверждения доброкачественного характера опухоли. Лечение может варьироваться от наблюдения за ростом опухоли до хирургического удаления, особенно если цилиндрома вызывает дискомфорт или эстетические проблемы. Важно проконсультироваться с дерматологом для определения наилучшего подхода к лечению.
Советы
СОВЕТ №1
Обратите внимание на ранние симптомы. Цилиндрома может проявляться различными признаками, такими как боли в области головы, головокружение или изменения в зрении. Если вы заметили у себя подобные симптомы, не откладывайте визит к врачу.
СОВЕТ №2
Регулярно проходите медицинские обследования. Профилактика и ранняя диагностика играют ключевую роль в лечении цилиндромы. Обязательно посещайте врача для регулярных проверок, особенно если у вас есть предрасположенность к опухолям.
СОВЕТ №3
Изучите информацию о методах лечения. Цилиндрома может требовать различных подходов к лечению, включая хирургическое вмешательство и радиотерапию. Ознакомьтесь с возможными вариантами и обсудите их с вашим лечащим врачом.
СОВЕТ №4
Поддерживайте здоровый образ жизни. Правильное питание, регулярные физические нагрузки и отказ от вредных привычек могут помочь укрепить иммунную систему и снизить риск развития опухолей, включая цилиндрому.


