Колено – один из самых сложных суставов, и одновременно самое уязвимое место в организме человека. О таких заболеваниях, как артрит или дисплазия, знают многие, а вот о том, что сегодня не менее распространена и такая патология, как суставная мышь, знают далеко не все. А ведь этот диагноз ставится не менее часто.
В связи с этим особого внимания к себе требуют болевые ощущения в колене, которые могут начаться совершенно внезапно и также внезапно прекратиться, а потом появиться снова. Именно такой симптом является важным диагностическим аспектом при выявлении этой болезни.
Немного анатомии
Что такое суставная мышь коленного сустава? Это осколок, который плавно передвигается по суставу. Причём это не обязательно может быть частичка костной ткани. В некоторых случаях это может быть затвердевший фибриновый сгусток или частичка мениска.
Эта передвигающаяся частица время от времени задевает подвижные поверхности. Именно эти перемещения и вызывают сильную боль в колене. Причём размеры этого осколка могут быть самыми разными – начиная от рисового зёрнышка и заканчивая размером сливы.
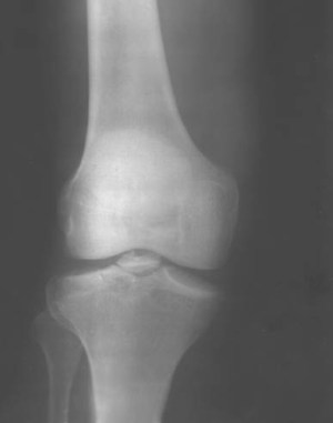
На рентгенограмме чаще всего отмечается один осколок, хотя в некоторых случаях их может быть до 7, хотя такое встречается очень редко.
Бояться этой патологии не стоит, так как при своевременном обращении к врачу она легко вылечивается.
Суставная мышь — это фрагмент хрящевой или костной ткани, который может свободно перемещаться в суставной полости. Врачи отмечают, что данное состояние часто возникает в результате травм или дегенеративных заболеваний суставов, таких как остеоартрит. При наличии суставной мыши пациенты могут испытывать боль, ограничение подвижности и щелчки в суставе. Важно, что такие симптомы могут быть схожи с другими патологиями, поэтому диагностика требует внимательного подхода. Врачи рекомендуют проводить обследования, включая МРТ, для точного определения наличия суставной мышцы и ее влияния на здоровье пациента. Лечение может варьироваться от консервативных методов, таких как физиотерапия, до хирургического вмешательства для удаления свободного тела.

Почему появляется
Что может стать причиной появления этого состояния? Чаще всего данная проблема появляется после ушиба, хотя такое бывает далеко не всегда. Среди других причин стоит отметить:
- Артрит.
- Деформирующий артроз.
- Остеохондрит.
- Болезнь Кенига.
- Гемартроз.
При этом в суставах начинается воспалительный процесс, приводящий к отторжению частиц и формированию капсулы, которая и вызывает патологию.
Как выявить патологию
Клиническая картина суставной мыши коленного сустава долго остаётся без каких-либо симптомов и признаков. А это значит, что размер образования может достичь довольно внушительного размера. Именно поэтому при первых же проявлениях боли в колене пациент обязательно должен обратиться к врачу, чтобы понять, в чём причина этих неприятных ощущений.
Все симптомы данной патологии можно разделить на несколько групп.
- Человек не чувствует каких-либо болевых ощущений и продолжает жить своей обычной жизнью. Обнаружить осколок можно только при помощи тщательного прощупывания определённой области колена.
- Сильные боли и некоторое нарушение подвижности возникает только тогда, когда осколок во время своего передвижения смог заблокировать весь сустав. Но такая боль непостоянна, появляется только при смене положения тела и при ходьбе. Причём появляется она совершено неожиданно и также неожиданно пропадает.
- Блокирование колена опасно своими осложнениями – сильнейшим отёком и воспалительным процессом. К тому же возникает серьёзное повреждение хрящевой ткани, так как двигать ногой в колене человек просто не в состоянии.
Очень часто такое состояние принимается за какое-то другое заболевание, особенно в случае, когда боли в колене появились после травмы. Так, например, некоторые списывают это на сильный ушиб, растяжение связок и другие мелочи. Но такая невнимательность нередко приводит довольно тяжёлым последствиям. Поэтому при обследовании очень важно не только сделать рентгенологическое исследование, но и тщательно собрать анамнез жизни пациента и предшествующей болям травмы. Причём проявляться данная проблема может и в локтевом суставе.
Суставная мышь — это уникальное устройство, которое привлекает внимание пользователей благодаря своей оригинальной конструкции и функциональности. Многие отмечают, что она идеально подходит для людей, страдающих от болей в запястьях, так как позволяет избежать неудобных положений рук. Благодаря своей гибкой форме, мышь адаптируется под движения пользователя, что делает работу за компьютером более комфортной.
Некоторые пользователи подчеркивают, что суставная мышь помогает улучшить осанку, так как способствует естественному положению рук. Однако есть и те, кто считает, что привыкание к новому устройству требует времени. В целом, отзывы о суставной мыши в основном положительные, и многие рекомендуют её как отличное решение для тех, кто заботится о здоровье своих суставов.

Хирургическое вмешательство
Лечение суставной мыши только оперативное. Поэтому все консервативные методы, а также народные способы лечения здесь оказываются совершенно бессильны, так как для полного выздоровления необходимо обязательно удалить образовавшейся осколок.
Операция может проводиться двумя разными способами. Первый – это артроскопия, когда удаление отколовшейся частицы производится всего лишь через два небольших отверстия в колене, в которые вставляется артроскоп. Проводится оперативное вмешательство под местной или спинномозговой анестезией, а восстановление занимает всего несколько дней.
Второй способ лечения суставной мыши – это традиционное оперативное вмешательство со вскрытием сустава под общим наркозом. Восстановление в этом случае может занять от нескольких недель до нескольких месяцев.
Именно поэтому специалисты советуют при первых же признаках болевых ощущений в колене обращаться к врачу и обязательно выяснять причину произошедшего.
Вопрос-ответ

Каковы причины появления суставной мыши?
Суставная мышь может возникнуть в результате травмы сустава, воспалительных заболеваний, таких как артрит, или дегенеративных изменений, например, остеоартрита. В этих случаях фрагменты хряща или костной ткани могут отделяться и свободно перемещаться в суставной полости.
Какие симптомы могут указывать на наличие суставной мыши?
Симптомы суставной мыши включают боль в суставе, ограничение подвижности, ощущение «заедания» или «заклинивания» при движении, а также отек и воспаление в области сустава. В некоторых случаях может наблюдаться хруст при движении.
Как диагностируется суставная мышь?
Диагностика суставной мыши обычно включает физический осмотр, а также визуализирующие методы, такие как рентгенография, магнитно-резонансная томография (МРТ) или ультразвуковое исследование. Эти методы помогают выявить наличие свободных фрагментов в суставной полости и оценить состояние окружающих тканей.
Советы
СОВЕТ №1
Изучите анатомию и функции суставов, чтобы лучше понять, как суставная мышь может влиять на ваше здоровье. Знание о том, как работают суставы, поможет вам распознать симптомы и вовремя обратиться к врачу.
СОВЕТ №2
Обратите внимание на свои физические нагрузки и уровень активности. Регулярные упражнения помогут укрепить мышцы вокруг суставов и снизить риск возникновения суставной мыши. Однако избегайте чрезмерных нагрузок, которые могут усугубить проблему.
СОВЕТ №3
Следите за своим питанием. Употребление продуктов, богатых омега-3 жирными кислотами, витаминами и минералами, может поддерживать здоровье суставов. Рассмотрите возможность добавления в рацион рыбы, орехов и свежих овощей.
СОВЕТ №4
Не игнорируйте первые признаки дискомфорта в суставах. Если вы заметили боли, отеки или ограничение подвижности, обратитесь к врачу для диагностики и получения рекомендаций по лечению. Ранняя диагностика может предотвратить серьезные проблемы в будущем.



