Остеогенная саркома – злокачественная опухоль, клетки которой развиваются из костной ткани. Данная опухоль чрезвычайно злокачественная и характеризуется бурным течением и ранним разрастанием метастазов. Рентгенологически саркома подразделяется на остеоплатсическую (склеротическую), остеолитическую и смешанную формы.
Остеогенная саркома может возникать в любом возрасте, но большинство случаев приходится на возраст от 10 до 30 лет, причем, мужчины болеют в 2 раза чаще женщин. Самая распространенная локализация опухоли в трубчатых костях нижних конечностей, реже поражаются плоские и короткие кости. Излюбленное место новообразования – коленный сустав, далее идет бедро, на долю которого приходится 50% всех сарком данного типа. Располагаться опухоль может также в большеберцовой, малоберцовой, локтевой, тазовой, плечевой кости. Череп поражается остеогенной саркомой преимущественно у детей или в старости, как осложнение остеодистрофии.
Причины возникновения заболевания
Причины развития саркомы, как и других онкозаболеваний до конца не изучены. Есть предположение, что подобные раковые опухоли связаны с перенесенными травмами. Однако, установлено, что травма лишь дает толчок скорейшему развитию саркомы, которая уже зарождалась в организме. Остеогенная саркома образуется непосредственно из тканей кости и злокачественно мутирует на уровне клеток.
Среди факторов, риска, повышающих вероятность возникновения остеогенной саркомы:
- быстрое развитие скелета;
- мужской пол;
- молодой возраст 10-30 лет;
- высокий рост;
- рентгеновское облучение;
- травма кости;
- заболевание костей – остеохондромы, болезнь Педжета, наследственные опухолевые синдромы.
Врачи отмечают, что остеогенная саркома, являясь одной из самых распространенных форм злокачественных опухолей костей, проявляется различными симптомами. Наиболее характерными являются боль в пораженной области, отек и ограничение подвижности. Важно, чтобы пациенты обращались к специалистам при первых признаках, так как ранняя диагностика значительно повышает шансы на успешное лечение.
Лечение остеогенной саркомы обычно включает хирургическое вмешательство, химиотерапию и, в некоторых случаях, радиотерапию. Комбинированный подход позволяет не только удалить опухоль, но и снизить риск рецидива. Врачи подчеркивают, что выживаемость пациентов зависит от стадии заболевания на момент диагностики. При раннем выявлении и адекватном лечении пятилетняя выживаемость может достигать 70%. Однако, несмотря на достижения медицины, важно продолжать исследования для улучшения прогнозов и качества жизни пациентов.

Симптомы заболевания
Начало развития опухоли определить вовремя трудно, поэтому так часто люди попадают в больницу с уже запущенными саркомами. Сначала могут появиться тупые боли в области сустава без признаков выпота. Часто это тот сустав, который в прошлом пострадал от травмы. По мере роста образования в процесс вовлекаются соседние ткани и боль увеличивается. Появляются явные утолщения метадиафизарного отдела кости, пастозность тканей, венозная сеточка кожи. В этот период уже явна контрактура сустава, появляется хромота. При прощупывании сустава пациент ощущает сильную болезненность.
В ночное время боли не проходят, не утихают они даже при приеме анальгетиков или фиксации конечности в гипс. Опухоль молниеносно разрастается на соседние ткани, заполняет костномозговой канал, проникает в мышцы, очень рано обширно метастазирует. Гематогенные метастазы проникают в головной мозг, легкие, в кости метастазы наблюдаются очень редко.
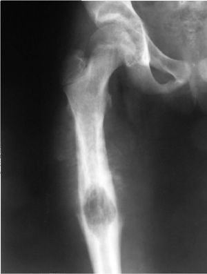
Диагностика
Методы диагностики, применяемые для исследования злокачественного новообразования:
- Рентгенография, в частности с контрастным веществом.
- Компьютерная томография, позволяющая определить степень распространенности опухоли и обнаружить метастазы.
- Магнитно-резонансная томография дает подробную картинку поражения костного мозга и мягких тканей, вплоть до самых мелких локализаций.
Несмотря на такие прогрессивные методы диагностики саркому на начальных стадиях выявить практически невозможно. По одним только симптомам сложно судить о подлинности заболевания. При диагностике остеогенную саркому следует дифференцировать от хондросаркомы, хрящевого экзостоза, эозинофильной гранулемы, остеобластокластомы.
Остеогенная саркома — это редкая, но агрессивная форма рака, чаще всего поражающая подростков и молодых людей. Люди, столкнувшиеся с этой болезнью, часто говорят о первых симптомах, таких как боль в костях, отеки и ограниченная подвижность. Эти проявления могут быть легко проигнорированы, что затрудняет раннюю диагностику. Лечение обычно включает хирургическое вмешательство, химиотерапию и, в некоторых случаях, радиотерапию. Многие пациенты отмечают, что поддержка семьи и друзей играет ключевую роль в их борьбе с болезнью. Выживаемость при остеогенной саркоме зависит от стадии заболевания и успешности лечения, и, несмотря на сложность, многие пациенты делятся историями о своем выздоровлении и надежде на будущее.
Лечение болезни
Лечение состоит из трех стадий:
- Предоперационная химиотерапия применяется для подавления роста метастазов в легких, уменьшения очага опухоли, а также для того, чтобы оценить реакцию опухоли на процедуру.
- Оперативное лечение проводится в обязательном порядке. Если ранее делали обширную операцию, которая включала ампутацию конечности, то сейчас обходятся органосохраняющей операцией, при которой удаляется часть кости и заменяют ее на пластиковый или металлический имплантат.
- Послеоперационная химиотерапия проводится с учетом данных, полученных при химиотерапии, проведенной до операции.
Лучевая терапия при остеогенной саркоме не применяется, поскольку данный вид опухоли малочувствителен к ионизирующему излучению. Радикальное хирургическое вмешательство, позволяющее сохранить конечность возможно в 80% случаев. Прогноз на пятилетнюю выживаемость составляет от 70 до 90%
Вопрос-ответ
Какие основные симптомы остеогенной саркомы?
Основные симптомы остеогенной саркомы включают боль в костях, отек или опухоль в области пораженной кости, ограничение подвижности, а также возможные переломы костей при незначительных травмах. Эти симптомы могут прогрессировать со временем, и важно обратиться к врачу при их появлении.
Как проводится диагностика остеогенной саркомы?
Диагностика остеогенной саркомы обычно включает физический осмотр, рентгенографию, магнитно-резонансную томографию (МРТ) и биопсию пораженной ткани. Эти методы помогают определить наличие опухоли, ее размер и распространение, а также установить точный диагноз.
Каковы прогнозы выживаемости при остеогенной саркоме?
Прогноз выживаемости при остеогенной саркоме зависит от нескольких факторов, включая стадию заболевания, возраст пациента и ответ на лечение. В целом, при ранней диагностике и адекватном лечении, включая химиотерапию и хирургическое вмешательство, пятилетняя выживаемость может составлять около 60-70%.
Советы
СОВЕТ №1
Обратите внимание на ранние симптомы. Остеогенная саркома может проявляться в виде болей в костях, отеков или ограниченной подвижности. Если вы заметили подобные симптомы, не откладывайте визит к врачу для диагностики.
СОВЕТ №2
Изучите варианты лечения. Остеогенная саркома обычно требует комплексного подхода, включающего хирургическое вмешательство, химиотерапию и радиотерапию. Обсудите с вашим врачом все доступные варианты и их возможные побочные эффекты.
СОВЕТ №3
Поддерживайте связь с медицинскими специалистами. Регулярные обследования и консультации с онкологами, хирургами и другими специалистами помогут вам следить за состоянием и корректировать лечение при необходимости.
СОВЕТ №4
Не забывайте о психологической поддержке. Диагноз остеогенной саркомы может быть эмоционально тяжелым. Рассмотрите возможность обращения к психологу или участию в группах поддержки, чтобы поделиться своими переживаниями и получить помощь.


