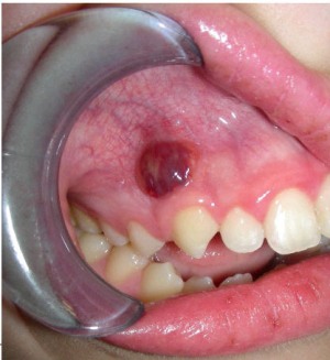
Мы очень редко сталкиваемся с таким термином, как периостит, и не догадываемся, что оказывается это всем нам известный или лично, или понаслышке флюс. Это воспаление надкостницы зуба, когда происходит нагноение и гной очень быстро распространяется на близлежащие ткани. Поэтому очень важно вовремя выявить опасность и сразу же обратиться к стоматологу.
Что это такое и каковы симптомы?
Острое воспаление надкостницы носит название одонтогенный периостит. Происхождение заболевания именно одонтогенное, поскольку причиной острого гнойного воспаления является зуб. Обычно флюс возникает на фоне не пролеченного периодонтита. Иногда инфекция проникает в челюсть с кровью из других инфекционных очагов.
Симптомы флюса: нестерпимая зубная боль и опухание в очаге воспаления вплоть до значительного увеличения щеки. Для устранения этих признаков проводят хирургическое вмешательство.
Начинается острый процесс в наружном или внутреннем слоях надкостницы. В связи с тем, что между челюстной костью и надкостницей существует тесная взаимосвязь, воспалительный процесс быстро может распространяться на другие ткани, вызывая остеопериостит.
Врачи отмечают, что периостит, воспаление надкостницы, может проявляться различными симптомами, включая боль, отек и покраснение в области пораженной кости. Часто пациенты жалуются на усиление боли при движении или нажатии. Важно отметить, что своевременная диагностика и лечение играют ключевую роль в предотвращении осложнений. Врач может рекомендовать рентгенографию или МРТ для уточнения диагноза. Лечение обычно включает противовоспалительные препараты, физиотерапию и, в некоторых случаях, антибиотики, если имеется инфекционная природа воспаления. Важно, чтобы пациенты следовали рекомендациям специалистов и не занимались самолечением, так как это может усугубить состояние. Регулярные контрольные осмотры помогут избежать рецидивов и обеспечить полное восстановление.

Виды периостита
Острый периостит бывает серозным, гнойным и хроническим.
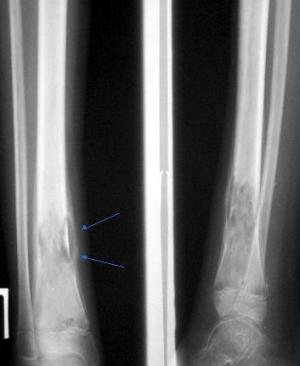
- Острый серозный флюс развивается за 1-3 дня, мягкие ткани отекают. Локализация флюса зависит от расположения больного зуба, а величина зависит от сосудов надкостницы. Развивается серозный вид в результате ушибов и переломов. Воспаление быстро стихает и приводит в ряде случаев к образованию фиброзных наростов и отложению кальциевых солей. Может образовываться новая костная ткань — оссифицирующий периостит.
- Острый гнойный флюс выявляет себя острыми пульсирующими болями, иррадирующими в глаз, висок, ухо. Слизистая оболочка краснеет и отекает, а также повышается температура до 38,5оС. В процессе развития гнойного содержимого симптомы периостита только усиливаются. Причинами заболевания также могут быть открытые переломы на других костях, а не только челюстной. Гнойное воспаление может случиться при варикозном расширении вен, трофических язвах голени, слоновости, тромбофлебитах. Кроме того, причинами острых и хронических воспалений надкостниц голени могут стать разрывы сухожилий, аллергические воспаления, ревматизм, воздействие токсинов.
- Диффузный. Симптомы – сильная боль, интоксикация, повышенная температура до 38оС, потеря аппетита. Периостит на нижней челюсти развивается сложнее. Локализация воспаления и отечность зависят от местоположения больного зуба.
- Хронический флюс бывает намного реже остальных. Отек плотный, искажающий черты лица. Кость в месте воспаления утолщается, происходит увеличение лимфатических узлов, слизистая отечная и красная. Хроническая форма протекает на протяжении нескольких месяцев с периодическими обострениями.
Периостит — это воспаление надкостницы, которое может вызывать значительный дискомфорт. Люди часто описывают симптомы как резкую боль в области пораженной кости, которая усиливается при движении или нажатии. Некоторые отмечают отек и покраснение кожи, а также повышение температуры в зоне воспаления. Важно, что при отсутствии своевременного лечения периостит может привести к более серьезным осложнениям.
Что касается лечения, многие пациенты делятся положительным опытом использования противовоспалительных препаратов и физиотерапии. Врачебные рекомендации часто включают покой и ограничение физической активности. В тяжелых случаях может потребоваться хирургическое вмешательство для удаления гноя или некротических тканей. Однако большинство людей отмечают, что при правильном подходе к лечению симптомы быстро проходят, и восстановление происходит в короткие сроки.
Лечение заболевания
Лечение одонтогенного флюса зависит от течения болезни и степени ее тяжести. При остром серозном флюсе достаточно удалить нерв больного зуба, промыть открытую рану антисептиками и антибиотиками. При наличии гнойного периостита к лечению добавляют физиопроцедуры, при хроническом флюсе первопричинный зуб удаляют.
Консервативное лечение предполагает использование антибактериальных и антигистаминных препаратов, препараты кальция и витамины. Если лечение начато вовремя, то полностью вылечить флюс можно за 3-5 дней. В случае неоказания медицинской помощи повышается риск развития на десне свища и проникновение гноя в близлежащие ткани с формированием абсцесса и флегмоны.
Поэтому медлить и бояться посетить стоматолога нельзя, как нельзя что-то предпринимать самостоятельно. Только врач способен решить такую проблему! Чтобы не допустить до развития периостита необходимо тщательно ухаживать за ротовой полостью и систематически проходить осмотр у стоматолога.

Вопрос-ответ
Каковы основные симптомы периостита?
Основные симптомы периостита включают боль в области пораженной кости, отек, покраснение кожи, а также возможное повышение температуры в месте воспаления. Боль может усиливаться при движении или нажатии на пораженную область.

Какие методы лечения применяются при периостите?
Лечение периостита может включать консервативные методы, такие как применение противовоспалительных препаратов, физиотерапия и покой. В более тяжелых случаях может потребоваться хирургическое вмешательство для удаления гноя или пораженной ткани.
Как долго длится восстановление после лечения периостита?
Время восстановления после лечения периостита зависит от степени тяжести заболевания и выбранного метода лечения. Обычно процесс может занять от нескольких недель до нескольких месяцев, при этом важно соблюдать рекомендации врача и проходить реабилитацию.
Советы
СОВЕТ №1
Обратите внимание на ранние симптомы периостита, такие как боль и отек в области пораженной кости. Если вы заметили эти признаки, не откладывайте визит к врачу, так как ранняя диагностика может предотвратить осложнения.
СОВЕТ №2
Следуйте рекомендациям врача по лечению. Обычно лечение включает в себя покой, применение противовоспалительных средств и, в некоторых случаях, физиотерапию. Не занимайтесь самолечением, так как это может усугубить состояние.
СОВЕТ №3
Убедитесь, что вы правильно питаетесь и получаете достаточное количество витаминов и минералов, особенно кальция и витамина D, которые способствуют восстановлению костной ткани. Здоровое питание поможет вашему организму быстрее справиться с заболеванием.
СОВЕТ №4
После выздоровления не забывайте о профилактике. Укрепляйте мышцы и суставы с помощью регулярных физических упражнений, избегайте перегрузок и следите за техникой выполнения упражнений, чтобы снизить риск повторного возникновения периостита.


