Мелореостоз – редкое заболевание, при котором костная структура одной или нескольких костей резко становится плотнее. Чаще всего от этой патологии страдают ноги или руки.
Впервые это заболевание описал невропатолог Лери и Жоанни, поэтому иногда его называют «болезнью Лери».
В организме по невыясненным причинам костное вещество начинает вырабатывать в избыточном количестве. Проведенные исследования не смогли окончательно выяснить механизм развития этой патологии. Есть предположения о наследственной природе заболевания.
Природа заболевания
Под микроскопом процесс выглядит как уплощение кости, которое локализуется на длинных трубчатых костях (плечевой, бедренной, большеберцовой и т.п.) и как будто стекает верху вниз, образуя при этом напластования, похожие на наплывы горящей свечки.
При гистологическом исследовании в зоне напластований находят неравномерную величину каналов остеонов, в котором структуры сформированы неправильно. Остеоциты отличаются разной формой и размерами, по системе остеона распределены беспорядочно. У больного в этом месте отмечают новообразование костного вещества, а также то, что линии склеивания расположены неравномерно. В субпериостальных отделах замечают слабо выраженную гладкую резорбцию кости.
Некоторые ученые относят мелореостоз к типу врожденных тканевых дисплазий из-за того, что обычно патология начинает развиваться в детстве, и точная локализация указывает на патологии развития мезенхимы.
Теорию о диспластической природе болезни, говорят несоответствия между процессами образования костей и замедленным рассасыванием. Недостаточную смену костных образований, которые необходимы для нормального моделирования органа кости свидетельствует также множество трещин в костных пластинах.
Мелореостоз — редкое заболевание, характеризующееся аномальным разрастанием костной ткани, что может приводить к болевым ощущениям и ограничению подвижности. Врачи отмечают, что симптомы заболевания могут варьироваться от легкой боли до значительных деформаций костей. Наиболее распространенные проявления включают боль в конечностях, отечность и изменения в форме костей.
Лечение мелореостоза, по мнению специалистов, должно быть комплексным. Врачами рекомендуются противовоспалительные препараты для облегчения болевого синдрома, а также физиотерапия для улучшения функции суставов и мышц. В некоторых случаях может потребоваться хирургическое вмешательство для коррекции деформаций. Важно, чтобы пациенты находились под наблюдением специалистов, так как заболевание может прогрессировать. Раннее выявление и адекватное лечение помогут улучшить качество жизни пациентов и снизить риск осложнений.

Симптомы
Больные жалуются на боли тупого характера, которые становятся сильнее в ночное время. Также интенсивность боли зависит от нагрузки на пораженный отдел конечности. Они могут проявляться не только в этом месте, но и передаваться в другие сегменты, особенно, если сдавливаются кровеносные сосуды или нервы.
Молодые люди с этим симптомов часто отмечают характерные ощущения тяжести и слабости в этой конечности, мышцы на ней атрофируются и не работают в полную силу. Постепенно ограничивается в подвижности сустав.
Если случай очень запущенный, у больного находят склеродермии, а также существенные деформации конечности.
С возрастом симптомы усиливаются.
Диагностика
Большой проблемой является то, что начало развития заболевания обычно никак не проявляется. Это часто путают с другими нарушениями.
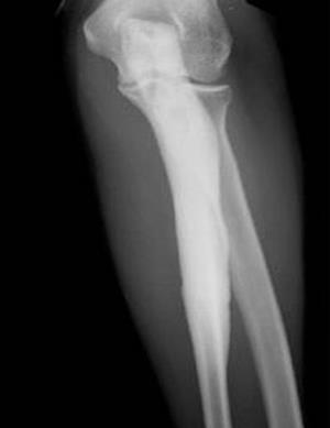
Диагноз можно точно поставить только с помощью рентгена. На нем видны участки, на которых кость сильно уплотнена. К тому же характерна форма таких образований – «стекающая».
Чаще поражаются короткие и длинные, а также мелкие кости руки и ноги. Иногда затрагиваются лопатки или кости таза. Уплотнение обычно не затрагивает всю кость, а только отдельные ее участки.
Также у больного часто отмечают гиперостоз кости.
Дифференциальный анализ проводят с гуммозным остеомиелитом, мраморной болезнью, фиброзной дисплазией.
Мелореостоз — редкое заболевание, которое вызывает аномальный рост костной ткани. Люди, столкнувшиеся с этой проблемой, часто описывают симптомы как болезненные и ограничивающие. Основные проявления включают боль в пораженных участках, деформацию костей и ограничение подвижности. Многие пациенты отмечают, что симптомы могут варьироваться по интенсивности, что затрудняет диагностику.
Что касается лечения, то подходы могут быть различными. Некоторые пациенты получают облегчение от болей с помощью противовоспалительных препаратов, в то время как другие обращаются к физиотерапии для улучшения функции суставов. В редких случаях может потребоваться хирургическое вмешательство для коррекции деформаций. Однако, несмотря на разнообразие методов, универсального решения для мелореостоза не существует, и каждый случай требует индивидуального подхода. Важно, чтобы пациенты находились под наблюдением специалистов, что позволяет адаптировать лечение в зависимости от прогрессирования заболевания.

Лечение
Полностью избавиться от этой патологии пока невозможно. Лечение заключается в том, чтобы убрать неприятные симптомы. В некоторых случаях возможно проведение операции.
При развитии конечность может потерять ряд функций, однако для жизни явной опасности нет.
Вопрос-ответ

Что такое мелореостоз и каковы его основные симптомы?
Мелореостоз — это редкое заболевание, характеризующееся аномальным разрастанием костной ткани, которое может вызывать деформации и боли в пораженных областях. Основные симптомы включают локализованную боль, ограничение подвижности в суставах, а также видимые изменения в форме костей, такие как утолщение или искривление.
Как диагностируется мелореостоз?
Диагностика мелореостоза обычно начинается с клинического осмотра и сбора анамнеза. Врач может назначить рентгенографию, которая покажет характерные изменения в костной ткани. Также могут использоваться МРТ или КТ для более детального изучения состояния костей и мягких тканей.
Какие методы лечения применяются при мелореостозе?
Лечение мелореостоза в основном симптоматическое и направлено на облегчение боли и улучшение качества жизни пациента. Это может включать физиотерапию, применение обезболивающих и противовоспалительных препаратов. В некоторых случаях может потребоваться хирургическое вмешательство для коррекции деформаций или устранения болевого синдрома.
Советы
СОВЕТ №1
Обратите внимание на ранние симптомы. Мелореостоз может проявляться в виде боли в костях, ограниченной подвижности и изменений в коже. Если вы заметили подобные симптомы, не откладывайте визит к врачу для диагностики и получения рекомендаций.
СОВЕТ №2
Регулярно проходите обследования. Поскольку мелореостоз может прогрессировать, важно регулярно проверять состояние костей и мягких тканей с помощью рентгенографии или МРТ. Это поможет выявить изменения на ранней стадии и своевременно начать лечение.
СОВЕТ №3
Следите за своим образом жизни. Поддержание здорового питания, регулярные физические упражнения и отказ от вредных привычек могут помочь улучшить общее состояние организма и снизить риск осложнений, связанных с мелореостозом.
СОВЕТ №4
Обсуждайте свои симптомы с врачом. Открытое общение с медицинским специалистом поможет вам лучше понять свое состояние и выбрать наиболее подходящие методы лечения, включая медикаментозную терапию и физиотерапию.


