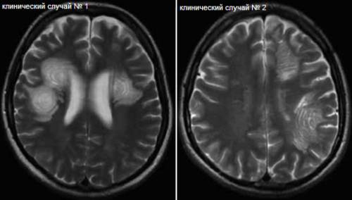
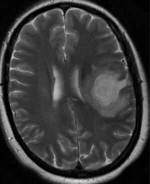
Концентрический склероз – это острая форма рассеянного склероза, которая характеризуется специфическим течением и отличается многослойным концентрическим строением демиелинизированных участков в головном мозге.
В белом веществе образуются участки разрушения миелина, которые приобретают форму колец и завитков.
Концентрический склероз Бало считается очень редкой формой рассеянного склероза, который поражает молодых людей и отличается быстрым развитием.
Причины
Почему у человека начинает развиваться это заболевание, ученые до конца точно не определили. Говорят, что это зависит от нескольких факторов одновременно:
- наследственность;
- перенесенное инфекционное заболевание.
При наблюдении часто отмечали, что вирусы могут стимулировать начало патологических процессов. Особенно это касается нейротропных вирусов герпеса 6 типа.
Говорят о том, что процессы, которые запускают развитие патологии, отличаются от тех, что начинают другие формы рассеянного склероза. Среди наиболее вероятных выделяют гипоксические механизмы, хотя что вызывает такую реакцию также до конца не выявлено.
По морфологическому строению демиелинезированные участки похожи на чередование зон без миелина и церебральной ткани с восстановленным или сохраненным миелином.
При исследовании под микроскопом видна глубокая дегенерация олигодероцитов, которая приводит к саморазрушению.
Врачи отмечают, что концентрический склероз, также известный как склерозирующий холангит, проявляется разнообразными симптомами, включая желтуху, зуд кожи и боли в правом подреберье. Эти признаки могут указывать на поражение желчных протоков и требуют внимательного наблюдения. Специалисты подчеркивают важность ранней диагностики, так как это заболевание может привести к серьезным осложнениям, включая цирроз печени. Лечение концентрического склероза часто включает медикаментозную терапию для облегчения симптомов и замедления прогрессирования болезни. В некоторых случаях может потребоваться хирургическое вмешательство, например, стентирование желчных протоков. Врачи рекомендуют регулярные обследования и консультации с гепатологами для оптимального контроля состояния пациента.

Симптомы
Начало развития болезни приходится на молодой возраст. Часто в анамнезе больного есть указание на недавно перенесенную инфекционную болезнь или сильный стресс. Из наиболее явных первичных симптомов можно назвать:
- головную боль;
- тошноту;
- вторичную генерализованную эпилепсию;
- астению.
Среди других симптомов можно выделить признаки поражения пирамидных трактов, которые проявляются спастическими парезами, выпадением чувствительности, стопными рефлексами, гиперкинезами и т.п.
Часто у больных отмечают:
- мозжечковую атаксию (которая вызывает шаткость, дискоординацию и т.п.);
- нарушения когнитивных функций (плохую память, амнестическую афазию, деменцию);
- расстройства психологического состояния (депрессия, эйфория, невроз и т.п.);
- нарушения зрения.
У разных пациентов проявления могут начинать с разных признаков.
Диагностика
Врачи проводят неврологические исследования, а также оценивают когнитивные функции. Проводится РЭГ, Эхо-энцефалография, электроэнцефалография. Также осмотр проводит офтальмолог. Может быть выявлено снижение остроты зрения, гемианопсии, отек диска, атрофия зрительного нерва и т.п.
Также больному делают люмбальную пункцию, чтобы исследовать цереброспинальную жидкость. Она должна показать лимфоцитарный плеоцитоз и др.
МРТ головного мозга позволяет определить наличие заболевания еще при жизни.
Концентрический склероз, хотя и является редким заболеванием, вызывает много обсуждений среди пациентов и врачей. Люди, столкнувшиеся с этой проблемой, часто описывают симптомы как постепенно нарастающие: от незначительных нарушений зрения до серьезных проблем с координацией. Многие отмечают, что лечение требует индивидуального подхода, и важно учитывать не только физическое состояние, но и психологический аспект. Некоторые пациенты делятся положительным опытом от применения новых методов терапии, таких как иммунотерапия и физиотерапия. В то же время, другие выражают недовольство по поводу недостатка информации и поддержки со стороны медицинских учреждений. В целом, обсуждения вокруг концентрического склероза подчеркивают необходимость повышения осведомленности о заболевании и улучшения доступа к качественной медицинской помощи.

Лечение
Лечение проводится так же, как для рассеянного склероза в острой форме. Для этого используют глюкокортикостероиды. Лечение могут начинать с пульс-терапии метилпреднизолоном.
Также иногда используют кортикостероиды с митксантроном. Чтобы поддержать функции церебральных тканей использую цитопротекторы, тиоктовую кислоту и т.п.
Если необходимо назначают препараты, снижающие отек.
При наличии судорог, прописывают антиконвульсанты. Иногда проводят дискретный плазмаферез. Чтобы убрать контрактуры суставов используют комплексы ЛФК и массажи.
Это заболевание относится к неблагоприятным для лечения видом и отличается очень быстрым течением. В большинстве случаев человек умирает через год-два после начала проявления симптомов. Только в паре случаев отмечалось улучшение состояния больного после интенсивной терапии глюкокортикостероидами.
Вопрос-ответ

Какие основные симптомы концентрического склероза?
Основные симптомы концентрического склероза могут включать ухудшение зрения, появление болей в глазах, а также возможные изменения в восприятии цвета. Пациенты могут также испытывать головные боли и общее чувство усталости. Важно отметить, что симптомы могут варьироваться в зависимости от стадии заболевания.
Как проводится диагностика концентрического склероза?
Диагностика концентрического склероза обычно включает в себя комплексное обследование, которое может включать офтальмологическое обследование, магнитно-резонансную томографию (МРТ) и анализы крови для исключения других заболеваний. Врач также может провести тесты на зрительные функции и оценить общее состояние пациента.
Какие методы лечения применяются при концентрическом склерозе?
Лечение концентрического склероза может включать медикаментозную терапию, направленную на снижение воспаления и улучшение состояния зрительных функций. В некоторых случаях могут быть рекомендованы физиотерапия и специальные упражнения для глаз. Важно, чтобы лечение назначалось индивидуально, в зависимости от состояния пациента и стадии заболевания.
Советы
СОВЕТ №1
Обратите внимание на ранние симптомы. Концентрический склероз может проявляться в виде изменения зрения, головной боли или слабости в конечностях. Если вы заметили у себя подобные признаки, не откладывайте визит к врачу для диагностики и начала лечения.
СОВЕТ №2
Следите за своим образом жизни. Регулярные физические нагрузки, сбалансированное питание и отказ от вредных привычек могут помочь улучшить общее состояние организма и снизить риск обострений заболевания.
СОВЕТ №3
Не пренебрегайте психологической поддержкой. Концентрический склероз может вызывать не только физические, но и эмоциональные трудности. Общение с психологом или участие в группах поддержки может помочь справиться с тревогой и депрессией, связанными с заболеванием.


