Болезнь Горхема – это патология, которую также называют массовым остеолизом. Это очень редкая болезнь, при которой отмечают прогрессирующую потерю костной ткани и разрастаний лимфатических сосудов. Обычно эта патология поражает ребра, таз, позвоночник, а также ключицы, челюсти и череп. При первых признаках больной чувствует боль и опухлость в пораженной зоне. Костная масса уменьшается и постепенно разрушается. У некоторых эти повреждения незначительны, другие становятся инвалидами.
Это заболевание поражает в первую очередь кости, но может затронуть и внутренние органы. У некоторых пациентов диагностирую мультифокальные лимфатические пороки развития, которые представляют собой массы, состоящие из каналов и пространств, заполненных жидкостями, доброкачественного характера. Лимфатические узлы расположены по всему телу: в подмышках, области шеи, локтях, животе, паху, в груди, поэтому их поражение может повлиять практически на любой орган.
Чаще других поражает детей или взрослых до 40-ка лет. Мужчины страдают от него чаще, чем женщины.
Причины
Почему у человека может развиться болезнь Горхема до сих пор точно не выяснено. Установлено, что заболевание не связано с мутированием генов. Ученые не установили взаимосвязи с внешними факторами, иммунной системой и т.п.
Практически всегда болезнь возникала внезапно без каких-либо явных факторов.
Также практически не изучены процессы распространения патологического процесса. Однако, было обнаружено, что некоторые особые факторы роста (например, эндотелия сосудов VEGF) имеют влияние на переход тканей лимфатических сосудов в кости.
Некоторые ученые высказывают теории о влиянии на процесс проблем с циркуляцией крови, которые могут вызвать гипоксию в некоторых частях кости и изменению ее pH.
Также высказывают предположения о травматической природе заболевания.
Врачи отмечают, что болезнь Горхема, также известная как «болезнь разрежения костей», проявляется разнообразными симптомами, включая боль в костях, отеки и повышенную ломкость. Эти проявления могут значительно ухудшить качество жизни пациента. Специалисты подчеркивают важность ранней диагностики, так как это позволяет начать лечение на ранних стадиях заболевания. В качестве терапевтических мер врачи рекомендуют использование медикаментов, направленных на укрепление костной ткани, а также физиотерапию для улучшения подвижности. В некоторых случаях может потребоваться хирургическое вмешательство для коррекции деформаций. Важно, чтобы пациенты находились под наблюдением специалистов, так как индивидуальный подход к лечению способствует более эффективному управлению заболеванием и снижению риска осложнений.

Симптомы
Симптомы и проявления болезни Горхема могут быть разными и зависят от того, какую часть тела поразил патологический процесс. Скорость потери костной массы может быть разной и практически непредсказуема. Обычно прогрессирует медленно, иногда даже бывали случаи, когда она останавливалась просто так или происходила полная ремиссия. Но в ряде случаев кости разрушались полностью. При этой болезни костная ткань не способная самостоятельно восстанавливаться как у здоровых людей. Это место будет заменяться фиброзной соединительной тканью, но это не помогает восстановлению.
Иногда патология поражает только одну кость, а у некоторых больных она разрушает сразу несколько костей, и расположенные рядом мягкие ткани.
Если болезнь затронула череп и челюсти, у человека будут проявляться боли, выпадать зубы, разовьется уродство. Если страдает позвоночник, может возникнуть паралич и хронические острые боли. При поражении грудной клетки может быть хилоторакс, который вызывает отдышку, боли, учащенное дыхание, недостаточность.
Болезнь Горхема, также известная как «болезнь разрастающегося костного мозга», вызывает множество обсуждений среди пациентов и медицинских специалистов. Люди, столкнувшиеся с этой редкой патологией, отмечают, что симптомы могут варьироваться от болей в костях до значительного уменьшения плотности костной ткани. Многие пациенты описывают чувство неопределенности и страха из-за недостатка информации о заболевании и его последствиях.
Лечение болезни Горхема часто включает в себя комплексный подход: от медикаментозной терапии до хирургических вмешательств. Некоторые пациенты делятся положительным опытом использования биологических препаратов, которые помогают замедлить прогрессирование болезни. Однако, несмотря на достижения медицины, многие все еще сталкиваются с трудностями в поиске эффективного лечения и поддерживающей терапии. Важно, чтобы пациенты не теряли надежду и продолжали искать помощь у специалистов, а также общались друг с другом для обмена опытом и поддержкой.
Лечение
На данный момент целенаправленного лечения этого заболевания не придумали. Все меры специалистов направлены на то, чтобы устранить симптомы. Чаще всего используется хирургическое лечение или лучевая терапия.
С помощью операции могут удалить участок кости, которая начала разрушаться, также может быть установлен специальный трансплантат, который стимулирует процесс образования новой кости.
Лучевая терапия эффективна, если человека мучают сильные боли, а также в случае развития хилоторакса.
В качестве экспериментального лечения применяли памидронат и золедроновую кислоту, а также интерферон альфа-2b. Реакция на использование этих веществ отличается у разных пациентов.

Вопрос-ответ
Какие основные симптомы болезни Горхема?
Основные симптомы болезни Горхема включают прогрессирующее уменьшение костной массы, боли в костях, а также возможные деформации скелета. Пациенты могут также испытывать слабость и утомляемость из-за снижения прочности костей.

Как диагностируется болезнь Горхема?
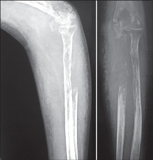
Диагностика болезни Горхема обычно включает рентгенографию, магнитно-резонансную томографию (МРТ) и биопсию костной ткани. Эти методы помогают выявить изменения в костной структуре и исключить другие заболевания, которые могут вызывать подобные симптомы.
Какие методы лечения применяются при болезни Горхема?
Лечение болезни Горхема может включать медикаментозную терапию, направленную на уменьшение боли и замедление потери костной массы, а также физиотерапию для поддержания подвижности. В некоторых случаях может потребоваться хирургическое вмешательство для коррекции деформаций или восстановления поврежденных участков костей.
Советы
СОВЕТ №1
Обратите внимание на ранние симптомы. Болезнь Горхема может проявляться в виде боли в костях, отека и изменения в форме костей. Если вы заметили подобные симптомы, не откладывайте визит к врачу для диагностики.
СОВЕТ №2
Регулярно проходите медицинские обследования. Поскольку болезнь Горхема может прогрессировать, важно регулярно проверять состояние здоровья и следить за изменениями в организме. Это поможет вовремя выявить возможные осложнения.
СОВЕТ №3
Обсудите с врачом варианты лечения. Лечение болезни Горхема может включать медикаментозную терапию, физиотерапию или хирургическое вмешательство. Обсудите с вашим врачом все доступные варианты и выберите наиболее подходящий для вас.
СОВЕТ №4
Поддерживайте здоровый образ жизни. Правильное питание, регулярные физические упражнения и отказ от вредных привычек помогут укрепить иммунную систему и улучшить общее состояние здоровья, что может быть полезно при лечении болезни Горхема.


