Остеосаркома – это опухоль костной ткани. Это один из наиболее часто встречающихся типов злокачественных новообразований на костях. В основном она завивается как первичное заболевание, но иногда может образоваться на фоне хронического остеомиелита.
Протекает быстро и агрессивно, рано дает метастазы. Обычно остеосаркомы образуются на трубчатых длинных костях в области метафиза.
На первых стадиях она проявляется болью в определенном месте, которая похожа на ревматическую. Далее эта область начинает опухать, человек не может нормально двигать скованным суставом. Боли становятся сильнее и образуются метастазы. Лечат это заболевание, удаляя опухоль и проводя химиотерапию.
Раньше практически 90% с этой болезнью умирали, современные методы лечения дают более положительный результат. Примерно 70% могут вылечиться при правильной своевременной терапии.
Эта опухоль чаще развивается у молодых людей. На этот возраст перепадает примерно 60% случаев. У девочек развивается раньше, чем у мальчиков. После 50 лет риск снижается до минимума.
Причины
Причины развития ученые не смогли точно определить. Есть ряд факторов риска, которые стимулируют развитие опухоли. К таким относятся, например, химиотерапия и лучевая терапия, которую могли проводить для лечения других онкологических заболеваний.
Механические повреждения не могут спровоцировать развития. Но определённый риск есть при сложных патологичных переломах.
Иногда она развивается из-за хронического остеомиелита, а также из-за болезни Педжета.
Остеосаркома, как отмечают врачи, является агрессивной формой рака костей, чаще всего встречающейся у подростков и молодых людей. Основные проявления заболевания включают боль в области пораженной кости, отек и ограничение подвижности. Важно отметить, что симптомы могут быть не специфичными, что затрудняет раннюю диагностику. Врачи подчеркивают, что своевременное обращение к специалисту при появлении подозрительных симптомов может существенно повысить шансы на успешное лечение.
Терапия остеосаркомы обычно включает комбинацию хирургического вмешательства и химиотерапии. Хирургическое удаление опухоли является ключевым этапом, а химиотерапия помогает уменьшить размер опухоли и предотвратить метастазы. В последние годы также активно исследуются новые методы лечения, такие как таргетная терапия и иммунотерапия, которые могут предложить дополнительные возможности для пациентов. Врачи настоятельно рекомендуют проводить регулярные обследования и следить за состоянием здоровья, чтобы своевременно выявить возможные рецидивы.

Место развития
Обычным местом образования считаются трубчатые длинные кости. Короткие и плоские поражает примерно в 20%.
Намного чаще поражение касается нижних конечностей. При этом в основном они локализуются в дистальном конце бедренной кости.
Также поражение может затронуть такие кости:
- большеберцовые;
- плечевые;
- тазовые;
- малоберцовые;
- плечевого пояса;
- локтевую;
- черепа.
Как правило остеосаркома любит развиваться в области метафиза, но иногда бывает и в диафизарной части.
Симптомы
Симптомы у взрослых дают о себе знать не сразу. Сначала больной жалуется на боли в области сустава. Они похожи на ревматические, артралгии, миозиты и т.п. при этом в суставе нет выпота.
В процессе роста опухоль начинает доставлять все больше боли, мягкие ткани начинают опухать, а на коже становятся видны флебэктазии. Суставы рядом поражает контрактура.
Увеличивающиеся боли не дают человеку расслабиться и нормально спать. Их нельзя убрать с помощью анальгетиков.
Опухоль растет быстро и затрагивает мягкие ткани, мышцы, костномозговой канал.
Раковые клетки через кровь распространяются по телу и вызывают метастазы
Остеосаркома — это редкая, но агрессивная форма рака, которая чаще всего поражает подростков и молодых людей. Люди, столкнувшиеся с этой болезнью, часто делятся своим опытом, подчеркивая важность ранней диагностики и своевременного лечения. Многие пациенты отмечают, что проявления остеосаркомы, такие как боли в костях, отеки и ограничение подвижности, могут быть легко спутаны с обычными травмами. Это приводит к задержкам в лечении, что негативно сказывается на прогнозах.
Терапия остеосаркомы обычно включает хирургическое вмешательство, химиотерапию и, в некоторых случаях, радиотерапию. Пациенты рассказывают о сложностях, связанных с восстановлением после операций и побочными эффектами химиотерапии. Однако многие также отмечают поддержку со стороны медицинских работников и близких, что помогает справиться с эмоциональными и физическими трудностями. Важно, чтобы люди знали о возможностях лечения и не боялись обращаться за помощью, так как раннее вмешательство может значительно повысить шансы на выздоровление.

Стадии
Ученые выделяют две большие стадии заболевания:
- локализованную (только в одном месте и окружающих тканях);
- метастатическую (при большом количестве поражения органов метастазами).
Диагностика
Для точной диагностики врач собирает подробный анализ и проводит тщательный осмотр и опрос пациента.
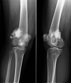
Также необходимо провести рентген, сканирование костной ткани, сделать биопсию кости, КТ.

Лечение
Лечение выбирается в соответствии с типом и стадией развития заболевания. Также учитывается общее состояние, возраст человека, наличие других заболеваний или рецидивов.
Лечение проводят обычно в 3 этапа:
- Химиотерапия до операции, чтобы убрать мелкие метастазы и уменьшить опухоль.
- Удаление опухоли. Раньше конечность могли ампутировать, в наши дни чаще делают резекцию участка и меняют его на имплантат. Удалять конечность могут только если размеры опухоли слишком велики. Также удалению подлежат большие метастазы.
- Химиотерапия после операции. Это делают, чтобы подавить остаточные элементы и гарантировать выздоровление.
Лучевая терапия не дает большого эффекта и используется только если другого выхода нет.
Противоопухолевые мази от остеосаркомы народное лечение могут использоваться как вспомогательное средство, однако использовать их как единственно лекарство нецелесообразно.
Вопрос-ответ
Как проявляется остеосаркома?
Остеосаркома – это злокачественная опухоль, которая образуется из костной ткани, отличается бурным развитием и ранним появлением метастазов. Первыми признаками остеосаркомы являются локальные боли в местах поражения, напоминающие болевые ощущения при ревматизме.
Как лечат саркому кости?
Остеогенная саркома требует немедленного лечения. Терапией патологического состояния занимаются хирурги-онкологи, ортопеды. Лечение хирургическое, химиотерапевтическое. Могут применяться методы лучевой терапии.
Какие симптомы при раке костей?
Отеки мягких тканей в области опухоли, снижение подвижности сустава или размягчение кости, хромота или другие ограничения подвижности, снижение чувствительности больной конечности, увеличение размеров регионарных лимфоузлов, локальное повышение температуры в месте опухоли, Ещё
Можно ли вылечиться от остеосаркомы?
Однако если остеосаркома не дает метастазов, примерно 3 из 4 человек могут полностью выздороветь. К сожалению, выживаемость людей с метастазами составляет всего 30%. Остеосаркома, как и любой вид рака, является очень серьезным заболеванием.
Советы
СОВЕТ №1
Регулярно проходите медицинские обследования, особенно если у вас есть предрасположенность к онкологическим заболеваниям. Раннее выявление остеосаркомы может значительно повысить шансы на успешное лечение.
СОВЕТ №2
Обратите внимание на любые необычные симптомы, такие как боль в костях, опухоли или отеки. Не игнорируйте их и обязательно проконсультируйтесь с врачом, если что-то вызывает у вас беспокойство.
СОВЕТ №3
Изучите доступные варианты терапии и обсудите их с вашим лечащим врачом. Остеосаркома может требовать комплексного подхода, включая хирургическое вмешательство, химиотерапию и радиотерапию.
СОВЕТ №4
Поддерживайте здоровый образ жизни, включая сбалансированное питание и физическую активность, чтобы укрепить иммунную систему и улучшить общее состояние организма во время лечения.


