Остеобластокластома – это одна из часто встречающихся опухолей кости. Она редко поражает детей. Чаще она встречается у взрослых от 18 до 40 лет. Одинаково от этой опухоли страдают и женщины и мужчины. Бывают случаи семейного анамнеза, поэтому при осмотре всегда выясняется история наследственных недугов у родственников.
Причины развития этого новообразования точно неизвестны. Чаще всего она появляется в местах зоны роста. Остеобластокластома бедренной кости – один из наиболее распространенных типов. Она может развиться как на шейке или головке бедра, так и на малом или большом вертелах.
Почти всегда опухоль развивается одна, и лишь иногда можно встретить двойные образования и то только на соседних костях.
Чаще всего остеобластокластома появляется на длинных трубчатых костях. Процент таких случаев составляет примерно 75%. Мелкие и плоские кости крайне редко страдают от этого образования.
В длинной трубчатой кости остеобластокластома образуется в эпиметафизарном отделе. В случае детей это происходит в метафизе.
Эта опухоль не разрастется на суставном хряще или в эпифизарном. Иногда она может разместиться на диафизе.
Симптомы
В зависимости от того, где начала развиваться остеобластокластома различаются основные признаки и проявления. На месте поражения начинаются довольно сильные боли, кости начинает деформироваться и возникают патологичные переломы.
Остеобластокластома может быть:
- доброкачественной;
- злокачественной;
- литической.
Доброкачественная может со временем стать злокачественной. Причиной этому может быть беременность, травма или воздействие излучения ионизирующего.
Остеобластокластома бедренной кости, редкое, но серьезное заболевание, вызывает у врачей значительное беспокойство. По мнению специалистов, основными проявлениями этого опухолевого процесса являются локальная боль, отек и ограничение подвижности в пораженной области. Важно отметить, что симптомы могут варьироваться в зависимости от стадии заболевания и индивидуальных особенностей пациента.
Для диагностики остеобластокластомы врачи рекомендуют использовать комбинацию рентгенографии, МРТ и биопсии. Эти методы позволяют точно определить характер опухоли и исключить другие патологии. В плане терапии предпочтение отдается хирургическому вмешательству, которое может включать резекцию опухоли и последующую реконструкцию кости. В некоторых случаях может потребоваться дополнение лечения химиотерапией или радиотерапией, особенно при наличии метастазов.
Врачи подчеркивают важность ранней диагностики и комплексного подхода к лечению, что значительно повышает шансы на успешный исход и восстановление функции конечности.

Как определяется, что опухоль становится раковой:
- боли становятся сильнее;
- новообразование начинает быстро расти;
- диаметр разрушения кости становится больше;
- очаг разрушения теряет четкие очертания;
- замыкающая пластинка, которая закрывает костномозговой канал, начинает разрушаться;
- кортикальный слой рушится;
- надкостница изменяется.
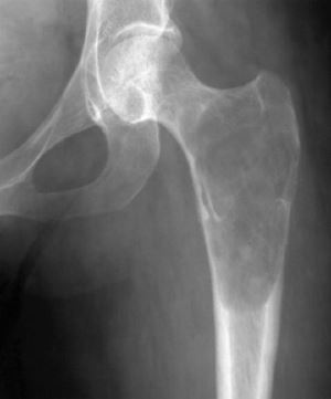
При доброкачественном типе на рентгеновском снимке видны углубления округлой формы на стенках опухоли, злокачественная характеризуется ярко выраженным остеопорозом, а литическая – гомогенным остеопорозом.
Как диагностируется остеобластокластома?
Врач проводит опрос и собирает полный анамнез истории болезней на протяжении жизни, а также членов семьи. Проводится осмотр.
Чтобы точно определить этот тип опухоли делают ряд анализов. Рентгеновские снимки обязательны. На них видно истончение кости, которые расползается неравномерно, пораженный кортикальный слой, контуры кости вздуваются булавовидным образом и т.д.
Проводится морфологический анализ клеток, на котором видны многоядерные клетки очень большого размера.
Пораженный отдел опухает, а кожа над этим участком становится натянутой с выраженным сосудистым рисунком. Если пальпировать этот участок, можно почувствовать плотное образование, и услышать перманентный хруст. Иногда нарушается работа сустава рядом с опухолью.
Остеобластокластома бедренной кости — редкое, но серьезное заболевание, которое вызывает много вопросов и обсуждений среди пациентов и специалистов. Люди, столкнувшиеся с этой опухолью, часто делятся своими переживаниями о симптомах, таких как боль и отечность в области бедра. Многие отмечают, что первоначальные симптомы могут быть незначительными, что затрудняет раннюю диагностику. Терапия включает хирургическое вмешательство, а также возможное применение радиотерапии. Пациенты говорят о важности индивидуального подхода к лечению, так как каждая ситуация уникальна. Поддержка со стороны врачей и близких играет ключевую роль в процессе восстановления. Обсуждения на форумах и в группах поддержки помогают людям не только обмениваться опытом, но и находить надежду в сложных ситуациях.

Лечение
Доброкачественный тип лечат с помощью лучевой терапии или хирургическими методами. При операции новообразование удаляют. Если необходимо, в месте поражения ставится эксплант. Очень редко, если опухоль большая и заражена, конечность ампутируют.
При своевременном лечении прогнозы весьма утешительные.
Возникшие осложнения часто вызывают патологические переломы.
Вопрос-ответ

Как лечат остеобластома?
Операция по удалению новообразования – основной и, как правило, единственный метод лечения остеобластомы.
Как называется доброкачественная опухоль из костной ткани?
Остеохондромы (костно-хрящевые экзостозы), наиболее распространенный вид доброкачественных опухолей костей, обычно встречаются у людей в возрасте от 10 до 20 лет. Эти опухоли являются новообразованиями на поверхности кости, выступающими в виде твердых узлов. У больного может быть одна или несколько опухолей.
Как лечить гигантоклеточную опухоль?
Основными методами лечения являются оперативное вмешательство и химиотерапия. В некоторых случаях может применяться лучевая терапия. Операция проводится для удаления опухоли и предотвращения ее дальнейшего роста. Также она может быть необходима для восстановления функций пораженной кости.
Как отличить доброкачественную опухоль кости от злокачественной?
Если опухоль доброкачественная, ее рост происходит в четком ограничении от окружающей ткани. В случае со злокачественными опухолями происходит врастание новообразований в окружающие ткани и метастазирование.
Советы
СОВЕТ №1
Обратите внимание на симптомы: Если вы испытываете постоянные боли в области бедра, отеки или ограничение подвижности, не откладывайте визит к врачу. Раннее выявление остеобластокластомы может значительно улучшить прогноз и облегчить лечение.
СОВЕТ №2
Регулярно проходите обследования: Если у вас есть предрасположенность к заболеваниям костей или в анамнезе были случаи остеобластокластомы, важно регулярно проходить рентгенографические и МРТ-обследования для мониторинга состояния костей.
СОВЕТ №3
Обсудите варианты лечения с врачом: Терапия остеобластокластомы может включать хирургическое вмешательство, радиотерапию или медикаментозное лечение. Обсудите все возможные варианты с вашим врачом, чтобы выбрать наиболее подходящий для вас метод.
СОВЕТ №4
Поддерживайте здоровый образ жизни: Правильное питание, регулярные физические упражнения и отказ от вредных привычек помогут укрепить кости и улучшить общее состояние здоровья, что может быть полезно в процессе лечения и восстановления.


