Остеопсатироз – врожденное заболевание, которое передается наследственным путем. Нарушения в процессе синтеза коллагена приводят к тому, что кости у младенца начинают слишком рано костенеть. Обычно это становиться заметным сразу после рождения. Кости могут ломаться даже при пеленании или незначительном воздействии. Кроме того, они могут ломаться даже в период беременности и в процессе родов.
Сильные переломы срастаются у таких детей плохо, что приводит к значительным искривлениям и довольно низкому росту.
Характерно и то, что окостенение черепа не завершается, но в области затылка и висков могут быть обнаружены большие дефекты строения.
При сложной форме остеопсатироза дети умирают в очень раннем возрасте.
Если заболевание развивается не так быстро, при взрослении характерной особенностью является окраска оболочки глаз в ярко голубой цвет. В зрелом возрасте болезнь приводит к разрастанию костных тканей на слуховой проход, к результате чего человек становиться глухим.
Иногда бывает и так, что голубые яблоки глаз – единственное проявление этой патологии.
Признаки
К основным фактическим признакам можно отнести следующие:
- ломкость костей;
- голубые склеры глаз;
- отклонения в составе желудочного сока (ахлоргидрия или гипохлоргидрия);
- темный цвет эмали зубов;
- атрофированные мышцы.
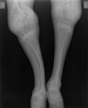
Рентген покажет разные результаты в зависимости от тяжести патологии. В любом случае будет заметен остеопороз, большое количество переломов разных по времени. Кортикальный слой костной ткани будет очень тонким кроме мест заживших переломов. Трубчатые кости будут искривлены. На их концах отмечают склероз ткани, которые появляется в процессе компенсации организма.
Иногда меняет форма и структура позвонков, они становятся более плотным и двояковогнутыми, в целом позвоночник укорачивается.
Характерно укорочение конечностей, из-за постоянных переломов трубчатых костей. Часто деформируются бедра и голени, иногда страдают предплечья и плечи. Могут образовывать ложные суставы.
Врачи отмечают, что остеопсатироз — это редкое заболевание, характеризующееся нарушением обмена веществ в костной ткани, что приводит к ее утолщению и хрупкости. Основные признаки включают боли в костях, ограничение подвижности и деформацию суставов. Специалисты подчеркивают важность ранней диагностики, так как это позволяет предотвратить серьезные осложнения. Лечение обычно комплексное и может включать медикаментозную терапию, физиотерапию и в некоторых случаях хирургическое вмешательство. Врачи рекомендуют пациентам вести активный образ жизни и следить за рационом, обогащая его кальцием и витамином D. Регулярные обследования и консультации с ортопедами помогут контролировать состояние и улучшить качество жизни пациентов.

Нанизм
Уменьшение роста – одно из проявлений этого отклонения. Для такой формы характерны:
- низкий рост (так как организм практически не вырабатывает этот гормон);
- нормальное строение органов и костей;
- нормальное половое созревание;
- возраст костей равен фактическому;
- особое выражение лица (искривление, птичья форма и т.п.);
- старческая сухая кожа;
- облысение;
- маленький подбородок и др.
Остеопороз — это заболевание, которое вызывает значительное снижение плотности костной ткани, что делает кости более хрупкими и подверженными переломам. Многие люди отмечают, что первыми признаками остеопороза являются частые боли в спине и увеличение хрупкости костей. Важно понимать, что заболевание может развиваться бессимптомно, поэтому регулярные обследования и диагностика играют ключевую роль в его выявлении.
Лечение остеопороза включает в себя как медикаментозную терапию, так и изменения в образе жизни. Пациенты часто говорят о важности кальция и витамина D в рационе, а также о необходимости физической активности для укрепления костей. Некоторые отмечают, что занятия спортом, такие как йога или пилатес, помогают улучшить гибкость и баланс, что снижает риск падений. Важно также избегать курения и чрезмерного потребления алкоголя, так как это негативно сказывается на здоровье костей. Регулярные консультации с врачом помогут подобрать индивидуальный план лечения и профилактики.
Лечение
Лечение нанизма проводится, но редко дает эффект. Прием гормонов роста в этом случае неэффективен. Определенный результат могут дать анаболические стероиды, которые воздействуют на мышечный объем. Стабильный результат могут дать только регулярные инъекции гормона роста в мышцы, но это лекарство стоит очень дорого.
Когда ребенок достигает полового созревания лечение дополняют детрогеном, хорионгадотропином и метилтестостероном.
До шести лет такая терапия не имеет смысла.
Лечение остеопсатироза может включать в себя корректирующие операции. Иногда устранение деформированных участков костей, дает возможность ребенку развиваться в дальнейшем нормальнее. Кроме того, это улучшает дыхание, работу сосудистой системы и т.п.

Вопрос-ответ
Как понять, что у тебя остеопороз?
Боль в тазобедренных суставах, крестцовом отделе позвоночника, ребрах и грудной клетке, частые судороги, напряжение в мышцах, нарушение осанки и в различных отделах опорно-двигательного аппарата, Ещё

Какое самое эффективное лекарство при остеопорозе?
ФОРСТЕО (терипаратид) 20 мкг Наиболее эффективный препарат для лечения остеопороза на сегодняшний день. Для начала лечения препаратом форстео необходимо провести ряд исследований крови: общий кальций, паратиреоидный гормон, щелочная фосфотаза, креатин, общий анализ крови (ИНВИТРО).
Где болит при остеопорозе?
Симптомы остеопороза Потеря костной массы происходит медленно и длительное время может протекать бессимптомно. Один из наиболее характерных признаков — боли в костях и в области суставов, чаще локализующиеся в спине, ребрах, костях таза.
Как остановить процесс остеопороза?
Остановить развитие остеопороза невозможно, он является обязательным спутником старения всего организма. Предотвратить вымывание кальция из костей можно лишь в том случае, когда оно вызвано иной патологией.
Советы
СОВЕТ №1
Регулярно проходите медицинские обследования, особенно если у вас есть предрасположенность к остеопорозу. Раннее выявление заболевания поможет начать лечение на ранней стадии и предотвратить серьезные последствия.
СОВЕТ №2
Обратите внимание на свой рацион. Убедитесь, что в вашем питании достаточно кальция и витамина D, которые способствуют укреплению костей. Включайте в меню молочные продукты, зелень, рыбу и орехи.
СОВЕТ №3
Занимайтесь физической активностью. Упражнения, направленные на укрепление мышц и улучшение баланса, помогут снизить риск падений и переломов. Рассмотрите возможность занятий йогой или пилатесом.
СОВЕТ №4
Избегайте вредных привычек, таких как курение и чрезмерное употребление алкоголя. Эти факторы могут негативно сказаться на здоровье костей и усугубить течение остеопороза.

