Флюороз скелета, или криолитовая болезнь – это хроническое заболевание костной ткани организма. Возникает данное нарушение при повышенном содержании в организме фтора и его соединений. Причиной проявления недуга могут выступать: пища и вода с высоким содержанием фтора, вредные условия труда на производстве или даже неверно выбранная зубная паста c большим количеством фторидов.
Признаки заболевания
На ранних стадиях развития болезни (I и II стадия) пациенты жалуются на некоторую скованность движений, болезненность в позвоночнике и дискомфорт в суставах. На поверхности зубной эмали могут появиться полоски, пятна белого, желтоватого или коричневого цвета, эрозии.
На III стадии развития патологии, усиливаются болевые ощущения в позвоночнике и суставах. Больному становится трудно выполнять свои повседневные обязанности. Продолжается разрушение зубной эмали. Обнаруживается повышенное содержание фтора в моче, наблюдаются утолщения костей.
По основным признакам флюороз делится на два вида:
- бытовой (эндемический);
- профессиональный.
Врачи отмечают, что флюороз скелета является серьезным заболеванием, вызванным избыточным потреблением фтора. Основные признаки включают боли в костях, ограничение подвижности суставов и изменения в структуре костной ткани, что может привести к деформациям. На начальных стадиях заболевания симптомы могут быть неявными, что затрудняет диагностику. Важно проводить регулярные обследования, особенно в регионах с высоким содержанием фтора в воде.
Лечение флюороза скелета требует комплексного подхода. Врачи рекомендуют ограничить потребление фтора, а также использовать препараты, способствующие выведению этого элемента из организма. Физиотерапия и специальные упражнения могут помочь улучшить подвижность и уменьшить болевой синдром. Важно, чтобы пациенты находились под наблюдением специалистов, так как неправильное лечение может усугубить состояние.

Что провоцирует?
Избыток фтористых соединений в организме чаще всего наблюдается в тех районах, где имеются проблемы с качеством воды. Этой болезни подвержены как женщины, так и мужчины. Особенно опасна болезнь для неокрепшего организма детей.
Фториды, после поступления в кровь, преобразуются во фтористоводородную кислоту. После взаимодействия с кальцием, образуется нерастворимое соединение – фтористый кальций. Именно он и является главной причиной склерозирования костной ткани, замещая собой растворимые соединения кальция в костях.
Допустимая норма содержания фтора в воде – до 1мг/л воды. Если норма превышена, шансы на возникновение болезни значительно увеличиваются. Постоянное употребление продуктов с высоким содержанием фторидов также являются одной из причин флюороза.
Данная патология нередко развивается у сотрудников предприятия, где не соблюдаются нормы безопасности при работе с фтором и фтористыми соединениями. Неполноценное питание и тяжелый физический труд снижают иммунитет организма и способствуют возникновению флюороза.
Как лечить?
После выявления причины недуга, больного отстраняют от работы с фтористыми веществами или устраняют другие источники попадания фтора в организм.
Например, заменяют воду на бутилированную, исключают продукты с большим содержанием фтора, меняют зубную пасту. Лучше всего использовать зубную пасту с глицерофосфатом кальция.
Назначается витаминизированная диета. Пациентам рекомендуется больше употреблять овощей и фруктов, зелени. Дополнительно назначается прием витаминов C, D, B, и микроэлементов (кальция и фосфора). Из рациона исключается крепкий чай, шпинат и жирное мясо.
Лечение симптоматическое. Обычно требуется посещение стоматолога, ортопеда и диетолога.
Флюороз скелета — это заболевание, вызванное избыточным потреблением фтора, которое может привести к серьезным изменениям в костной ткани. Люди, сталкивающиеся с этой проблемой, часто отмечают боли в суставах и мышцах, а также ограничение подвижности. На начальных стадиях симптомы могут быть неявными, что затрудняет диагностику. Важно, чтобы пациенты обращали внимание на изменения в состоянии здоровья и не игнорировали их. Лечение флюороза включает в себя снижение уровня фтора в организме, что может быть достигнуто через диету и медикаменты. Некоторые специалисты рекомендуют физиотерапию для улучшения подвижности и уменьшения болей. Обсуждая этот недуг, многие подчеркивают важность профилактики, включая контроль за содержанием фтора в питьевой воде и продуктах питания.

Профилактика
Для того, чтобы избежать этого достаточно опасного недуга, рекомендуется:
- следить за качеством потребляемой воды;
- исключить из рациона продукты сомнительного производства;
- зубную пасту приобретать только проверенных производителей, лучше в аптеках;
- соблюдать на предприятиях правила гигиены (достаточное проветривание помещения, герметизация оборудования);
- периодически проходить рентгенологическое исследование скелета и сдавать необходимые анализы.
В странах СНГ, благодаря развитой системе профилактических мероприятий, флюороз встречается достаточно редко.
Вопрос-ответ

Какие основные симптомы флюороза скелета?
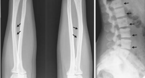
Симптомы флюороза скелета могут включать боли в костях и суставах, ограничение подвижности, а также изменения в структуре костей, такие как их утолщение или деформация. В некоторых случаях могут наблюдаться и другие признаки, такие как образование остеофитов (костных наростов) и изменение цвета зубов.
Как диагностируется флюороз скелета?
Диагностика флюороза скелета обычно включает в себя рентгенографию, которая позволяет выявить изменения в костной ткани, а также анализы на содержание фтора в организме. Врач может также провести опрос о симптомах и истории болезни пациента для более точного определения состояния.
Какие методы лечения применяются при флюорозе скелета?
Лечение флюороза скелета может включать в себя изменение диеты для снижения потребления фтора, применение медикаментов для облегчения болей и воспалений, а также физическую терапию для улучшения подвижности. В некоторых случаях может потребоваться хирургическое вмешательство для коррекции деформаций костей.
Советы
СОВЕТ №1
Обратите внимание на симптомы. Флюороз скелета может проявляться в виде боли в костях, ограниченной подвижности и изменения цвета зубов. Если вы заметили у себя подобные признаки, не откладывайте визит к врачу.
СОВЕТ №2
Проверьте уровень фтора в питьевой воде. Избыточное содержание фтора может быть причиной флюороза. Регулярно тестируйте воду на содержание фтора, особенно если вы живете в районах с высоким уровнем фторирования.
СОВЕТ №3
Соблюдайте сбалансированное питание. Убедитесь, что ваш рацион богат кальцием и витамином D, которые могут помочь укрепить кости и снизить риск развития флюороза. Консультируйтесь с врачом или диетологом для составления правильного меню.
СОВЕТ №4
Регулярно проходите медицинские осмотры. Профилактические осмотры помогут выявить проблемы на ранних стадиях. Обсуждайте с врачом любые изменения в состоянии здоровья и следуйте его рекомендациям по лечению и профилактике флюороза.

