Псевдоартроз, или ложный сустав – это нередкое осложнение перелома костей. Переломы заживают потому, что через некоторое время отломки начинают соединяться костной мозолью. Чтобы срастание проходило правильно, сегодня применяется немало методик, каждая из которых имеет как свои преимущества, так и недостатки.
Но заживление перелома – довольно сложный процесс, который иногда в силу тех или иных причин может нарушаться. При этом образования костной мозоли не происходит, а оба конца сломанной кости притираются, шлифуются, сглаживаются, что со временем приводит к развитию ложного сустава. Иногда, в самых тяжёлых случаях, на месте травмы может образоваться полноценная хрящевая ткань с образованием небольшого количества суставной жидкости.
Причины
Причины развития ложного сустава могут быть самые разные, но все они делятся на общие и местные. При этом общие причины связаны, как правило, с другим заболеванием, которое до этого было не выявлено. Это может быть:
- Эндокринопатия.
- Рахит.
- Интоксикация.
- Множественные переломы.
- Опухолевая кахексия.
Также травмы довольно сложно срастаются во время беременности, поэтому женщинам, которые ожидают ребёнка, необходимо быть особенно осторожными.
К местным причинам несращения чаще всего может привести неправильное сопоставление отломков и их фиксирование пластинами или спицами. При этом между частями костных частей могут попадать мягкие ткани.
Ещё одна местная причина – неправильно наложенное скелетное вытяжение, когда между обеими частями сломанной кости отмечается слишком большое расстояние, которое не позволяет образоваться костной мозоли.
К другим местным причинам образования такого осложнения относятся:
- Нарушение кровообращения в месте травмы.
- Нагноение тканей.
- Остеопороз.
- Большое количество обломков одной кости.
- Приём гормональных препаратов.
- Приём антикоагулянтов.
Врачи отмечают, что псевдоартроз часто развивается в результате неадекватного заживления переломов, что может быть связано с недостаточной стабильностью фрагментов кости, инфекцией или недостаточным кровоснабжением. Симптомы заболевания включают хроническую боль, отек и ограничение подвижности в области повреждения. Важно отметить, что псевдоартроз может проявляться как в костях, так и в мягких тканях, что усложняет диагностику. Терапия включает консервативные методы, такие как физиотерапия и медикаментозное лечение, а в более сложных случаях может потребоваться хирургическое вмешательство для стабилизации кости и стимуляции заживления. Врачи подчеркивают важность ранней диагностики и индивидуального подхода к каждому пациенту для достижения наилучших результатов лечения.

Клиническая картина
Псевдоартроз – это заболевание, которое имеет практически одни и те же признаки, несмотря на разное место образования. Но чаще всего такое состояние диагностируется в области нижних конечностей, например, это может быть псевдоартроз бедренной кости или костей голени.
Первый и самый главный признак – это неестественная подвижность конечности в том месте, где её просто не должно быть. При этом амплитуда этих движений может быть от едва заметной до значительной.
Второй признак – это укорочение конечности. По сравнению со здоровой ногой или рукой, поврежденная конечность уменьшается в длине до 10 см. При этом из-за формирования нового сустава начинает снижаться сила мышц.
И, конечно, происходит нарушение функции поражённой конечности, что особенно заметно после перелома и образования аномального сустава на бедре. Очень явно это замечается в том случае, когда человек пытается перенести вес своего тела на одну, поражённую ногу, при этом сделать это не удаётся, нога сама по себе подворачивается в поврежденной области и человек падает.
Это значит, что нормальная ходьба и опора больше недоступны, поэтому приходится пользоваться костылями, тростью или другими ортопедическими аппаратами.
Диагностика
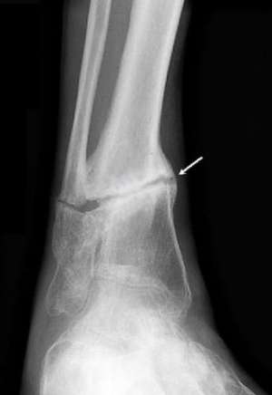
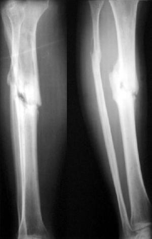
Псевдоартроз плечевой и других костей можно без труда выявить при рентгенологическом исследовании.
Различают два вида ложных суставов — гипертрофический и атрофический. В первом случае при нормальном кровоснабжении начинает избыточно разрастаться костная ткань, однако это приводит только к развитию большого расстояния между отломками.
Второй вид формируется при отсутствии или недостаточности кровоснабжения в месте травмы. Части одной кости соединены между собой соединительной тканью, но к сожалению, она не способна удерживать место перелома в хорошо зафиксированном состоянии.
Псевдоартроз — это состояние, при котором происходит неправильное сращение костей после перелома, что может привести к хронической боли и функциональным ограничениям. Люди, сталкивающиеся с этой проблемой, часто отмечают, что основными причинами развития псевдоартроза являются недостаточная фиксация перелома, инфекционные осложнения и сопутствующие заболевания, такие как остеопороз. Проявления включают постоянную боль в области перелома, отечность и ограничение подвижности. Терапия может варьироваться от консервативных методов, таких как физиотерапия и использование ортезов, до хирургического вмешательства, включая повторную операцию для стабилизации кости. Многие пациенты подчеркивают важность ранней диагностики и комплексного подхода к лечению для достижения положительных результатов.

Лечение
Лечение такого патологического сустава возможно только хирургическим путём. При этом проводится фиксация отломков при помощи пластин либо другим способом. После такой операции хрящевая ткань полностью исчезает – минерализуется, и происходит срастание кости.
При наличии атрофического псевдоартроза участки костных отломков с нарушением кровоснабжения удаляются, после чего оба конца одной кости соединяются таким образом, чтобы исключить любые возможности её подвижности в период лечения.
После операции и снятия гипсовой повязки проводится курс лечебной физкультуры и массажа, которые помогут восстановить мышечный тонус и улучшить кровоснабжение.
Вопрос-ответ

Что такое псевдоартроз и как он возникает?
Псевдоартроз — это состояние, при котором происходит неудачное сращение перелома, в результате чего образуется ложный сустав. Это может произойти из-за недостаточной стабильности перелома, неадекватного кровоснабжения или недостаточной иммобилизации. Факторы риска включают курение, диабет и инфекции.
Какие симптомы могут указывать на наличие псевдоартроза?
Основные симптомы псевдоартроза включают хроническую боль в области перелома, отечность, а также ограничение подвижности. В некоторых случаях может наблюдаться аномальная подвижность в месте перелома, что указывает на наличие ложного сустава.
Каковы основные методы лечения псевдоартроза?
Лечение псевдоартроза может включать хирургическое вмешательство для стабилизации перелома, использование костных трансплантатов для стимулирования заживления, а также физиотерапию для восстановления функции конечности. В некоторых случаях может потребоваться применение медикаментов для облегчения боли и воспаления.
Советы
СОВЕТ №1
Регулярно проходите медицинские осмотры и следите за состоянием своих костей и суставов. Это поможет выявить возможные проблемы на ранних стадиях и предотвратить развитие псевдоартроза.
СОВЕТ №2
Обратите внимание на свое питание. Убедитесь, что ваш рацион богат кальцием и витамином D, которые способствуют укреплению костей и могут снизить риск развития псевдоартроза.
СОВЕТ №3
Следуйте рекомендациям врача по реабилитации после травм и операций. Правильная физическая терапия и восстановление играют ключевую роль в предотвращении формирования псевдоартроза.
СОВЕТ №4
Не игнорируйте симптомы, такие как боль или отек в области поврежденной кости. При их появлении обратитесь к специалисту для своевременной диагностики и лечения.


