Костные переломы обычно заживают потому, что образовывается «костная мозоль» — рыхлая бесформенная костная ткань, которая соединяет части поломанной кости, восстанавливая ее целостность. Чтобы обеспечить нормальное сращение кости, применяется множество методик: металлоостеосинтез (соединение обломков специальными металлическими пластинами, наложение гипса, скелетное вытяжение и прочие).
Не всегда срастание происходит благополучно. В некоторых случаях отломки не заживляются, соприкасающиеся края костей со временем притираются, шлифуются, сглаживаются, и образуется ложный сустав. Иногда даже может появиться слой хряща на поверхности смежных отломков с образованием небольшого количества суставной жидкости, как в нормальных суставах. Другое название ложного сустава – псевдоартроз.
Причины развития заболевания
Общие причины образования псевдоартроза – это заболевания, когда нарушается репаративная регенерация костей и происходит нарушение обмен веществ:
- эндокринопатия;
- рахит;
- интоксикация;
- множественные травмы;
- опухолевая кахексия;
- беременность.
Костные отломки могут не срастаться по ряду местных причин:
- плохо сопоставленные отломки относительно друг к другу после операции;
- между частями костей попадают мягкие ткани;
- образование значительного расстояния между частями костей при слишком сильном вытяжении;
- нарушение кровоснабжения отломков;
- инфекционное поражение, приводящее к развитию длительного нагноения в месте перелома;
- повреждение во время операции надкостницы;
- остеопороз;
- реакция организма на металлоостеосинтез, неприятие пластин и гвоздей;
- закупорка костными обломками костно-мозгового канала;
- попавшее между отломками инородное тело;
- кровяной сгусток между частями кости отсутствует;
- перелом с большим количеством обломков;
- обездвиженность конечности проводилась недостаточно долго;
- прием антикоагулянтов, стероидных гормонов;
- повреждения кожи, которые могут сопутствовать перелому – ожоги, облучение.
Врачи отмечают, что развитие ложного сустава, или псевдоартроза, может быть вызвано несколькими факторами. Одной из основных причин является недостаточная фиксация перелома, что приводит к неправильному сращению костей. Также важную роль играют нарушения кровообращения в области травмы, что затрудняет процесс заживления. Врачи подчеркивают, что наличие инфекций или воспалительных процессов может усугубить ситуацию, замедляя восстановление. Кроме того, недостаток необходимых питательных веществ, таких как кальций и витамин D, может негативно сказаться на регенерации костной ткани. Важно учитывать и индивидуальные особенности пациента, включая возраст и наличие хронических заболеваний, которые могут влиять на процесс заживления.

Клиническая картина
Ложный сустав имеет основные проявления:
- Заметна не естественная подвижность в конечности там, где в нормальном состоянии движения быть не должно, или наблюдается увеличение амплитуды движений от слегка заметного до явного. Были зафиксированы случаи, когда конечностью можно было двигать на 360 градусов в том месте, где образовался псевдоартроз.
- Больная конечность укорачивается до 10 см.
- В связи с формированием ложного сустава сила мышц значительно снижается.
- Функция конечности нарушается из-за того, что подобные сочленения не имеют костных ограничителей, не фиксируются сухожилиями, связками и мышцами, как то бывает в нормальной конечности. Особенно явственно можно заметить данное изменение в костях ноги после перелома шейки бедра. При попытке перенести вес тела на ногу она непроизвольно подворачивается. Человек утрачивает способность стоять, ходить, опираться на больную конечность, пользуясь костылями, тростью и специальными ортопедическими аппаратами.
- За счет снижения нагрузки на здоровые суставы их способность к нормальной работе нарушается.
Диагностика
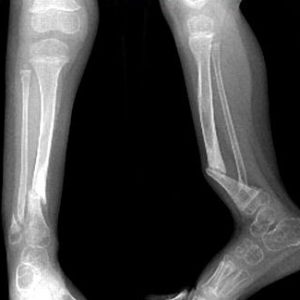
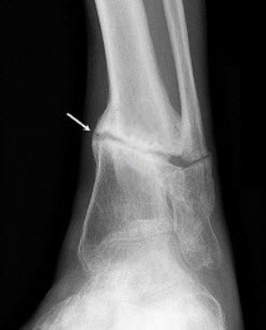
Диагностировать ложный сустав можно рентгенологическими методами. Рентгенограмма покажет два варианта псевдоартроза:
- Гипертрофический – это избыточное разрастание тканей кости в месте перелома при условии нормального кровоснабжения. Данная патология характеризуется быстрым ростом костной ткани в области перелома. Рентген покажет сильное увеличение расстояния между концами отломков.
- Атрофический – формирование псевдоартроза при недостаточном или отсутствующем кровоснабжении. На рентгенограмме заметны четкие границы краев отломков, которые удерживает соединительная ткань, хотя она не достаточно прочная, чтобы полностью обездвижить участок образования псевдоартроза.
Ложный сустав — это состояние, которое вызывает множество вопросов и обсуждений среди медицинских специалистов и пациентов. Многие люди отмечают, что основными причинами его развития являются неправильное сращение переломов, недостаточная иммобилизация поврежденной конечности и инфекции. Некоторые пациенты делятся своим опытом, указывая на то, что игнорирование рекомендаций врача в период реабилитации также может привести к этой проблеме.
Кроме того, существует мнение, что генетическая предрасположенность и возраст играют важную роль в возникновении ложного сустава. Люди старшего возраста чаще сталкиваются с этой проблемой из-за замедленного процесса заживления. Обсуждая лечение, многие отмечают, что хирургическое вмешательство — это не единственный выход, и иногда консервативные методы могут быть эффективными. Важно, чтобы каждый пациент понимал, что своевременная диагностика и правильный подход к лечению могут значительно улучшить прогноз.

Лечение
Лечить ложный сустав необходимо исключительно хирургическим путем. При гипертрофическом псевдоартрозе проводится обездвиживание отломков с помощью металлоостеосинтеза или другим способом. Таким образом, после полного обездвиживания хрящевая прослойка в течение нескольких недель полностью минерализуется и кость срастается. При атрофическом псевдоартрозе участки костных обломков с нарушенным кровоснабжением удаляют, далее части костей соединяют, чтобы полностью исключить их подвижность по отношению друг к другу.
После операции назначают физиотерапевтическое лечение, ЛФК, массаж, чтобы восстановить мышечный тонус и подвижность близлежащих суставов, улучшить кровоснабжение.
Вопрос-ответ

Что такое ложный сустав и как он образуется?
Ложный сустав, или псевдартроз, представляет собой состояние, при котором происходит ненормальное заживление перелома, в результате чего образуется соединение между двумя фрагментами кости, которое не является полноценным суставом. Это может произойти из-за недостаточной стабилизации перелома, плохого кровоснабжения, инфекции или недостатка необходимых питательных веществ для заживления.
Какие факторы могут способствовать развитию ложного сустава?
Существует несколько факторов, которые могут способствовать образованию ложного сустава. К ним относятся: недостаточная иммобилизация перелома, наличие сопутствующих заболеваний (например, остеопороз или диабет), курение, которое ухудшает кровоснабжение, а также возраст пациента, поскольку с возрастом процессы заживления замедляются.
Как можно предотвратить развитие ложного сустава после перелома?
Для предотвращения ложного сустава важно соблюдать рекомендации врача по иммобилизации и реабилитации после перелома. Это включает в себя правильное наложение гипса или использование ортезов, регулярные контрольные осмотры, а также ведение здорового образа жизни, включая сбалансированное питание и отказ от курения, что способствует улучшению кровоснабжения и ускорению процессов заживления.
Советы
СОВЕТ №1
Изучите факторы риска. Понимание факторов, способствующих развитию ложного сустава, таких как неправильное лечение травм или недостаточная реабилитация, поможет вам избежать подобных проблем в будущем.
СОВЕТ №2
Обратите внимание на симптомы. Если вы заметили постоянную боль, отек или ограничение движений в области травмы, не откладывайте визит к врачу. Ранняя диагностика может предотвратить развитие ложного сустава.
СОВЕТ №3
Следуйте рекомендациям врача. После травмы важно строго придерживаться назначенного лечения и реабилитационных мероприятий. Это поможет обеспечить правильное сращение костей и снизить риск осложнений.
СОВЕТ №4
Укрепляйте мышцы и суставы. Регулярные физические упражнения и физиотерапия помогут укрепить окружающие ткани и улучшить стабильность сустава, что также может снизить риск развития ложного сустава.


