Болезнь Блаунта – это заболевание, которое поражает и деформирует большеберцовую кость. Ортопедия изучает эту патологию с 30-х годов ХХ века, когда ученый Эрлахен впервые описал общие признаки, чуть позже его труды значительно расширил Блаунт, в честь которого заболевание получило свое название.
Чаще всего эта болезнь встречается у детей. По распространенности из ортопедических детских патологий, она занимает второе место после рахита. Чаще диагностируется у девочек, чем у мальчиков, имеет наследственную природу.
Причины
Болезнь Эрлахера Блаунта развивается по причинам, которые точно установить до сих пор не удалось. Ученые выяснили, что болезнь провоцирует местная хондродисплазия, из-за чего страдает эпифизарный хрящ большеберцовой кости. Зачастую больные дети страдают от целого ряда врожденных патологий, которые дают основание связывать эти два заболевания.
Болезнь развивается при наличии двух факторов:
- недостаточной подготовке костно-мышечной системы;
- анатомическими отклонениями в строении ног.
Если отмечается варусная постановка голени, у человека существенно перегружается наружный или внутренний мыщелки, из-за чего начинает расширяться эпифиз, он принимает неправильное положение и смещается вниз и вовнутрь. От создавшегося давления страдают кости, мышцы и мягкие ткани, что приводит к дальнейшим деструктивным процессам.
Также из провоцирующих болезнь факторов можно выделить:
- ранние попытки хождения у ребенка;
- если ребенок пропускает период ползания и сразу встает на ноги;
- избыточный вес;
- нарушения работы эндокринной системы;
- врожденные патологии эпифизарного отдела большеберцовой кости.
Врачи отмечают, что болезнь Блаунта, характеризующаяся нарушением роста и развития костей голени, может возникать по различным причинам. Основными факторами риска являются избыточный вес, генетическая предрасположенность и нарушения в механике походки. Классификация болезни включает две формы: ювенильную, проявляющуюся в детском возрасте, и подростковую, которая чаще встречается у старших детей и подростков. Лечение болезни Блаунта зависит от степени выраженности деформации и возраста пациента. Врачи рекомендуют консервативные методы, такие как ортопедические корсеты и физиотерапия, на ранних стадиях. В более тяжелых случаях может потребоваться хирургическое вмешательство для коррекции деформации и восстановления нормальной функции конечностей. Регулярное наблюдение и ранняя диагностика играют ключевую роль в успешном лечении и предотвращении осложнений.

Классификация болезни
Из-за того, что это заболевание может проявляться по-разному, ее оценивают по нескольким критериям, которые делят ее на определенные виды.
Признаки заболевания также существенно влияют на принципы лечения.
В зависимости от того, как деформирована нога, различают болезнь:
- с вальгусным искривлением;
- с варусным искривлением.
По форме выделяют:
- инфантильную (проявляется с 2-3 лет на обеих голенях);
- подростковая (проявляется после 6 лет, поражает обычно одну голень).
В зависимости от того, насколько нестабильно колено различают несколько видов:
- компрессионный;
- субкомпрессионный;
- декомпрессионный.
В зависимости от того, насколько велик угол искривления, выделяют разные стадии деформации:
- до 15 градусов – потенциальная. При этом отмечают краевой склероз верхней части большеберцовой кости;
- от 15 до 30 градусов – умеренно выраженная. Нарушается структура эпифиза;
- прогрессирующая. Становиться заметная фрагментация эпифиза в средней части;
- быстро прогрессирующая. Между эпифизом и метафизом образуется мостик.
Симптомы
Первые проявления дают о себе знать еще в раннем детстве. Как только ребенок начинает ходить, видны искривления голени. К двум годам они становятся очевидными. Такой ребенок не может долго стоять на ногах, постоянно пытается держаться, а что-то или сесть. Проявляется хромота, которая приводит к неправильной походке. Угол искривления может быть очень велик и достигать 85 градусов.
Постепенно ноги становятся короче, а руки длиннее.
Для таких пациентов характерно плоскостопие, пониженный тонус мышц, низкий рост и т.п.
Болезнь Блаунта, или остеохондрит большеберцовой кости, вызывает много обсуждений среди специалистов и пациентов. Многие отмечают, что основными причинами развития этой патологии являются генетические факторы, избыточный вес и повышенные нагрузки на суставы. Классификация болезни включает две формы: юношескую и взрослую, что влияет на подходы к лечению. Важно, что ранняя диагностика позволяет избежать серьезных осложнений. Лечение может варьироваться от консервативных методов, таких как физиотерапия и ортопедические средства, до хирургического вмешательства в более запущенных случаях. Пациенты часто делятся положительным опытом восстановления после лечения, подчеркивая важность индивидуального подхода и регулярного контроля у врача.

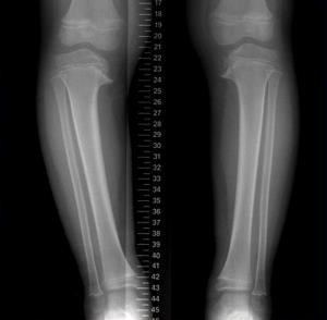
Диагностика
Чтобы определить это заболевание собирается общая клиническая картина. Точно наличие патологии подтверждает рентген. Если есть осложнения, проводят МРТ или КТ.
Лечение
Лечение зависит от того, когда было определено заболевание и на какой стадии оно находится. В детском возрасте лечение намного проще. На начальной стадии оно заключается: в массаже, лечебной физкультуре, правильном питании, грязевые аппликациях и специальных ванночках.
На более серьезной стадии ребенок должен носить гипсовые повязки и заниматься укрепляющим лечением.
Операции проводят только если ребенок старше 6 лет. Во время операции иссекают части бедренной и большеберцовой кости и накладывают аппарат Елизарова. Если колено остается нестабильным, может помочь пластика связок.
Отсутствие лечение или его позднее начало может вызвать инвалидность с детских лет.

Вопрос-ответ
Как лечится болезнь блаунта?
Если поставлен диагноз болезнь Блаунта, лечение проводят хирургическим путем. Малоинвазивная операция с использованием аппарата внешней фиксации Веклича позволяет быстро поставить пациента на ноги. Лечение не проходит молниеносно, но чем младше возраст пациента, тем лучше моделируется новая кость.
Что вызывает болезнь Блаунтса?
Точная причина болезни Блаунта неизвестна . Дети с инфантильной болезнью Блаунта обычно рано начинают ходить (до 12 месяцев) и часто имеют избыточный вес. Болезнь Блаунта у подростков может быть связана с быстрым набором веса или ожирением. Также считается, что существует генетический компонент.
Как называется болезнь, когда ноги колесом?
Болезнь Блаунта (синонимы: tibia vara, синдром Блаунта, синдром Блаунта-Эрлахера-Биезиня-Барбера, болезнь Эрлахера-Блаунта, синдром Мау-Нильсона) — варусная деформация (иногда вальгусная) проксимального отдела большеберцовой кости и внутренняя торсия голени, возникающая вследствие нарушения функционирования медиальной
Что такое болезнь Олье?
Болезнь Олье – это частный вариант дисхондроплазии (хондроматоза), для которой характерно сохранение эмбрионального строения хрящевой ткани в нетипичных местах. Таким образом нарушается энхондральное окостенение, вследствие чего хрящевая ткань не замещается костной.
Советы
СОВЕТ №1
Регулярно проводите осмотры у ортопеда, особенно если у вас или ваших детей есть предрасположенность к заболеваниям суставов. Раннее выявление болезни Блаунта может значительно улучшить прогноз и облегчить лечение.
СОВЕТ №2
Обратите внимание на физическую активность. Умеренные физические нагрузки, такие как плавание или велоспорт, могут помочь укрепить мышцы и суставы, что может снизить риск развития болезни Блаунта.
СОВЕТ №3
Изучите информацию о различных методах лечения, включая консервативные и хирургические подходы. Понимание доступных вариантов поможет вам и вашему врачу выбрать наиболее подходящий план лечения.
СОВЕТ №4
Обсуждайте любые изменения в состоянии здоровья с врачом. Если вы заметили изменения в походке или болевые ощущения в коленях, не откладывайте визит к специалисту, так как это может быть признаком болезни Блаунта.


