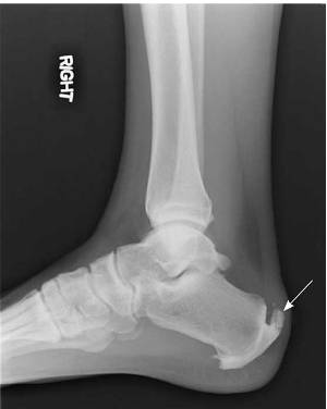
Деформация Хаглунда – костный нарост, который носит название экзостоз, он появляется на задней поверхности пятки несколько выше места, к которому прикрепляется ахиллово сухожилие. Этот нарост со временем начинает увеличиваться в размерах, а это приводит к тому, что он начинает давить на само сухожилие, вызывая воспалительное заболевание, которое носит название тендинит. Также давление оказывается и на ретрокальканеальную сумку, что вызывает другой вид воспаления – бурсит.
В некоторых источниках есть сведения, что этот костный нарост правильнее было бы называть экзостозом, или даже ахилловой шпорой. Однако оба эти названия ошибочны, так как и экзостоз и шпора – это совершенно разные заболевания, поэтому данное образование на задней поверхности пятки правильно называть только деформацией Хаглунда.
Кроме того, этот нарост приводит к тому, что происходит заметное увеличение пятки, а в месте, где к пяточной области прилегает задник обуви, нередко образуется пузырь, который мешает ходить и является причиной воспаления, а также вызывает отёк мягких тканей.
Именно эти два компонента – костный нарост и воспалительный процесс играют большую роль в развитии симптомов этой патологии. При слабо выраженном воспалении кожа на пятке имеет нормальный цвет, а под ней без труда прощупывается шишка. Если же есть выраженный воспалительный процесс, то само костное образование будет мягким.
Причины появления
Что становится причиной появления этого нароста на пятке, точно никто не знает. Некоторые считают, что предрасполагающим фактором может быть ношение неудобной обуви, которая сильно давит или даже натирает пяточную область.
Есть предположение, что заболевание это наследственное, так как есть доказательства того, что эти наросты есть не только у детей, но и у родителей. И, наконец, ещё один предрасполагающий фактор – это плоскостопие, которое длительное время остаётся без лечения. В таком случае сухожилие неправильно ложится на пяточную кость во время ходьбы и происходит его травмирование.
И, наконец, ещё одна распространённая причина – высокий свод стопы. При этом во всех вышеописанных случаях патология может встречаться как сопутствующая.
Врачи отмечают, что деформация Хаглунда, представляющая собой костное образование на задней поверхности пятки, может развиваться по нескольким причинам. Основными факторами являются наследственная предрасположенность, особенности строения стопы, а также ношение неудобной обуви, особенно с жесткими задниками. В результате постоянного трения и давления на область пяточной кости возникает воспаление, что приводит к образованию шишки.
Для лечения деформации Хаглунда специалисты рекомендуют комплексный подход. В начальных стадиях важно изменить обувь на более удобную, использовать ортопедические стельки и проводить физиотерапевтические процедуры. В случаях, когда консервативные методы не приносят облегчения, может потребоваться хирургическое вмешательство для удаления костного образования. Врачам важно учитывать индивидуальные особенности пациента и степень выраженности деформации, чтобы выбрать наиболее эффективную стратегию лечения.

Безоперационная терапия
Лечение деформации Хаглунда в незапущенных случаях возможно без применения операции. В этом случае могут помочь такие консервативные способы терапии, как:
- Использование препаратов из группы НПВС. Они помогают снять воспалительный процесс и болевые ощущения. Если приём таблеток не даёт должного эффекта, то стоит подумать о курсе внутримышечных инъекций. Однако такое лечение возможно только по назначению врача.
- Ношение ортопедической обуви. Такая обувь может иметь специально подобранный задник или быть совсем без него, и вариант выбора зависит от стадии болезни.
- Использование пластырей или подкладок, которые помогают избежать травмы кожи в области выступающей шишки.
Все эти процедуры направлены на то, чтобы снять воспалительный процесс. И если такие методы не помогают, то приходится прибегать к операции, которая позволит избавиться от деформации Хаглунда.
Хирургическое вмешательство
На сегодняшний день известно несколько методик, которые позволяют избавиться от этого недуга. И каждая из них имеет свои особенности, а выбирается оперативный метод в зависимости от того, какова степень развития патологии, размер нароста, общее состояние пациента и от многих других факторов.
Сегодня в большинстве случаев используют эндоскопический метод удаления этой деформации, то есть сама пяточная кость оперируется в закрытом состоянии, а на коже делается всего лишь два небольших отверстия, через которые вводится эндоскоп.
В более редких случаях используешься традиционный открытый метод. Стоит ли оперировать деформацию Хаглунда? Да, такая патология требует оперативного лечения в случае, когда она начинает мешать человеку ходить, и он испытывает сильные болевые ощущения, или косточка начинает активно расти.
Что же касается лечения народными средствами, то деформация Хаглунда такому лечению не поддаётся и даже если удастся снять некоторые симптомы воспаления, сама шишка никуда не денется.
Деформация Хаглунда, известная также как «шпора Хаглунда», вызывает много обсуждений среди пациентов и специалистов. Многие отмечают, что основными причинами развития этого состояния являются анатомические особенности стопы, неправильная обувь и чрезмерные физические нагрузки. Люди часто делятся своими историями о том, как неудобная обувь, особенно с жесткими задниками, усугубила их симптомы.
Что касается лечения, подходы варьируются от консервативных методов, таких как физиотерапия и использование ортопедических стелек, до более радикальных решений, включая хирургическое вмешательство. Пациенты подчеркивают важность индивидуального подхода к терапии, так как эффективность методов может сильно различаться. Многие находят облегчение в изменении образа жизни и выборе более удобной обуви, что позволяет снизить нагрузку на пятку и улучшить качество жизни.

Профилактика
Особенно профилактика важна для тех, у кого в семье уже имеется такое заболевание. Поэтому таким людям необходимо выбирать только удобную обувь с мягким задником, которая бы не натирала область пятки.
При плоскостопии важно использовать ортопедическую обувь, которая должна быть изготовлена на заказ, или стельки, которые изготавливаются и подбираются строго индивидуально.
Если деформация всё же появилась, то следует как можно раньше обратиться к врачу, так как вылечить эту патологию на ранней стадии можно без операции.
Вопрос-ответ

Что такое деформация Хаглунда и как она проявляется?
Деформация Хаглунда — это костное образование на задней поверхности пятки, которое может вызывать боль и дискомфорт. Она проявляется в виде отека, покраснения и болезненности в области пяточной кости, особенно при ношении обуви с жестким задником.
Какие факторы способствуют развитию деформации Хаглунда?
К факторам, способствующим развитию деформации Хаглунда, относятся наследственная предрасположенность, неправильная обувь, особенно с жесткими задниками, а также повышенные физические нагрузки на стопу, такие как бег или занятия спортом.
Каковы основные методы лечения деформации Хаглунда?
Лечение деформации Хаглунда может включать консервативные методы, такие как использование ортопедической обуви, физиотерапия и противовоспалительные препараты. В более тяжелых случаях может потребоваться хирургическое вмешательство для удаления костного образования.
Советы
СОВЕТ №1
Регулярно проверяйте состояние обуви. Неправильная или неудобная обувь может усугубить деформацию Хаглунда. Выбирайте модели с мягким задником и хорошей амортизацией, чтобы снизить давление на пятку.
СОВЕТ №2
Уделяйте внимание растяжке и укреплению мышц стопы и голени. Регулярные упражнения помогут улучшить гибкость и снизить нагрузку на ахиллово сухожилие, что может помочь в профилактике и лечении деформации.
СОВЕТ №3
Не игнорируйте симптомы. Если вы заметили боль или отек в области пятки, обратитесь к врачу. Раннее обращение за медицинской помощью может предотвратить дальнейшее развитие деформации и ускорить процесс восстановления.
СОВЕТ №4
Используйте ортопедические стельки. Они могут помочь перераспределить нагрузку на стопу и уменьшить дискомфорт, связанный с деформацией Хаглунда. Консультируйтесь с ортопедом для подбора подходящих стелек.



