Колено – крупный сустав в организме человека. Коленное сочленение образовано соединением трех костей:
- бедренной;
- большеберцовой;
- надколенника или, по-другому, коленной чашечки, который представлен костью овальной формы и размещен в передней части (наверху) колена.
Функция надколенника – защитная, поскольку исключительно этой кости сустав защищен от внешних травматических воздействий.
Еще коленная чашечка участвует в помощи четырехглавой мышце выполнять сгибательную функцию. Из-за опорной функции коленного сочленения выдерживается нагрузка всего тела в положении сидя и стоя. И к дополнительным функциям можно отнести сгибательно-разгибательную работу.
По результатам медицинской статистики вывих колена наблюдается очень редко. Все возникающие травмы сводятся в основном к растяжению. А вывих представляет смещение одних костных образований по отношению к другим. В результате этого контакт между дистальным концом бедренной кости и верхним концом голени утрачивается.
Повреждения коленного сустава представлены в виде вывиха или подвывиха голени, и вывиха надколенника. Этиологическим фактором подобных изменений в колене может быть травмирование, а в некоторых вариантах артроз.
Врожденная патология колена – редко встречающаяся патология в ортопедии, статистически примерно один случай на тысячу человек. В соответствии со статистическими данными ежегодно рождается 50 новорожденных с подобным патологическим состоянием. Оно не имеет наследственной предрасположенности и формируется во II половине беременности.
Эта патология в основном проявляется у девочек. Терапия предусматривает иммобилизацию сочленения с помощью лонгета, гипсовой повязки либо шины. При более тяжелых вариантах предусматривается оперативное вмешательство, и исключительно с трехмесячного возраста. Родителям не следует игнорировать эту патологию, поскольку при отсутствии адекватного лечения ребенок не в состоянии самостоятельно удержаться на ногах и, соответственно, не сможет обрести навыки хождения.
Симптомокомлекс и этиологические факторы
Этиологическим фактором может явиться любое движение. При осмотре такая травма имеет отличия от другой в виде деформации надколенника, ведущей к нарушению способности колена изменять собственное положение и возвращения сустава в обычное положение. Травмированный ощущает болевой синдром, который сопровождается отечностью.
Главные признаки вывиха:
- резкая болезненность на месте травмирования;
- снижение чувствительности в зоне повреждения;
- формирование отечности;
- отсутствие пульса (невозможность пальпирования) ниже уровня травмы.
Медпомощь показана при следующих при знаках:
- травмированный ощущает сильную боль;
- состояние шока для организма;
- в области повреждения образуется распространенная отечность;
- внезапная лихорадка;
- деформация коленного сустава;
- чувство холода и онемения в конечности;
- отсутствие пульса ниже уровня травмы.
Вследствие травмирования коленное сочленение меняется в форме и теряет подвижность, что привод к укорочению конечности. При смещении коленной чашечки во время подвывиха пострадавший жалуется на резкую боль. При физикальном осмотре определяется увеличение размеров колена кпереди и его сплющенность по бокам.
Вследствие надавливания на подколенное сочленение стопа остается холодноватой и бледноватой. Отмечается потеря кожной чувствительности, а повреждение малоберцового нерва приводят к потере возможности тыльно согнуть стопу и, соответственно, к свободному свисанию.
Врачи отмечают, что врожденный вывих колена является редким, но серьезным заболеванием, которое может возникнуть в результате аномалий развития суставов и связок. Основными причинами этого состояния могут быть генетические факторы, а также нарушения в процессе формирования плода. Врачи подчеркивают важность ранней диагностики, так как своевременное вмешательство может значительно улучшить прогноз для пациента. Лечение обычно включает консервативные методы, такие как физиотерапия и ортопедические приспособления, а в более сложных случаях может потребоваться хирургическое вмешательство. Специалисты акцентируют внимание на необходимости индивидуального подхода к каждому пациенту, чтобы обеспечить оптимальное восстановление функции коленного сустава и предотвратить дальнейшие осложнения.

Первая медпомощь
При травмировании необходимо срочно иммобилизировать конечность. Для этого подойдет шина либо иное другое средство. Если нарушено кровообращение требуется уменьшить смещение костных структур. С этой целью надо аккуратно и не быстро потянуть за стопу, одновременно подтягивая голень в противоположном от смещения направлении. Далее на место травмирования необходимо наложить холод либо лед.
Проводя первую помощь, следует быть особо аккуратным, поскольку неосторожное действие может нанести дополнительную травму с усугублением ситуации. Далее травмированный подлежит транспортировке в травмпункт, где сустав будет осмотрен врачом, и при необходимости будет проведено дренирование сустава от накопившейся жидкости.
Врожденный вывих колена — это редкое, но серьезное заболевание, которое вызывает много вопросов у родителей и специалистов. Многие считают, что основными причинами являются генетические факторы и неправильное положение плода во время беременности. Некоторые исследования также указывают на влияние внешних факторов, таких как травмы или инфекции, которые могут повлиять на развитие суставов.
Лечение врожденного вывиха колена часто начинается с консервативных методов, таких как физиотерапия и ношение ортопедических устройств. В более сложных случаях может потребоваться хирургическое вмешательство для коррекции положения колена и восстановления его функциональности. Родители отмечают, что ранняя диагностика и своевременное лечение играют ключевую роль в успешном восстановлении. Важно также учитывать индивидуальные особенности каждого ребенка, чтобы подобрать наиболее эффективный подход.
Диагностирование и лечение
Диагностика осуществляется в условиях травматологического отделения и предусматривает:
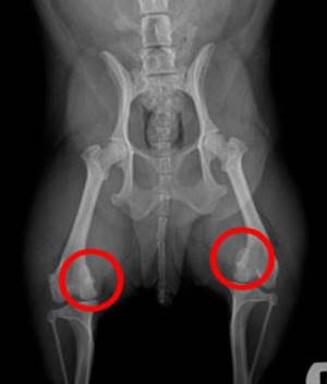
- рентгенографическое исследование на предмет целостности кости;
- артериографическое обследование на предмет повреждения кровеносных сосудов;
- допплерография либо УЗИ;
- неврологическое обследование оценивает степень подвижности ступни;
- пульсометрия оценивает наличие пульса.
Травматолог определяет индивидуальное лечение травмы.
Медицинский работник проводит мероприятия по вправлению вывиха. Далее с помощью шины фиксирует травмированное колено. Восстановления связочного аппарата — это наиболее трудный лечебный этап. В определенных вариантах пациенту предлагают операцию как первоначальную медпомощь. В реабилитационный период врач проводит наблюдение за пациентом. В посттерапевтический период конечность постепенно разрабатывается, в результате чего возвращается мышечный тонус. Лишь продолжительный курс физиотерапевтических процедур может восстановить функции колена. Эффективны также ЛФК, массаж, правильный рацион и прием витаминных комплексов. Особенность терапии вывиха колена состоит в его продолжительности (до нескольких месяцев).

Вопрос-ответ
Как лечат вывих колена?
Адекватное обезболивание, при необходимости – дополнительная релаксация мышц, мануальное вправление сместившейся кости, контрольная рентгенография, при удачном вправлении фиксация колена с захватом выше- или нижележащего сустава гипсовой лонгетой/повязкой.

При каких обстоятельствах может вылететь коленная чашечка?
Вывих коленной чашечки может произойти вследствие травмы или внезапной чрезмерной нагрузки. Но чаще всего он случается из-за неправильного движения или проблем анатомии самого коленного сустава или ложбинки, в которой «сидит» коленная чашечка. В любом случае при вывихе коленной чашечки необходимо срочное лечение.
Как долго заживает колено после вывиха?
Для заживления вывиха колена обычно достаточно использовать лед, тепло, покой и растяжку. Вывих колена обычно заживает в течение 2-4 недель, если не требуется хирургическое вмешательство.
Как лечат смещение коленной чашечки?
Первичный травматический вывих коленной чашечки может устраняться с помощью мануального вправления под адекватным обезболиванием. После этого на коленный сустав накладывается гипсовая круговая повязка, которая обеспечивает неподвижность и стабилизацию капсульно-связочного аппарата.
Советы
СОВЕТ №1
Обратите внимание на ранние признаки вывиха колена у новорожденного. Если вы заметили, что одна из ног выглядит неестественно или ребенок не может нормально сгибать колено, немедленно обратитесь к врачу для диагностики и лечения.
СОВЕТ №2
Следите за развитием ребенка и его физической активностью. Регулярные осмотры у педиатра помогут выявить возможные проблемы на ранней стадии, что позволит начать лечение вовремя и предотвратить осложнения.
СОВЕТ №3
При наличии диагноза врожденного вывиха колена, следуйте рекомендациям врача по лечению. Это может включать физиотерапию, использование ортопедических устройств или, в некоторых случаях, хирургическое вмешательство. Не пренебрегайте назначениями врача.
СОВЕТ №4
Обсуждайте с врачом все возможные варианты лечения и реабилитации. Убедитесь, что вы понимаете, какие методы наиболее эффективны для вашего ребенка, и не стесняйтесь задавать вопросы о процессе восстановления.

