Остеомиелит бедра относят к гнойным воспалениям бедренной кости, которые сопровождаются повреждением всех компонентов кости: костного мозга (губчатой ткани), непосредственно костной ткани и поверхностного слоя кости — надкостницы. Первоначальное формирование патологического процесса инфекционного генеза имеет название острого миелита бедренной кости. В случае продолжительного течения с периодами обострения и ремиссии имеет название хронического остеомиелита.
Остеомиелитический процесс имеет инфекционную природу. Крайне редко наблбдается неинфекционный патпроцесс, он формируется на фоне гиперактивации иммунной системы. Пути проникновения патогенного микроба вариабельны:
- генерализация микроорганизмов в кость бедра по кровеносным сосудам из имеющегося в организме очага инфекции (гематогенная форма);
- непосредственное проникновение микроба в кость во время ранений, травматических повреждений — переломов, оперативных манипуляций на бедре (негематогенная форма).
Около трех десятилетий назад острая гематогенная форма фиксировалась преимущественно в детском организме, в настоящее время патологический процесс с равной частотой наблюдается как у детей, так и во взрослом организме.
Провоцирующими факторами развития гнойного воспаления в костной ткани выступают:
- атеросклеротическое поражение кровеносных сосудов нижних конечностей;
- продолжительная алкогольная интоксикация;
- патологии обмена веществ (сахарный диабет и пр.);
- иммунодефициты.
Симптоматическая картина
Гнойному воспалительному процессу свойственно острое и бурное начало, первоначальным проявлением выступает высокая лихорадка — до 38-39ºC, больной предъявляет жалобы на общее недомогание и слабость. Болевой синдром также появляется резко в бедренной области (в месте сформировавшегося гнойного очага), нарастает стремительно. Частой локализацией очага является верхняя либо в средняя треть бедра, в основном по передней плоскости. Кожные покровы очаговой зоны гиперемированы, пальпирование резко болезненно, ощущаются сильно выраженная боль в момент осуществления двигательного акта.
К наружным признакам воспалительного процесса следует отнести гипермированность кожи, отечность, выраженные боли, которые говорят о воспалительной деструкции костного каркаса и переходе гнойного содержимого в межмышечное пространство. В случае отсутствия адекватной терапии стремительно нарастают признаки интоксикационного процесса, обезвоживание организма.
К возникновению септического состояния приводит наличие невскрывшихся гнойных очагов, а также их количество. Отечность, гиперемия кожи усиливаются, распространяются на рядом размещенные ткани либо на всю нижнюю конечность. В первом варианте, при вовлечении в процесс рядом расположенных структур, формируется артрит коленного либо тазобедренного суставного сочленения. В этом случае конечность принимает «вынужденную» позицию, движение в ней резко ограничено, либо вообще невозможно. В некоторых вариантах гнойник самостоятельно вскрывается на кожный покров бедра в виде свища, через него высвобождается гнойное содержимое и частей костной ткани (секвестры). Весь этот процесс приводит к улучшению общего состояния пациента и трансформации из острой формы в хроническую (свищевую).
Хронической форме свойственно формирование свищевого прохода в бедренной области, сквозь который выходят костные секвестры (расплавленные гноем составляющие кости). Вследствие этого кость становится хрупкой, что ведет к так называемым «патологическим перелома», возникающим при небольших травмированиях.
Врачи отмечают, что остеомиелит бедра — это серьезное инфекционное заболевание, которое требует внимательного подхода к диагностике и лечению. Основные проявления включают сильную боль в области бедра, отек, покраснение кожи и повышение температуры. Важно учитывать, что заболевание может развиваться как в результате травмы, так и на фоне системных инфекций.
Лечение остеомиелита обычно включает антибиотикотерапию, которая может быть как пероральной, так и внутривенной, в зависимости от тяжести состояния. В некоторых случаях требуется хирургическое вмешательство для удаления некротических тканей и дренирования гноя. Врачи подчеркивают важность раннего обращения за медицинской помощью, так как запущенные формы заболевания могут привести к серьезным осложнениям, включая потерю функции конечности. Реабилитация после лечения также играет ключевую роль в восстановлении пациента.

Диагностирование
Диагностирование проводится врачом травматологом либо врачом хирургом. Диагностический комплекс состоит из:
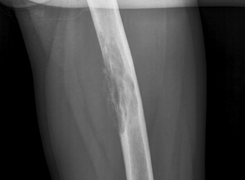
- Компьютерная томография и рентгенографические исследования кости бедра. Они позволят с высокой достоверностью подтвердить деструкцию костной структуры.
- Лабораторные исследования крови и мочи: общий анализ, биохимический анализ крови. При этой патологии выявляется пятикратное превышение верхней нормальной границы щелочной фосфотазы в крови.
- Иммунологические исследования. Остеомиелитическому процессу свойственно увеличение содержание антистрептолизина О, который является маркером наличия стрептококка в организме.
- Исследование крови на стерильность. Выявление инфекционного агента подтверждает септическое состояние.
Остеомиелит бедра — это серьезное воспалительное заболевание костной ткани, которое часто вызывает беспокойство у пациентов и их близких. Люди отмечают, что проявления болезни могут варьироваться от сильной боли и отека в области бедра до лихорадки и общего недомогания. Некоторые пациенты описывают, как их повседневная жизнь меняется из-за ограничений в движении и необходимости постоянного наблюдения у врача. Лечение остеомиелита обычно включает антибиотикотерапию, а в более сложных случаях может потребоваться хирургическое вмешательство для удаления некротических участков. Многие пациенты подчеркивают важность ранней диагностики и комплексного подхода к лечению, чтобы избежать серьезных осложнений и восстановить качество жизни.
Лечебные мероприятия
Терапевтический комплекс осуществляется исключительно в стационарных условиях. Подозрение на эту патологию требует ургентной госпитализации. Терапевтические меры направлены на устранение гнойного воспаления в кости и обязательно очага инфекции в организме, который стал источником патогенного микроорганизма. Лечение отличается комплексностью и сложностью в проведении.
Главной составляющей терапевтических мер является обязательная иммобилизация конечности. С целью ликвидации инфекционного начала осуществляется массивная антибиоткотерапия. Эффективность последней зависит от результатов анализа крови на стерильность, при котором дополнительно исследуется чувствительность выявленного возбудителя к антибиотиками.
Зачастую прибегают к оперативным видам с целью иссечения гнойного очага в костной ткани. В зависимости от застарелости процесса объем хирургических манипуляций может меняться, в этом случае вопрос решается хирургом по результатам обследования в индивидуальном порядке.

Вопрос-ответ
Какие симптомы могут указывать на остеомиелит бедра?
Симптомы остеомиелита бедра могут включать сильную боль в области бедра, отек, покраснение кожи, лихорадку, а также ограничение подвижности в суставе. Важно обратить внимание на любые изменения в состоянии здоровья и обратиться к врачу для диагностики.

Каковы основные методы лечения остеомиелита бедра?
Лечение остеомиелита бедра обычно включает антибиотикотерапию для борьбы с инфекцией, а также хирургическое вмешательство для удаления некротических тканей. В некоторых случаях может потребоваться дренирование абсцесса или установка фиксирующих устройств для восстановления функции конечности.
Какова вероятность полного выздоровления после остеомиелита бедра?
Вероятность полного выздоровления зависит от ряда факторов, включая своевременность обращения за медицинской помощью, тяжесть инфекции и общее состояние здоровья пациента. При раннем лечении и соблюдении рекомендаций врача большинство пациентов могут ожидать хороших результатов и восстановления функции конечности.
Советы
СОВЕТ №1
При первых признаках остеомиелита, таких как боль в бедре, отек или покраснение, немедленно обратитесь к врачу. Раннее обращение за медицинской помощью может значительно улучшить прогноз и снизить риск осложнений.
СОВЕТ №2
Следите за своим состоянием после перенесенного остеомиелита. Регулярные обследования и контроль за состоянием здоровья помогут предотвратить рецидивы и выявить возможные осложнения на ранних стадиях.
СОВЕТ №3
Обратите внимание на режим питания и поддержание иммунной системы. Употребление продуктов, богатых витаминами и минералами, может помочь организму быстрее восстановиться после болезни и укрепить здоровье костей.
СОВЕТ №4
Следуйте рекомендациям врача по реабилитации и физической активности. Постепенное возвращение к физическим нагрузкам под контролем специалиста поможет восстановить функцию бедра и предотвратить атрофию мышц.


