Экзостозы хрящевые множественные или аклазия диафизарная, болезнь Эренфрида относится к порокам образования ростковой пластинки, которым характерно появление хрящевых и костно-хрящевых разрастаний (экзостозов) в эпиметафизарных участках костных структур. Зачастую повреждаются плечевые и бедренные кости, а также кости предплечья и голени. Эта патология приводит к различного рода деформированиям конечностей. В некоторых случаях протекает в комбинации с иными аномалиями – расщелиной неба, синдактилией, ангиоматозом.
При описанном патологическом процессе происходит извращенное развитие костной ткани в процессе роста в эпиметафизарных и апофизарных участках, образуются боковые выросты хрящевой ткани, так называемый экзостоз, который состоит из губчатой кости с поверхностным слоем ростковой хрящевой ткани, за счет нее и осущетвляется последующий его рост.
Этиология
Характерный возраст для этого заболевания — 8-18 лет. Особое развитие наблюдается в пубертатный период. У детей до 6 лет такое патологическое состоянии не наблюдается.
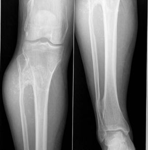
Частой локализацией наростов являются: верхняя 1/3 большеберцовой кости, нижняя 1/3 бедренной кости, верхнем отделе малоберцовой кости, верхнем конце плеча и нижнем конце предплечья. Они могут развиваться на лопаточных, ключичных, реберных костных структурах, в редких случаях – на плесневых костях и позвонках. На черепной коробке наросты не формируются. Они бывают разного размера — от горошины до большого яблока. Даже известен вариант образования экзостоза размером с детскую голову. Количество образований варьирует до нескольких сотен.
Этиологическими факторами могут быть:
- Воспалительный процесс;
- Травматические повреждения (переломы, ушибы и пр.);
- ущемление;
- инфекционные процессы (сифилис и др.);
- аномалии надкостницы или хрящевой ткани;
- ряд эндокринных патологий.
Зачастую патология имеет наследственную предрасположенность.
Врачи отмечают, что диафазарная аклазия представляет собой сложное заболевание, характеризующееся нарушением моторики пищевода и затруднением прохождения пищи в желудок. Классификация этого состояния включает первичную и вторичную аклазии, где первичная форма чаще всего связана с генетическими факторами, а вторичная может развиваться на фоне других заболеваний. Симптомы заболевания проявляются в виде дисфагии, болей в груди и регургитации. Врачи подчеркивают важность ранней диагностики, так как это позволяет избежать серьезных осложнений. Лечение диафазарной аклазии может включать как консервативные методы, такие как диета и медикаменты, так и хирургическое вмешательство, например, миотомию. Важно, чтобы пациенты находились под наблюдением специалистов для корректировки терапии и предотвращения рецидивов.

Классификация и симптоматика
Диафизарная аклазия подразделяется на два вида:
- множественная экзостозная хондродисплазия;
- солитарный костно-хрящевой экзостоз.
Диафизарная аклазия — болезнь без наличия болевого ощущения, зачастую продолжительное время не проявляется, поскольку развитие выроста достаточно часто не сопровождается какими-либо проявлениями. Он может выявиться достаточно случайно при рентгенологическом исследовании при диагностировании других заболеваний.
До восьмилетнего возраста костные разрастания совершенно никак о себе не извещают, но в период усиленного роста костной системы (8-18 лет) возможна активация и усиленное развитие костных образований. Особо ускоряются выросты в пубертатный период в основном на малоберцовой и большеберцовой костях, в нижнем участке бедренной кости, на лопаточной и ключичной кости.
Кисти и ступни вовлекаются в патологический процесс несколько реже и никогда – черепная коробка. Не во всех случаях возможно пальпирование их во время физикального осмотрах. Таким образом, для точного диагностирования места локализации и их количества (в том числе и внутреннего строения) понадобится рентгенографическое обследование.
Клиническая симптоматика при этом заболевании зависит от формы патологии, места расположения образований, их размера, форм и взаимосвязи с рядом расположенных тканей и органов. Крупных размеров оказывают определенное воздействие на нервные образования и кровеносную сеть. В этом случае возникает болевое ощущение. Костно-хрящевой нарост возле позвоночного столба, с тенденцией последующего вростания в позвоночный канал, способен привести к сдавлению спинного мозга.
Достаточно часто вырост поддается пальпированию. В некоторых случаях он увеличивался до размеров, которые можно визуально определить.
Патологический процесс может привести к тяжелым осложнениям. Вырост способен сдавить рядом локализованные органы, вплоть до их деформирования и дисфункции. Под давлением нароста иногда деформируется даже рядом расположенная кость.
Другое достаточно сложное осложнение — перелом экзостозной ножки и малигнизация нароста. Статистически это случается у 1 % заболевших. Такому перерождению в основном подвергаются наросты на лопатках, бедре, тазе, позвонках.
Диафазарная аклазия — это заболевание, которое вызывает значительные трудности при глотании и может привести к серьезным осложнениям. Многие пациенты отмечают, что симптомы, такие как затрудненное глотание, боли в груди и регургитация пищи, значительно ухудшают качество жизни. Люди часто делятся своим опытом, рассказывая о том, как болезнь влияет на их повседневные привычки и социальные взаимодействия.
Лечение диафазарной аклазии включает как консервативные, так и хирургические методы. Некоторые пациенты успешно применяют диету с мягкой пищей и специальные техники глотания, в то время как другие нуждаются в более радикальных мерах, таких как хирургическое вмешательство для расширения пищевода. Важно, чтобы пациенты получали поддержку от врачей и близких, так как это заболевание требует комплексного подхода и понимания. Общение и обмен опытом между людьми, столкнувшимися с этой проблемой, помогают находить оптимальные решения и справляться с трудностями.
Лечебные мероприятия
Лечебные мероприятия состоят исключительно из хирургического метода. Процесс предусматривает иссечение самого образования с последующим шлифованием поверхности кости.
Операция на колене требует иммобилизации сустава на протяжении одной-двух недель с помощью гипсовой лонгетой, далее ограничивается нагрузка на оперированную ногу до двух месяцев с целью профилактики переломов в местах экзостозов.
Прогностически после оперативного лечения больной становится полностью излеченным.

Вопрос-ответ
Какие классификации афазии существуют?
Афферентно-моторная афазияЭфферентно-моторная афазияАкустико-мнестическая афазияСемантическая афазияДинамическая афазия

Как лечат афазию?
Реактивация больных областей мозга, стимуляция других областей мозга, способных взять на себя задачи поврежденных, научить пациента не бояться быть непонятым для окружающих, освободить пациента из его изоляции.
Как определить тип афазии?
Рецептивная (сенсорная, беглая или Вернике) афазия: пациенты не способны понимать слова или распознавать слуховые, зрительные или тактильные символы. Экспрессивная (моторная, медленная или Брока) афазия: нарушается способность речеобразования, однако относительно сохранено понимание и осмысление речи.
Как отличить моторную афазию от дизартрии?
В отличие от человека с дизартрией, пациент с афазией не имеет проблем с произношением и функцией речевого аппарата, но не может хорошо формулировать свои мысли в голове. Речь становится ограниченной буквально несколькими звуками, слогами, словами, бывает многократное повторение, пациенту трудно подобрать слова.
Советы
СОВЕТ №1
Обратите внимание на симптомы. Если вы замечаете затруднения при глотании, боли в груди или чувство застревания пищи, не откладывайте визит к врачу. Раннее обращение за медицинской помощью может значительно улучшить прогноз и качество жизни.
СОВЕТ №2
Изучите диету. При диафазарной аклазии важно следить за тем, что вы едите. Предпочитайте мягкую и легко усваиваемую пищу, избегайте острых, кислых и жестких продуктов, которые могут усугубить симптомы.
СОВЕТ №3
Регулярно консультируйтесь с гастроэнтерологом. Поскольку диафазарная аклазия может требовать индивидуального подхода к лечению, важно поддерживать связь с врачом и следовать его рекомендациям по лечению и наблюдению за состоянием.
СОВЕТ №4
Поддерживайте психологическое здоровье. Проблемы с глотанием могут вызывать стресс и беспокойство. Рассмотрите возможность обращения к психологу или участия в группах поддержки, чтобы обсудить свои переживания и получить эмоциональную поддержку.

