Травматическое повреждение (перелом) диафиза бедренной кости считается опасным повреждением опорно-двигательного аппарата и статистически примерно колеблется 18-20 случаев на 100 тыс. Переломы верхней 1/3 бедренной кости располагаются на II место, нижней 1/3 — на последнем.
Классификация повреждений и патогенетический механизм
- По характеру травмирования близлежащих тканей классифицируют открытые и закрытые.
- По уровню нарушения целостности костной ткани — в верхней 1/3 диафизарной части, в средней и в нижней. В зависимости от этих характеристик организуется оперативный подход к выбору методики остеосинтеза.
- Учитывая плоскость повреждения — поперечные, косые, винтообразные, оскольчатые и двойные. Размеры отломанных частиц и сохранность по внутреннему корковому слою влияют на выбор средств для остеорепарации и на период заживления и сращения.
Врачи отмечают, что перелом диафиза бедренной кости является одной из наиболее распространенных травм, особенно у пожилых людей и спортсменов. Классификация таких переломов включает закрытые и открытые, а также смещенные и несмещенные. Проявления травмы могут варьироваться от сильной боли и отека до невозможности двигать ногой. Важно провести рентгенографическое исследование для точной диагностики и определения типа перелома. Терапия зависит от характера повреждения: в случае несмещенных переломов часто достаточно консервативного лечения с использованием гипса, тогда как смещенные переломы требуют хирургического вмешательства для восстановления анатомической целостности кости. Реабилитация играет ключевую роль в восстановлении функции конечности и может включать физиотерапию и лечебную физкультуру. Врачи подчеркивают важность ранней диагностики и индивидуального подхода к каждому пациенту для достижения наилучших результатов.

Симптомокомплекс
Сопутствующие повреждения соседних тканей способствуют отечности и увеличению размеров бедренной части нижней конечности.
Образованная кровопотеря из-за геморрагий в межтканевое пространство может привести к сильным раздражениям рецепторов боли, что ведет в свою очередь к шоку у травмированного. При оказании медпомощи необходимо уделить этому особое значение, чтобы не допустить подобное состояние.
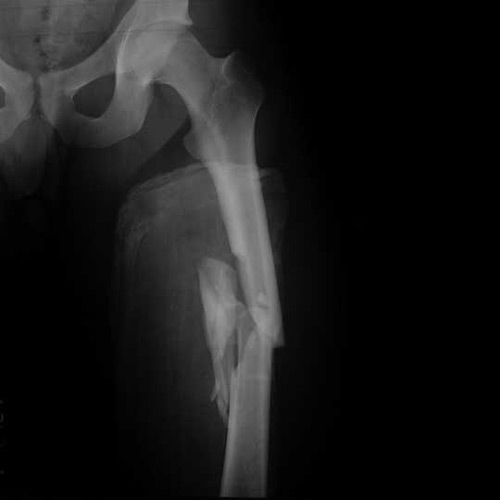
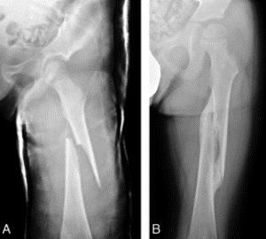
Смещение отломанных мелких частиц отличается разнообразием: в боковом направлении, в длину, под наклоном и ротационное, которые зависят от месторасположения травмы в диафизе. Таким образом, при правмировании в верхней 1/3 центральная отломанная частица отклоняется вперед и кнаружи. Отдаленный отломок под воздействием мышцы- супинатора — внутрь и кзади. Все эти механизмы вызывает клиническое деформирование по типу галифе.
Нарушение целостности в средней диафизарной части не вызывает какого-то особо смещения, но иногда значительно отломки отклоняются вертикально.
Повреждение в нижней части вызывает следующее отклонение: центральный отломок под воздействием мышцы-супинатора отклоняется внутрь, а периферический — под воздействием мышцы-пронатора (икроножной) в заднем направлении.
Иногда из-за внешних сил при травме диспозиция отломанных частиц может быть атипичной.
Диагностирование
При физикальном осмотре у пострадавшего отмечается отечность в травмированной зоне, искривление костной оси, поворот дистальной части ноги латерально или медиально, уменьшение длины ноги, подвижность в аномальном месте кости. Иногда наблюдается невозможность активных движений и наличие крепитаций.
Осложнением может быть разрыв крупного кровеносного сосуда или нервного пучка, что особо повлияет на лечебный комплекс.
Обязательно осмотр пациента завершается рентгенографическим исследованием с целью уточнения характера повреждения и диспозиции отломков.
Перелом диафиза бедренной кости — это серьезная травма, которая требует внимательного подхода к диагностике и лечению. Многие пациенты отмечают, что симптомы, такие как сильная боль и отек, становятся невыносимыми сразу после травмы. Врачи подчеркивают важность правильной классификации переломов, так как это влияет на выбор метода терапии. Например, закрытые переломы могут быть успешно лечены консервативно, в то время как открытые требуют хирургического вмешательства. Реабилитация также играет ключевую роль в восстановлении: пациенты делятся, что физическая терапия помогает вернуть подвижность и укрепить мышцы. Важно учитывать индивидуальные особенности каждого случая, чтобы обеспечить максимально эффективное лечение и минимизировать риск осложнений.

Лечебные мероприятия
Терапевтический комплекс зависит от степени тяжести и характера повреждения и бывает консервативным и хирургическим.
В детском возрасте допустимо разовое вправление и фиксирование отломков правильно выполненной гипсовой лонгетой. Во взрослом возрасте, учитывая клинические признаки, рекомендуется применить, либо скелетное вытяжение, либо остеосинтез.
Способ и место установки спицы в прямой зависимости от места повреждения (верхняя и нижняя диафизарные части). Она выполняется в условиях стационара квалифицированным специалистом.
При переломе бедра в средней диафизарной части и отсутствии диспозиции отломанных частиц применяют скелетное вытяжение. Эта методика обеспечит покой ноге, и, соответственно, позволит раньше приступить к функциональному способу лечения. Средняя продолжительность скелетного вытяжения равняется в среднем 4 неделям с дальнейшим клеевым вытяжением до 3-х нед.
Средняя продолжительность восстановления трудоспособности для пациентов с физическим трудом составляют 5-6 мес., для лиц с умственной нагрузкой – до 5 мес.
При свежих и открытых переломах, при неверно репарированных переломах, псевдартрозах и др. консервативный метод сочетается с хирургическим вмешательством. При последнем применяются разные методы остеосинтеза: накладывание круговых швов, тавровой балки Климова и др.
Наиболее популярным для фиксирования отломков стал стержень из металлического материала, вводимый в костномозговой канал. В постоперационном же периоде ногу иммобилизируют шиной Белера или гипсом в течение 2-3 нед., дальше пациенту можно двигаться при помощи костылей, а позже с палочкой
Среднестатистический нетрудоспособный срок пациентов при внутрикостном фиксировании отломков металлическим штифтом продолжается 3-4 мес.
Вопрос-ответ

Как лечат перелом бедренной кости?
Лечение переломов бедренной кости При невозможности репозиции проводится операция остеосинтеза с применением штифтов, стержней, пластин. В тяжелых случаях следует применять скелетное вытяжение. Конечности обеспечивается покой при помощи иммобилизации.
Что такое диафизарный перелом?
Диафизарный перелом, когда целостность кости повреждается на уровне тела бедра. В этой категории различают переломы верхней, средней и нижней трети. Перелом дистального отдела, который участвует в образовании коленного сустава. В этом случае могут травмироваться мыщелки (внутренний или наружный).
Сколько срастается перелом диафиза бедренной кости?
Сроки скелетного вытяжения от 7 до 12 недель. Иногда сроки скелетного вытяжения сокращают до 6 недель, а на конечность накладывают гипсовую повязку до 4 месяцев. Недостатками этого метода лечения является длительная обездвиженность коленного и тазобедренного суставов, что плохо отражается на их функции.
Какие симптомы при переломе бедра?
Длительная боль в паховой области, усиливающаяся с течением времениневозможность наступить на пятку и оторвать ее от кровати в положении лежа («симптом прилипшей пятки»)укорочение поврежденной ногиповорот стопы наружухруст при попытке повернуть ногу в положении лежаболь при пальпацииЕщё
Советы
СОВЕТ №1
При подозрении на перелом диафиза бедренной кости, немедленно обратитесь за медицинской помощью. Не пытайтесь самостоятельно передвигаться или нагружать поврежденную ногу, так как это может усугубить травму.
СОВЕТ №2
После получения медицинской помощи и диагностики, следуйте предписаниям врача по лечению. Это может включать как консервативные методы (например, иммобилизация), так и оперативные вмешательства, в зависимости от тяжести перелома.
СОВЕТ №3
Обратите внимание на реабилитацию после лечения. Физиотерапия и специальные упражнения помогут восстановить подвижность и силу в ноге, а также предотвратить возможные осложнения.
СОВЕТ №4
Следите за своим питанием, включая в рацион продукты, богатые кальцием и витамином D. Это поможет укрепить кости и ускорить процесс заживления после перелома.


