Вывих в суставе Лисфранка наблюдается крайне редко, зачастую он комбинируется с переломом.
Переломовывих подобной локализации занимает около 2% от общего числа травм рук и ног и 29% среди вывихов стопы. В практической медицине они отмечаются часто, но из-за неверного диагностирования их относят в группу редко наблюдаемых.
Классификация
В основном эта травма сочетается с повреждением целостности костных образований плюсны,смещенных латерально, медиально, в подошвенном или тыльном направлении. Иногда имеют место дивергирующие переломовывихи с дистанцированием костных образований плюсны в противоположные направления (расходящиеся).
Существует деление подобных повреждений:
- Характер и локализация сочетанных повреждений:
- собственно вывихи (полные, неполные);
- переломовывихи (открытого, закрытого, полного, неполного типа);
- множественные травмы.
- Вид и направление смещения костных образований:
- комбинированные;
- дивергирующие;
- наружные;
- тыльно-наружные;
- внутренние;
- подошвенные.
Вывих в суставе Лисфранка представляет собой серьезную травму, часто возникающую в результате падений или спортивных нагрузок. Врачи отмечают, что данная травма может быть классифицирована на полные и неполные вывихи, а также на вывихи с сопутствующими повреждениями мягких тканей. Основные проявления включают сильную боль, отек, ограничение подвижности и деформацию стопы.
Лечение вывиха требует комплексного подхода. Врачи рекомендуют немедленное обращение за медицинской помощью для диагностики и определения степени повреждения. В большинстве случаев требуется репозиция, после которой следует иммобилизация с помощью гипса или ортеза. В тяжелых случаях может потребоваться хирургическое вмешательство для восстановления анатомической целостности сустава. Реабилитация включает физиотерапию и укрепляющие упражнения, что позволяет восстановить функцию стопы и предотвратить рецидивы.

Провоцирующие факторы
Этиологией образования подобного травмирования зачастую выступают уличные, ДТП, производственные, спортивные травмирования. Патомеханизм их может быть довольно обширным, однако, как правило, отмечается прямое сильное действие (падение тяжелого предмета на ступню, наезд, падение с лошади с параллельным придавливанием стопы). Иногда травмы происходят вследствие непрямого воздействия во время падения с высоты на переднюю зону стопы, которая подвернулась.
Патогенетический механизм
Анатомические тонкости (не сформирован связочный аппарат между 1-ой и 2-ой плюсневых костей) -обуславливают происхождение дивергирующего вывиха. Он возникает вследствие падения на округлый выступ малых размеров, расталкивающий эти образования.
Перелом основания 2-ой кости во время медиального смещения обеспечивается размещением ее в полости из клиновидных костей. Поскольку наружная стенка ниже внутренней происходит вывих II косточки плюсны во время наружного смещения. Большая часть медиков патомеханизм связывают с сочетанным влиянием на переднюю зону стопы и сжимающе-скручивающего воздействия в разные направления.
Подобное травмирование в основном отмечается у мужчин, а это объясняется особенностями произведенной в производственных условиях физической работы.
Вывих в суставе Лисфранка — это серьезная травма, которая часто вызывает много вопросов среди пациентов и специалистов. Люди отмечают, что симптомы вывиха могут варьироваться от сильной боли и отека до ограниченной подвижности стопы. Часто пациенты описывают дискомфорт при ходьбе и затруднения в выполнении обычных действий. Важно понимать, что правильная классификация вывиха играет ключевую роль в выборе метода лечения. Многие врачи подчеркивают, что ранняя диагностика и адекватное лечение, включая консервативные и хирургические методы, могут значительно улучшить прогноз. Реабилитация также занимает важное место в восстановлении функции сустава, и пациенты отмечают, что комплекс упражнений помогает вернуть уверенность в движениях.

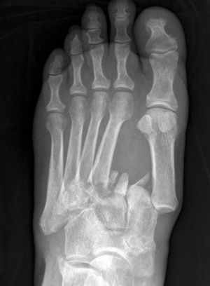
Диагностирование
Диагностировать травмирование можно только при рентгенисследовании, выполненном в классических и косой проекциях.
Симптомокомплекс
Клинике свойственны сильные локализованные болевые ощущения. Пальпирование и пассивно выполненные вращающиеся движения, небольшое сдавливание передней части стопы приводят к внезапной боли в проекции суставного сочленения Лисфранка. Визуализируется типичное стопное деформирование. Латеральный и медиальный типы сочетаются с деформированием переднего участка стопы во внешнюю сторону. При тыльном вывихе визуально определяется на тыльной поверхности штыкоподобное деформировнаие. Дивергирующему виду свойственно расширение передней части.
При небольшой отечности латеральному типу свойственно наличие на внутренней поверхности костный выступ, который образуется 1-ой клиновидной костью, а спереди от последнего существует западение. На наружной поверхности выпячивается внешне смещенное основание 5-ой кости с впадиной.
При медиальном типе переместившееся внутрь основание 1-ой плюсневой кости пальпируется на внутренней поверхности ступни выступ с впадиной сзади. Наружная поверхность имеет выпячивание, образованное кубовидной косточкой. При дивергирующем типе на внутренней поверхности наблюдается выступ вследствие перемещения основания 1-ой кости плюсны, а на наружной – выступ от выпячивания основания 5-ой.
У травмированных с подошвенным типом на своде существует характерное костное выпячивание из составляющих суставного сочленения Лисфранка, а на уровне размещения костей плюсны пальпируется впадина по типу борозды.
При тыльных вариантах на своде определяется костное удлиненное выпячивание с наличием ямки небольших размером в проксимальном расположении. Из-за напряжения сухожилий разгибающих мышц пальцы ноги в состоянии разгибания.
В большей части травмирования отмечается изменение свода ступни. При боковом перемещении передняя зона расширяется, а при подошвенных и тыльных видах — укорачивается (около 2,5 сантиметров).

Лечебные мероприятия
Вправление проводится под внутрикостной или общей анестезией. Для удобства вытягивания по оси ступни вставляют спицу и добиваются тракции.
Иммобилизировнаие проводится при помощи сапожка из гипса в течении восьми недель. В случае неудачных манипуляций применяется аппарат Илизарова.
При застарелых травмах показан оперативный метод — вправление с последующим артродезированием суставного сочленения. Для предупреждения рецидива кости содиняются шурупами либо спицами на протяжении трех недель, которые удаляются посредством выполненного окна в гипсовой повязке. Затем назначается комплекс реабилитационной терапии как при иных травмах ступни. Восстановление трудоспособности возможно лишь при своевременном проведении лечебных мероприятий спустя три месяца.
Вопрос-ответ
Что такое вывих в суставе Лисфранка и как он возникает?
Вывих в суставе Лисфранка представляет собой травму, при которой происходит смещение костей в области среднеспинальных суставов стопы. Это может произойти в результате прямого удара, падения с высоты или чрезмерного растяжения, например, при занятиях спортом или активной физической деятельности.
Какие симптомы могут указывать на вывих в суставе Лисфранка?
Симптомы вывиха в суставе Лисфранка включают сильную боль в области стопы, отек, ограничение подвижности, а также деформацию стопы. Пациенты могут испытывать трудности при ходьбе и стоянии, а также могут заметить изменение формы стопы.
Каковы основные методы лечения вывиха в суставе Лисфранка?
Лечение вывиха в суставе Лисфранка может включать консервативные методы, такие как иммобилизация с помощью гипса или ортопедической обуви, а также физиотерапию. В более тяжелых случаях может потребоваться хирургическое вмешательство для восстановления нормального положения суставов и связок.
Советы
СОВЕТ №1
При подозрении на вывих в суставе Лисфранка, немедленно обратитесь к врачу. Самостоятельная диагностика и лечение могут привести к серьезным осложнениям, поэтому важно получить профессиональную медицинскую помощь как можно скорее.
СОВЕТ №2
После получения медицинской помощи следуйте всем рекомендациям врача, включая режим покоя и реабилитационные упражнения. Это поможет восстановить функцию сустава и предотвратить повторные травмы.
СОВЕТ №3
Используйте ортопедическую обувь или специальные стельки, чтобы снизить нагрузку на суставы и обеспечить правильное распределение веса во время восстановления. Это поможет уменьшить боль и ускорить процесс заживления.
СОВЕТ №4
Обратите внимание на укрепление мышц и связок вокруг сустава. Регулярные упражнения на растяжку и укрепление помогут улучшить стабильность сустава и снизить риск повторных вывихов в будущем.


