Остеодистрофия – это патологический процесс, характеризующийся сменой структурных элементов кости фиброзными волокнами. В результате этого изменения наблюдаются частые переломы костей.
Этиологические факторы
В современной медицине многие этиологические факторы до конца не выявлены, но найдены основания для попадания в потенциальную группу риска заболевшего. В связи с этим они делятся на четыре группы:
- Ранее нарушение правил формирования рациона. К примеру, усиленное кормление ребенка пищей, содержащей большое количество жира, углеводов и солей, может привести к описанной патологии во взрослом возрасте. В качестве профилактики в рацион ребенка надо вводить побольше витаминов для лучшего усваивания жиров, углеводов. А также уделить большое внимание в недопущении переедания ребенка.
- По половому признаку чаще всего поражаются лица женского пола в возрасте до 25 лет.
- Серьезные дисфункции эндокринной системы. Тем более, когда нарушено питание, подобно выше описанному
- Химическая интоксикация, в том числе фтором (формируются наросты с дальнейшим деформированием костей), свинцом (способствует повышенной ломкости и развитию остеосклероза).
Врачи отмечают, что остеодистрофия представляет собой группу заболеваний, связанных с нарушением метаболизма костной ткани. Классификация включает первичные и вторичные формы, которые могут быть вызваны генетическими факторами, эндокринными нарушениями или дефицитом витаминов и минералов. Основные проявления заболевания включают болевой синдром, деформации костей и повышенную ломкость. Важно, что ранняя диагностика и адекватное лечение могут значительно улучшить качество жизни пациентов. Лечение обычно включает коррекцию питания, применение витаминов, таких как витамин D, и минералов, а также медикаментозную терапию для укрепления костной ткани. Врачи подчеркивают необходимость комплексного подхода, который включает как медикаментозные, так и немедикаментозные методы, для достижения наилучших результатов в лечении остеодистрофии.

Классификация
По этиологическому фактору подразделяют дистрофию на:
- Эндогенная (наличие патологии внутри организма, которая привела к заболеванию).
- Экзогенная (Внешняя причина).
Патологии характерны:
- Обездвиженность, это состояние зависит от поврежденного участка вследствие образования остеофитов.
- Развивается остеопороз, приводящий к ненормальной хрупкости.
- Остеомаляция (процесс, характеризующийся размягчением костной ткани) по причине недостатка витамина D.
- Остеосклероз в виде уплотнения костной массы и специфического утолщения костных трабекул.
По своему виду остеодистрофическая патология в организме бывает:
- Надпочечная или почечная вследствие ХПН.
- Паратиреоидная по причине наличия новообразований в щитовидной железе.
- Желудочная, кишечная либо печеночная, которой свойственно расстройство ЖКТ.
- Ишемическая по причине нарушения снабжения кровью определенной зоны
Патологический процесс дополнительно классифицируется на первичные и вторичные формы.
Фиброзная остеодистрофия
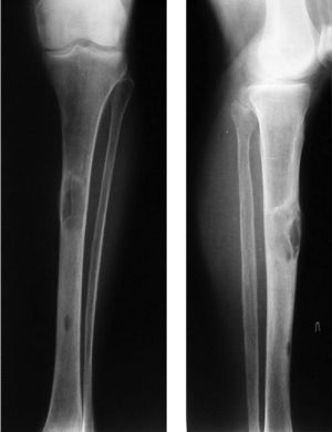
Самой распространенной и необъяснимой формой выступает фиброзная остеодистрофия. Ей свойственно очаговое рассасывание костной ткани с дальнейшим трансформированием в соединительнотканную структуру. Эта форма до конца не изучена, лишь имеется описание клинического проявления. Оно характеризуется своеобразным утолщением кости в определенных местах. На начальных этапах поврежденная зона ничем не отличается, однако спустя определенный промежуток времени пациент ощущает боли. Костная ткань деструктируется, а в местах повреждения отмечается припухлость плотной и эластичной консистенции, обнаруживаемая во время пальпирования.
Остеодистрофия вызывает множество обсуждений среди специалистов и пациентов. Многие отмечают, что это заболевание связано с нарушением обмена веществ в костной ткани, что приводит к её деформации и слабости. Врачи подчеркивают важность ранней диагностики, так как симптомы могут проявляться в виде болей в костях, повышенной ломкости и деформаций. Лечение часто включает медикаментозную терапию, направленную на восстановление минеральной плотности, а также физиотерапию для улучшения подвижности. Пациенты делятся опытом, что комплексный подход, включающий правильное питание и физическую активность, значительно улучшает качество жизни. Однако важно помнить, что индивидуальный подход к каждому случаю является ключевым для успешного лечения.

Почечная остеодистрофия
Она образуется в результате ПН с хроническим течением. Вследствие ХПН происходит расстройство обмена кальция и фосфора, а последнее становится причиной развития остеодистрофического процесса.
Симптомокомплекс
К симптоматической картине относится деформация костей и наличие патологических переломов рук и ног. В дополнение к этому добавляется болезненность в костях при физнагрузке, даже при незначительной (подъем кружки с чаем).
Отмечается общая слабость в конце трудового дня в сочетании с наличием болевых ощущений в костных структурах. Спустя определенное время болевой синдром проявляется в покое.
Почечной остеодистрофии может характеризоваться наличием зуда, парестезий и онемения ног и общей мышечной слабостью.
Первоначальные ограничения и затруднения в движениях в последствие приводят к нарушению координации движений.

Лечебные мероприятия
Этот комплекс имеет прямую зависимость от формы проявления и этиологического фактора. В этом случае показаны гормонсодержащие препараты (стероидные) в сочетании с нестероидными противовоспалительными средствами. Основу лечения также составляют хондропротекторы и медпрепараты, содержащие кальций и комплекс витаминов
В дополнение к медикаментозной терапии применяют физиотерапевтические процедуры, снижение физнагрузки, а также занятия ЛФК.
В профилактических целях рекомендуется соблюдать правильный рацион и стремление укрепить мышечный корсет с детского возраста.
Вопрос-ответ
Что такое остеодистрофия?
Остеодистрофия представляет собой группу нарушений обмена веществ в костной ткани, которые могут привести к их деформации и ослаблению. Это состояние может быть связано с различными заболеваниями и нарушениями в организме. Другие названия заболевания: Остеодистрофические изменения, дистрофические изменения в костях.
Как лечить почечную остеодистрофию?
Основные методы лечения почечной остеодистрофии включают фосфатсвязывающие препараты, соединения витамина D и кальцимиметики . Было показано, что фосфатсвязывающие препараты, содержащие алюминий, токсичны для костей из-за их влияния на метаболизм костной ткани, минерализацию и объем костной ткани.
Какое лечение при остеопении?
Часто врачи назначают специализированные лекарственные препараты для борьбы с остеопенией: бисфосфонаты, кальцитонин, терипаратид. Иногда требуется заместительная гормональная терапия эстрогенами и прогестероном.
Что подтверждает остеодистрофию при ХБП?
Она подтверждается грубым нарушением реабсорбции воды с развитием стойкой полиурии со стойкой щелочной реакцией мочи, небольшой протеинурией у большинства.
Советы
СОВЕТ №1
Регулярно проходите медицинские обследования, особенно если у вас есть предрасположенность к остеодистрофии. Это поможет выявить заболевание на ранней стадии и начать лечение вовремя.
СОВЕТ №2
Обратите внимание на свой рацион питания. Убедитесь, что он богат кальцием и витамином D, которые играют ключевую роль в поддержании здоровья костей. Включайте в меню молочные продукты, рыбу и зеленые листовые овощи.
СОВЕТ №3
Поддерживайте активный образ жизни, включая физические упражнения, которые укрепляют кости. Однако избегайте чрезмерных нагрузок и травмоопасных видов спорта, чтобы не усугубить состояние.
СОВЕТ №4
Обсуждайте с врачом возможные варианты лечения, включая медикаментозную терапию и физиотерапию. Индивидуальный подход поможет выбрать наиболее эффективные методы для вашего случая.

