Рабдомиосаркома относится к редко регистрируемым злокачественным опухолям из незрелой поперечно-полосатой мышечной ткани.
Это — злокачественное мягкотканевое новообразование, которое поражает в основном детский и подростковый организм. Развивается из незрелой мезенхимальной ткани, которая является предшественницей скелетной мускулатуры. Развивается в поперечно-полосатой мускулатуре, клетчатке и гладкомышечном слое внутренних органов. Лицевая и шейная локализация обуславливается ненормальным внутриутробным формированием дериватов жаберных дуг. Мальчики вовлекаются в процесс чаще, чем девочки.
Этиология
Этиологический фактор до конца не изучен. Врожденные опухоли, повышенный риск заболеваемости у близких родственников, комбинация патологии с изолированными аномалиями развития и разными врожденными синдромами свидетельствуют о наследственной склонности. У трети больных сочетается с аномалиями формирования ЦНС, гениталий, мочевыводящей системы, ЖКТ и ССС.
Патология может развиться при синдроме Ли-Фраумени, Реклингхаузена и Рубинштейна-Тейби.
Врачи подчеркивают важность правильной классификации рабдомиосаркомы, так как это напрямую влияет на выбор метода лечения и прогноз для пациента. Существует несколько типов этой опухоли, включая эмбриональную, альвеолярную, плевральную и другие, каждая из которых имеет свои характерные особенности и проявления. Эмбриональная форма чаще встречается у детей и может проявляться в виде опухолей мягких тканей, тогда как альвеолярная форма чаще диагностируется у подростков и молодых людей, имея более агрессивное течение. Врачи отмечают, что ранняя диагностика и понимание клинических проявлений, таких как отеки, боли и изменения в функции органов, могут существенно улучшить результаты лечения. Совместная работа онкологов, хирургов и радиологов необходима для разработки индивидуализированного подхода к каждому пациенту, что повышает шансы на успешное выздоровление.
https://youtube.com/watch?v=PG0c6raNil8
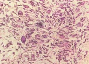
Классификация
Учитывая особенности цитологической структуры определяют следующие виды:
- Альвеолярная. Выполнена овальными либо сферическими незрелыми клетками с почкообразным или дольчатым ядром, которые напоминают клетки поперечно-полосатой мускулатуры плода сроком 10-20 недель. Формируют скопления, разделяемые фиброзными перегородками, этим они похожи на альвеолярную ткань. Зачастую образуется в области туловища, рук и ног. Преимущественно поражаются люди в возрасте 5-20 лет.
- Эмбриональная. Выполнена полиформными клетками: вытянутыми, округлыми и пр., которые располагаются в миксоматозном веществе. Имеет схожесть с аналогичными мышцами плода в 7-10 недель. Зачастую размещается в глазной, лицевой и шейной области и мочеполового пути Преимущественно выявляется у детей в возрасте 3-12 лет. К такой форме относится и веретеноклеточный вариант, который сходен с ним по прогнозу и клиническому течению.
- Плеоморфная. Выполнена вытянутыми клетками пауковидной, ракетковидной и полосовидной формы. Не имеет никакой схожести с поперечно-полосатой мышечной тканью человека и плода. Обычная локализация — в области туловища либо рук и ног.
- Ботриоидная. Наблюдается в 6% от общего числа. Не поражает кожу. Проявляется в виде клеточного скопления, которое располагается под эпителиальными клетками слизистой. Этот вид похож на эмбриональный. Зачастую располагается в носоглотке, влагалищной полости, мочевом пузыре и иных органах, имеющих слизистую. Преимущественно наблюдается до восьмилетнего возраста.
В онкологии подразделяют на четыре группы:
- 1-ая:
- 1А – опухоль не выходит за границы вовлеченной мышцы либо органа.
- 1Б – повреждение близ размещенных органов и тканей. Отсутствие опухолевых клеток на линии иссечения по результатам гистоисследования.
- 2-ая:
- 2А – повреждение окружающих тканей, лимфоузлы не вовлечены в процесс, макроскопически новообразование иссечено полностью, по результатам исследования определяются атипичные клетки по линии иссечения.
- 2Б –метастазирование в регионарные лимфатические узлы, послеоперационное гистоисследование свидетельствует о полном иссечении новообразования.
- 2В – повреждение регионарных лимфоузлов, исследования говорят о наличии атипичных клеток по линии иссечения опухоли.
- 3-ая – опухолевое образование иссечено не полно.
- 4-ая – метастазирование.
Симптоматическая картина
Клиническая картина сформирована местом локализации опухоли, уровнем вовлеченности рядом расположенных органов и метастазированием. Поверхностное размещение в скелетных мышцах туловища и конечностей, лица, шеи представлена в виде плотного, безболезненного опухолеподобного образования.
Локализация на конечностях способны вызывать расстройство функционирования последних. Растущая забрюшинная опухоль может спровоцировать сдавливание брюшнополостных органов, являясь причиной болевого ощущения и дисфункции ЖКТ.
Средостенное новообразование может привести к дыхательной недостаточности из-за уменьшения легочного объема.
При повреждении ЛОР-органов могут развиться дисфагия, воспаления синусов, геморрагии и выделения из носовых ходов с одной стороны, односторонние воспаления среднего уха, а также периферический паралич лицевого нерва.
При повреждении орбиты могут развиться косоглазие, опущение верхнего века и снижение остроты зрения.
Размещение опухоли в малом тазу образуются запоры и расстройство мочеиспускания. Повреждение мочеполовых путей провоцирует появление в моче крови и ее задержка. Новообразования женских гениталий приводят к маточным и влагалищным геморрагиям. Новообразование способно метастазировать в регионарные лимфоузлы и отдаленные органы. Основными мишенями становятся кости и легкие.
Рабдомиосаркома — это редкая, но агрессивная форма рака, которая чаще всего поражает детей и подростков. Люди, столкнувшиеся с этой болезнью, отмечают, что ранняя диагностика играет ключевую роль в успешном лечении. Симптомы могут варьироваться в зависимости от места опухоли: от опухолей в мягких тканях до проблем с дыханием при поражении легких. Многие родители делятся опытом о том, как важно обращать внимание на любые необычные изменения в состоянии здоровья детей, такие как отеки или боли, которые могут указывать на наличие опухоли. Врачи подчеркивают, что классификация рабдомиосаркомы на разные подтипы помогает выбрать наиболее эффективную терапию. Сообщества поддержки становятся важным ресурсом для семей, сталкивающихся с этой болезнью, предоставляя информацию и эмоциональную поддержку в трудные времена.

Диагностирование
Диагностирование осуществляется на основе анамнестических данных, клинических признаках, показателей лабораторно-инструментальных анализов. В качестве последних используют рентгенографию, УЗИ, МРТ поврежденной области и прочее.
Лечебные мероприятия
Лечебные меры характеризуются комплексностью, и предусматривают лучевое лечение, химиотерапию и радикальное хирургическое иссечение. Объем последней зависти от степени и места расположения новообразования. В первых двух случаях также проводится индивидуальный подбор химиопрепаратов и дозы.
Жизненный прогноз зависит от вида, места расположения, величины, а также возраста больного. Самым благоприятным является эмбриональный вид.

Вопрос-ответ
Что такое рабдомиосаркома и каковы ее основные типы?
Рабдомиосаркома — это злокачественная опухоль, развивающаяся из мышечной ткани, чаще всего встречающаяся у детей и подростков. Основные типы рабдомиосаркомы включают эмбриональную, альвеолярную, плоскоклеточную и сателлитную. Каждый из этих типов имеет свои особенности, включая место возникновения и прогноз.
Каковы основные симптомы рабдомиосаркомы?
Симптомы рабдомиосаркомы могут варьироваться в зависимости от места расположения опухоли. Общие проявления включают опухоль или уплотнение в области пораженной ткани, боль, отек, а также возможные проблемы с функцией органов, если опухоль находится вблизи жизненно важных структур. Важно обратиться к врачу при появлении необычных симптомов.
Как диагностируется рабдомиосаркома?
Диагностика рабдомиосаркомы включает несколько этапов, таких как физикальное обследование, визуализирующие исследования (УЗИ, МРТ, КТ) и биопсия опухоли для гистологического анализа. Эти методы помогают определить тип опухоли и стадию заболевания, что критически важно для выбора правильной стратегии лечения.
Советы
СОВЕТ №1
Изучите основные симптомы рабдомиосаркомы, такие как опухоли в мягких тканях, боли и отеки. Раннее выявление может значительно повысить шансы на успешное лечение.
СОВЕТ №2
Обратите внимание на возрастные группы, наиболее подверженные риску развития рабдомиосаркомы, включая детей и подростков. Если у вашего ребенка есть подозрительные симптомы, не откладывайте визит к врачу.
СОВЕТ №3
Постоянно следите за новыми исследованиями и методами лечения рабдомиосаркомы. Научные достижения могут предложить новые подходы и улучшить качество жизни пациентов.
СОВЕТ №4
Не стесняйтесь обращаться за поддержкой к группам пациентов и их семьям. Общение с теми, кто сталкивается с подобными проблемами, может помочь вам справиться с эмоциональными и практическими аспектами болезни.


