В настоящее время в группе злокачественных болезней зачастую фиксируется эмбриональная рабдомиосаркома. Она может возникнуть у различных возрастных групп, однако в детском организме эта онкологическая патология наблюдается чаще всего.
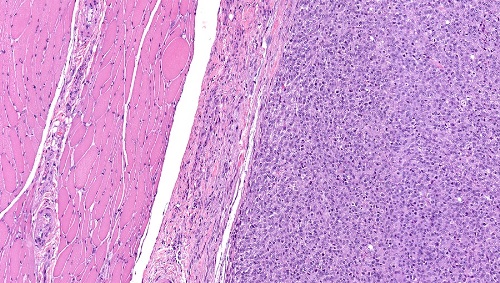
Патологическое состояние относится злокачественное новообразование, которое разрастается из поперечно-полосатой мышечной ткани. Местом локализации в организме может быть разные участки тела. При этом патологическом состоянии мышечные клетки приобретают разнообразную форму, вытягиваются либо округляются, клеточное ядро становится большим и приобретает яркую окраску. Происходит изменение свойств мышечной ткани в виде потери структуры, приобретает внешнее сходство с рабдомиомиобластами – эмбриональными клетками, которые впоследствии формируют мышечную ткань плода.
Классификация
С учетом строения трансформированных миоцитов выделяют следующие формы рабдомиосаркомы:
- Альвеолярная. Ей характерны сферические и овальные клетки, окруженные соединительнотканными перегородками. Обычно она локализуется на конечностях, стенке живота, грудной области, гениталиях и в зоне заднепроходного отверстия лиц подросткового возраста. В некоторых случаях встречается у взрослого населения и характеризуется тогда неблагоприятным течением и прогнозом.
- Мочевого пузыря. Ее относят к ботриодному виду, относится к разновидности выше описанного вида и разнится выраженной отечностью и трансформациями в строме.
- Плеоморфная. Ей характерны разноформенные клетки: звездчатых, веретеновидных, лентообразных. Частой локализацией выступают ноги и руки. Ей свойственно бессимптомное течение с сохранением органного функционирования и отсутствием болевого синдрома. Однако, зачастую проникает через кожные покровы, поверхность покрыта язвами, которые перерождаются в постоянно геморрагические опухоли.
- Эмбриональная форма выполнена округлыми либо веретеновидными патологически трансформированными миоцитами с наличием несильной исчерченности. Эта форма самая распространенная у детей и подростков. Локализуется в основном в области верхней челюсти, носоглотке, шее, мочеполовой системе. Жизненный прогноз крайне неблагоприятный.
- Кистевидная.
- Неинфицированная саркома мягких тканей.
- Анапластическая. Крайне редко эта форма развивается в детском и подростковом возрасте.
Врачи подчеркивают важность ранней диагностики эмбриональной рабдомиосаркомы у детей, так как это значительно повышает шансы на успешное лечение. Классификация опухоли основывается на её морфологическом типе и локализации, что помогает определить тактику терапии. Основные формы включают альвеолярную и эмбриональную, каждая из которых требует индивидуального подхода. Диагностика включает комплексное обследование, включая УЗИ, МРТ и биопсию. Терапия обычно комбинирует хирургическое вмешательство, химиотерапию и, в некоторых случаях, лучевую терапию. Врачи отмечают, что мультидисциплинарный подход и участие специалистов разных профилей играют ключевую роль в повышении эффективности лечения и улучшении прогноза для пациентов.

Этиология
До настоящего времени точно не выявлены причинные факторы, которые смогли бы спровоцировать клеточное перерождение и развитие новообразований. Новообразованию свойственна полиэтиологичность.
Имеется ряд версий, которые поясняют этиологию. К ним относят вирусную, канцерогенную и наследственную.
Группу риска составляют дети, которые рождены с большим весом и страдающие определенными наследственными синдромами (Костелло, Нунана, Беквит-Видемана и пр.). Провоцирующим фактором может стать воздействие токсических и канцерогенных веществ, травмирование, продолжительные незаживающие раневые поверхности, рентгеноблучение в период беременности.
Клинические проявления
Этот вид опухолди имеет разнообразную клинику, последняя зависит от места размещения и формы патпроцесса:
- Наличие самой опухоли, возвышающейся над поверхностью кожного покрова с отсутствием болевого ощущения. Ей свойственна неподвижность, высокая плотность и эластическая консистенция. Опухоль растет продолжительный период и постепенное увеличение в размерах.
- Пучеглазие, диплопия и косоглазие при локализации в глазной орбите.
- В случае прорастания через кожные покровы поверхность ее изъязвляется с постоянными геморрагиями.
- Носоглоточное размещение характеризуется заложенностью носа и выделениями с примесью крови.
- Ушная локализация (раковина и проход) проявляется в односторонней глухоте, слизистыми выделениями с наличием крови.
- При повреждении мочеполовой системы наблюдается отек наружных областей (мошонки) с кровянистыми выделениями.
- В мочевом пузыре – кровь в моче и мочеиспускание с болевым ощущением.
- Брюшная локализация характеризуется болью в животе, дисфункцией ЖКТ, рвотой, запорами.
Общими проявлениями для всех разновидностей, одновременно подтверждающими наличие интоксикационного процесса в организме, выступают: общее недомогание и ослабление организма, пониженный аппетит и, соответственно, уменьшение массы тела, специфический ответ со стороны лимфосистемы (увеличение размеров лимфоузлов).
Эмбриональная рабдомиосаркома — это редкая, но агрессивная опухоль, чаще всего встречающаяся у детей. Важность правильной классификации и диагностики этой болезни не может быть переоценена, так как от этого зависит выбор эффективной терапии. Врачи подчеркивают, что раннее выявление опухоли значительно увеличивает шансы на успешное лечение. Современные методы диагностики, включая МРТ и ПЭТ, позволяют точно определить стадию заболевания и его локализацию.
Что касается терапии, то она обычно включает хирургическое вмешательство, химиотерапию и, в некоторых случаях, радиотерапию. Родители детей с этим диагнозом отмечают, что мультидисциплинарный подход, включающий педиатров, онкологов и хирургов, обеспечивает комплексную поддержку и оптимальные результаты. Однако, несмотря на достижения медицины, эмоциональная нагрузка на семьи остается значительной, и многие родители подчеркивают важность психологической помощи в процессе лечения.

Диагностирование
Диагностирование и дифдиагностика опухолевого образования требует проведения комплексного обследования больного. С этой целью проводят следующее:
- Сбор подробного анамнеза заболевания, в том числе наличие вредных привычек, острых и хронических патологий (в т.ч. и среди родственников) и методах их лечения, операций.
- Осуществляется физикальный осмотр с тщательным обследованием поверхностных лимфоузлов.
- Рентгенисследование, УЗИ, сцинтиграфия, МРТ и КТ.
- Общее и клиническое мсследование крови, мочи.
- Анализ ликвора.
- Биопсия для их цитологического анализа.
- для определения наличия метастазов.
Лечебные мероприятия
Лечебный процесс отличается комплексностью:
- операция;
- химиолечение;
- лучевая терапия;
- костномозговая трансплантация.
Первый метод предусматривает иссечение опухоли и рядом расположенных тканей вместе с регионарными лимфоузлами во избежание метастазирования в будущем. Предоперационный период включает в основном прием химиопрепаратов и лучевую терапию.
В постоперационный периоде также показаны химиотерапия и лучевая терапия.
Дозировка медикаментов для химиотерапии, длительность и количество лечебных курсов зависят от общего состояния пациента, стадии формирования патпроцесса и вероятности рецидива.

Вопрос-ответ
Что такое эмбриональная рабдомиосаркома?
Эмбриональная рабдомиосаркома — опухоль, характерная для детей раннего возраста.
Сколько живут с рабдомиосаркомой?
5-летняя выживаемость составляет приблизительно 65%. Они часто возникают в области головы-шеи и живота-таза, реже — в конечностях. Рабдомиосаркома происходит из полосатой мышцы и имеет различные подтипы (эмбриональный, альвеолярный, плеоморфный и смешанный).
Можно ли вылечиться от рабдомиосаркомы?
Рецидивы рабдомиосаркомы лечатся хуже всего. Болезнь возвращается после лечения примерно у 30% пациентов. Лечить рецидив очень сложно, вылечить удается крайне редко.
Как выглядит рабдомиосаркома?
Наиболее распространенным симптомом является уплотнение или припухлость . Другие симптомы будут зависеть от части тела, пораженной рабдомиосаркомой: опухоль в области головы или шеи иногда может вызывать закупорку (обструкцию) и выделения из носа или горла, иногда глаз может казаться опухшим и выпученным.
Советы
СОВЕТ №1
При подозрении на эмбриональную рабдомиосаркому у ребенка, не откладывайте визит к врачу. Ранняя диагностика играет ключевую роль в успешном лечении, поэтому важно обратиться к специалисту при первых признаках заболевания.
СОВЕТ №2
Обсуждайте все возможные варианты лечения с онкологом. Эмбриональная рабдомиосаркома может требовать комплексного подхода, включая химиотерапию, радиотерапию и хирургическое вмешательство. Понимание всех этапов лечения поможет вам лучше подготовиться и поддержать ребенка.
СОВЕТ №3
Поддерживайте эмоциональное состояние ребенка и всей семьи. Диагностика рака может быть стрессовой для всех членов семьи, поэтому важно создать поддерживающую атмосферу, общаться открыто и, при необходимости, обращаться за психологической помощью.
СОВЕТ №4
Изучайте информацию о заболевании и его лечении. Знание о эмбриональной рабдомиосаркоме, ее симптомах и методах терапии поможет вам лучше понимать процесс и принимать осознанные решения в интересах вашего ребенка.

