Большинство из нас редко обращают внимание на неприятные ощущения, периодические боли в колене, списывая это на старый ушиб. А зря, это вполне может быть началом очень серьезного заболевания – гонартроза. Так называется артроз коленного сустава, когда хрящевая ткань подвергается изменениям и со временем практически теряет подвижность.
Мы привыкли думать, что такие заболевания – удел стариков. На самом деле сейчас недуг встречается в любом возрасте, хотя больше склонны к нему люди старше 40 лет. Причина проста – изменения хрящевой ткани начинаются после травм колена, что очень часто бывает у любителей активного образа жизни. Причиной может быть инфекция, нарушение кровоснабжения при наличии варикозных вен, особенно если имеется избыточный вес.
Виды заболевания
Заболевание проявляется по-разному. Например, может поражаться одна нога – правосторонний или левосторонний, или два – тогда оно называется двусторонним гонартрозом.
По своему происхождению гонартроз может быть двух видов:
- Первичный – его жертвой становится любой здоровый человек. Слишком большие, регулярные физические нагрузки, возрастные изменения хрящей, болезни с нарушением обмена веществ, избыточный вес… Все это прямым или косвенным образом приводит к деформациям. Первичный гонартроз может быть двусторонним.
- Вторичный гонартроз появляется после травмы или другого заболевания, например – артрита. Плохое, незавершенное лечение одной болезни со временем приводит к его проявлению.
Как первичный, так и вторичный гонартроз со временем приводит к патологической деформации хрящевой, костной ткани коленных суставов, что очень снижает их подвижность, а без адекватного лечения со временем может привести к инвалидности.
Врачи отмечают, что двусторонний гонартроз представляет собой серьезную проблему, требующую комплексного подхода к диагностике и лечению. Основные симптомы, такие как боль и ограничение подвижности в коленях, часто приводят пациентов к специалистам. Для точной диагностики используются рентгенография и МРТ, позволяющие оценить степень повреждения суставов.
Лечение гонартроза включает как консервативные методы, так и хирургическое вмешательство. Врачи рекомендуют начинать с физиотерапии, лечебной физкультуры и медикаментозной терапии, направленной на уменьшение воспаления и боли. В некоторых случаях, когда консервативные методы оказываются неэффективными, может потребоваться операция, например, артропластика. Важно, чтобы пациенты соблюдали рекомендации врачей и следили за своим образом жизни, включая правильное питание и умеренные физические нагрузки, что способствует замедлению прогрессирования заболевания.

Течение заболевания
Эта болезнь не начинается сразу, у неё есть определенные, четко выраженные периоды. Их делят на 3 степени:
- 1 степень – коленные суставы могут болеть иногда после долгой прогулки или бега. Иногда колено может немного опухать, но после отдыха все проходит. Хотя это только самое начало заболевания, но встречается и двухсторонний гонартроз 1 степени, с поражением обоих ног.
- 2 степень – даже при небольшой нагрузке человек начинает чувствовать сильную боль. Пройти небольшое расстояние или поднять небольшую тяжесть для него становится пыткой. Становится слышен хруст при сгибании колена, разгибании. Больное колено становится больше здорового, появляется скованность движений. Двухсторонний гонартроз 2 степени способен сильно ограничить жизнь больного человека.
- 3 степень – боли в колене есть практически все время, независимо от того, сидит человек или идет. Постоянная боль может не давать человеку спать. Хорошо заметно, что больной сустав сильно увеличен по сравнению со здоровым. Деформация больного колена вызывает заметное искривление ног. Больные суставы на этой стадии очень ограничены в движении.
Как правило, заболевание 1 степени проходит незамеченным – человека оно практически не беспокоит, а идти на прием из-за небольшой боли в колене… Многие считают это просто несерьезным, и очень ошибаются – потому что вылечить болезнь на этом этапе можно практически полностью довольно быстро.
На прием к врачу попадают обычно с гонартрозом 2 степени, как правило – двусторонним. Болезнь заходит слишком далеко, вызывая необратимые изменения суставов, поэтому избавиться от нее полностью уже не удается – можно лишь надолго отодвинуть наступление 3 степени.
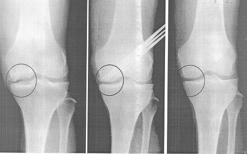
Диагностика недуга
Конечно, в запущенном виде можно визуально определить увеличение, деформацию колена. Но гораздо надежнее работают методы исследования — рентгенография, УЗИ, компьютерная томография, МРТ – магнитно-резонансная томография. Любой из этих способов может показать изменения хрящевой ткани, а тем более – костные наросты вокруг головок сустава.
Для полной постановки диагноза врач обязательно назначит анализ крови. Особенно поможет ему анализ ревматоидного фактора. Другие способы диагностики назначаются больше для уточнения индивидуальных особенностей.
Двусторонний гонартроз — это заболевание, которое вызывает множество вопросов и обсуждений среди пациентов и специалистов. Многие люди отмечают, что диагностика недуга часто начинается с простого осмотра и сбора анамнеза, но для точного определения степени поражения суставов необходимы дополнительные исследования, такие как рентгенография или МРТ.
Лечение гонартроза может быть комплексным: от консервативных методов, таких как физиотерапия и медикаментозная терапия, до более радикальных подходов, включая хирургическое вмешательство. Пациенты делятся опытом использования хондропротекторов и противовоспалительных средств, которые помогают облегчить симптомы. Важно также отметить, что регулярные физические нагрузки и соблюдение диеты играют ключевую роль в замедлении прогрессирования заболевания. Обсуждения на форумах показывают, что многие люди находят поддержку в общении с теми, кто сталкивается с аналогичными проблемами, что помогает не только в лечении, но и в психологической адаптации к новому состоянию.

Лечение
Заболевания суставов – не из тех, которые можно лечить самостоятельно. Лечиться можно только под контролем и по назначению врача. Особенно самолечение чревато последствиями при двухстороннем гонартрозе, да еще 2 степени – можно усугубить ситуацию и превратиться в полного инвалида.
Врач правильно оценит течение болезни, назначит соответствующие физиопроцедуры, лечение. Терапия направлена на улучшение кровоснабжения больной ноги, увеличении её подвижности. Кроме того, могут назначить уколы или таблетки из группы нестероидных противовоспалительных – для уменьшения воспалительного процесса, обезболивания. Все это довольно эффективно, когда болезнь не запущена.
В тяжелых же случаях, когда функция колена полностью нарушена, оно сильно деформировано, вызывает постоянную боль, врач может принять решение, что необходима операция. Методы оперативного лечения бывают разные – от наложения металлических конструкций, до замены его частей на искусственные. В особо трудных случаях хирург заменит полностью весь сустав.
Как видите, путь от непролеченного ушиба колена до такой тяжелой болезни, как гонартроз, очень небольшой. Так что не стоит относиться к таким «мелочам» пренебрежительно. Любая болячка должна быть вылечена полностью, тогда от нее не придется получать подобных «сюрпризов».
Вопрос-ответ

Как остановить гонартроз 2 степени?
Лечение гонартроза 2 степени будет успешным, только если убрать остеофиты и вернуть суставу подвижность. Когда хрящевая ткань полностью исчезает, обнажается кость и сужается суставная щель, диагностируют самую тяжёлую степень – деформирующий гонартроз.
Какие препараты нужно принимать при гонартрозе?
Среди них Кетопрофен, Диклофенак, Нимесил, Коксиб, Целебрекс, Мелоксикам, Мовалис, Алфлутол, Артифлекс и мн. Др.
Как диагностировать гонартроз?
Рентгенографии коленного сустава, КТ (компьютерная томография) коленного сустава, МРТ колена, в некоторых случаях требуется выполнения топограммы (оси конечностей).
Как болит нога при гонартрозе?
Боль можно охарактеризовать как ноющая, стягивающая. Возникает симптом «стартовой боли» — боли при начале движения, например, если человек резко встает. В коленном суставе можно быть заметен небольшой отек, который самостоятельно возникает и самостоятельно исчезает.
Советы
СОВЕТ №1
Регулярно проходите медицинские осмотры и обследования, особенно если у вас есть предрасположенность к заболеваниям суставов. Раннее выявление гонартроза может значительно улучшить прогноз и эффективность лечения.
СОВЕТ №2
Следите за своим весом и старайтесь поддерживать его в пределах нормы. Избыточная масса тела создает дополнительную нагрузку на суставы, что может усугубить симптомы гонартроза и ускорить его прогрессирование.
СОВЕТ №3
Занимайтесь физической активностью, но выбирайте щадящие виды спорта, такие как плавание или йога. Упражнения помогут укрепить мышцы вокруг коленного сустава и улучшить его подвижность, что может снизить болевые ощущения.
СОВЕТ №4
Обсудите с врачом возможность применения противовоспалительных средств и хондропротекторов. Эти препараты могут помочь уменьшить воспаление и замедлить разрушение хрящевой ткани в коленном суставе.



