Остеоид-остеома – это опухолевидное доброкачественное образование, которое формируется из костной ткани. Течение остеомы благоприятное и очень медленное без перерождения опухоли в злокачественное новообразование. Обычно, остеома встречается у детей и подростков мужского пола, а образование на лице чаще бывает у женщин.
Классификация заболевания
В зависимости от происхождения бывают два вида остеоид-остеом:
- Гиперпластическая, развивающаяся из костной ткани. К ним причисляют остеоидные остеомы и остеомы.
- Гетеропластическая развивается из соединительных тканей. К данной группе относятся остеофиты.
Структура остеомы никак не отличается от обычной костной ткани и может формироваться на костях черепа, лица, в частности в пазухах носа – гайморовой, лобной, решетчатой, клиновидной. В большинстве случаев остеомы бывают одиночными, множественные формируются на трубчатых костях при болезни Гарднера. Помимо этого, бывают врожденные многочисленные остеоид-остеомы на черепных костях, которые сочетаются с прочими пороками развития.
Остеофиты различают внутренние и наружные. Внутренние (эностозы) прорастают в костномозговой канал и бывают чаще одиночными. Исключением стает остеопойкилоз, который передается по наследству, и при котором возникают множественные образования, протекающие бессимптомно и обнаруживаются случайно при рентгенограмме по другому поводу.
Наружные остеофиты или экзостозы формируются на поверхности кости. Причинами возникновения экзостозов могут стать различные патологические процессы или они формируются без особой причины. Экзостозы обнаруживаются также случайно, поскольку не имеют выраженных симптомов, или обнаруживаются визуально, если имеется косметический дефект на теле. Кроме того, большие экзостозы могут сдавливать нервы, сосуды, ткани, тем самым вызывая определенную клиническую картину. В связи с этим происходит диагностирование опухоли. Остеофиты могут возникать не только на поверхности или внутри кости, но и на других тканях и органах, например в месте прикрепления сухожилий, в плевре, диафрагме, мозговой ткани, в сердечной оболочке.
Врачи отмечают, что остеоид-остеома является одной из наиболее распространенных доброкачественных опухолей костной ткани, чаще всего встречающейся у молодых людей. Специалисты подчеркивают, что данное образование обычно локализуется в длинных костях, таких как бедренная или большеберцовая, и может вызывать интенсивную боль, особенно в ночное время. Врачи рекомендуют обратить внимание на характерные симптомы, такие как местная болезненность и отек, так как это может указывать на развитие опухоли. Диагностика включает рентгенографию и, при необходимости, МРТ или КТ. Лечение чаще всего хирургическое, однако в некоторых случаях возможно консервативное наблюдение. Важно, чтобы пациенты не игнорировали симптомы и своевременно обращались за медицинской помощью, так как ранняя диагностика способствует успешному исходу лечения.

Клиническая картина
Симптоматика остеомы зависит от места ее локализации. Если опухоль находится на внешней стороне черепных костей, то оно представляет неподвижное, безболезненное, очень плотное образование. Остеома, растущая внутрь черепа, может вызвать головную боль, расстройства памяти, повышение внутричерепного давления, эпилептические припадки.
При расположении нароста в придатках пазух могут быть различные глазные симптомы:
- анизокория – размер значком не одинаковый;
- птоз – опущенное веко;
- диплопия — раздвоение в глазах;
- снижение зрения;
- экзофтальм — выпучивание глазного яблока.
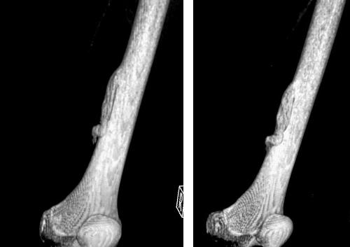
Остеомы, расположенные на трубчатых длинных костях обычно не вызывают неприятных симптомов и обнаруживаются случайно при рентгеновском исследовании или при подозрении на болезнь Гарднера.
Опухоль может расти бессимптомно или сопровождаться болями в зависимости от вида образования и его величины. Первые симптомы остеоид-остеомы – ограниченная боль, напоминающая мышечную. С развитием болезни боли могут спонтанно возникать и прогрессировать. Как правило, анальгетики помогают снять болевой синдром.
Если размер опухоли достаточно большой, то она может сдавливать нервы, сосуды, близлежащие ткани, вызывая соответствующую симптоматику – от снижения зрения до эпилептических приступов. Такие патологические разрастания требуют хирургического вмешательства. В том случае, когда опухоль не доставляет неудобств, ее не удаляю, кроме тех случаев, когда внешне имеется косметический дефект.
Доброкачественная опухоль остеоид-остеома вызывает множество обсуждений среди пациентов и специалистов. Многие отмечают, что это заболевание чаще всего поражает молодых людей, особенно в возрасте от 10 до 25 лет. Основные симптомы включают локализованную боль, которая усиливается ночью и может облегчаться при приеме нестероидных противовоспалительных препаратов. Пациенты часто делятся опытом о том, как эта опухоль влияет на их повседневную жизнь, ограничивая физическую активность и вызывая дискомфорт. Важно отметить, что, несмотря на доброкачественный характер, остеоид-остеома требует внимательного подхода к диагностике и лечению. Современные методы, такие как радиочастотная абляция, показывают хорошие результаты, что вселяет надежду в пациентов. Обсуждения на форумах и в социальных сетях помогают людям находить поддержку и обмениваться полезной информацией о лечении и реабилитации.
Диагностика и лечение заболевания
При диагностике следует дифференцировать остеому от солидной одонтомы, реактивных разрастаний костных тканей, оссифицированной фиброзной дисплазии, которые могут возникать в следствие инфекционных поражений или тяжелых травм. На начальных стадиях заболевания назначаются дополнительные методы исследований — рентгенография, информативная компьютерная томография. В зависимости от места расположения лечением данной доброкачественной опухоли занимаются челюстно-лицевые хирурги, нейрохирурги, травматологи.

Вопрос-ответ
Что такое остеоид-остеома и как она проявляется?
Остеоид-остеома — это доброкачественная опухоль, которая обычно возникает в костях, чаще всего в длинных костях, таких как бедренная или большеберцовая. Она проявляется болями, которые часто усиливаются ночью и могут облегчаться при приеме нестероидных противовоспалительных препаратов (НПВП). Боль может сопровождаться отеком и ограничением подвижности в пораженной области.

Как диагностируется остеоид-остеома?
Диагностика остеоид-остеомы включает рентгенографию, которая может показать характерные изменения в костной ткани, такие как небольшая луковичная область с остеосклерозом. В некоторых случаях может потребоваться компьютерная томография (КТ) для более точного определения размера и локализации опухоли. Также может быть назначено магнитно-резонансное исследование (МРТ) для оценки состояния мягких тканей вокруг опухоли.
Каковы методы лечения остеоид-остеомы?
Лечение остеоид-остеомы может включать наблюдение, если симптомы незначительны, или консервативные методы, такие как применение НПВП для облегчения боли. В случаях, когда опухоль вызывает значительный дискомфорт или ограничения в движении, может потребоваться хирургическое вмешательство для удаления опухоли. Лазерная абляция и радиочастотная абляция также являются современными минимально инвазивными методами лечения, которые могут быть эффективными.
Советы
СОВЕТ №1
Обратитесь к врачу при первых симптомах. Если вы испытываете постоянные боли в костях или суставе, не откладывайте визит к специалисту. Раннее диагностирование остеоид-остеомы может значительно улучшить прогноз и облегчить лечение.
СОВЕТ №2
Следите за изменениями в своем состоянии. Ведите дневник симптомов, фиксируя интенсивность боли и другие изменения. Это поможет врачу лучше понять вашу ситуацию и выбрать наиболее эффективный метод лечения.
СОВЕТ №3
Изучите доступные методы лечения. Остеоид-остеома может быть лечена различными способами, включая медикаментозную терапию и хирургическое вмешательство. Обсудите с врачом все возможные варианты и выберите тот, который подходит именно вам.
СОВЕТ №4
Не забывайте о реабилитации. После лечения важно следовать рекомендациям врача по восстановлению, включая физическую терапию и упражнения. Это поможет восстановить функцию пораженной области и предотвратить рецидивы.


