Гиперостоз представляет собой патологию, характеризующейся увеличением вещества в нормальной костной ткани. Он выступает ответом костной ткани на излишнюю физнагрузку либо может стать признаком хронической инфекционной болезни, остеомиелита, каких-то отравлений и интоксикаций, определенных онкологий, радиопоражения, патологии эндокринной системы, нейрофиброматоза и других заболеваний.
Патологическое разрастание нормальной костной ткани в диафизарных частях, проявляющееся изменением надкостницы невоспалительного характера по типу наслаивания, называется периостоз.
Классификация
Каждый вид может выступать как самостоятельной болезнью, так и проявлением какого-то другого заболевания.
По генерализации выделяются следующие формы гиперостоза:
- локальный;
- генерализованный.
К характерным совйствам первого типа относится повреждение кости при постоянных физнагрузках. Она может сопровождать некоторые онкологии, всевозможные хронические патологии, и выступать симптомом синдрома Морганьи-Стюарта-Мореля. Второй тип сопровождает синдром Камурати-Энгельманна (патологическое состояние с аутосомно-доминантным механизмом передачи).
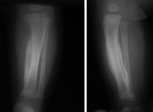
Увеличение массы в трубчатых костях называется периостоз. Представителем его служит синдром Мари-Бамберга, который характеризуется локализацией в голенях, предплечьях с характерным деформированием фаланг.
Гиперостоз костей представляет собой патологическое состояние, характеризующееся избыточным образованием костной ткани. Врачи отмечают, что это заболевание может быть связано с различными факторами, включая генетическую предрасположенность, травмы и воспалительные процессы. Наиболее распространенными формами гиперостоза являются диффузный и локализованный гиперостоз, каждый из которых имеет свои клинические проявления и требует индивидуального подхода в диагностике и лечении.
Специалисты подчеркивают, что ранняя диагностика играет ключевую роль в успешном лечении гиперостоза. Симптомы могут варьироваться от болей в костях до ограниченной подвижности суставов, что значительно снижает качество жизни пациентов. Врачи рекомендуют проводить регулярные обследования, особенно для людей с предрасположенностью к данному заболеванию. Лечение может включать медикаментозную терапию, физиотерапию и в некоторых случаях хирургическое вмешательство. Важно, чтобы пациенты находились под наблюдением специалистов, чтобы избежать осложнений и улучшить прогноз.

Патологоанатомическая симтоматика
Зачастую патология повреждает трубчатые кости. Наблюдается две формы развития:
- Поражение всех костных элементов – повреждение надкостницы, уплотняются и утолщаются корковые и губчатые волокна, количество незрелых клеток увеличивается, свойственно нарушение архитектоники кости, атрофические явления в костномозговой массе, а также трансформация в соединительную ткань или разрастание из кости.
- Локализованное повреждение губчатого вещества в виде склеротических очагов — гипертрофическая остеоартропатия (синдром Мари-Бамберга).
Гипертрофическая остеартропатия
Патологии свойственны многочисленные симметрично располагающиеся гиперостозы в голенях, предплечьях, пястных и плюсневых костях. Утолщаются пальцы по типу «барабанных палочек», ногтевые пластинки подобны «часовым стеклам». Пациенты предъявляют жалобы на болевые проявления в суставных сочленениях и костях. Наблюдаются вегетативные нарушения в виде гипергидроза, кожа в пораженной зоне или приобретает сильно красный оттенок, или необычную бледность. Свойственны артриты локтевых, пястно-фаланговых, лучезапястных, голеностопных и коленных сочленений по рецидивирующему типу, клиника их малосимптомна. В некоторых вариантах наблюдаются утолщение дермы в области лба и носа. Гиперостозные проявления выступают вторичным проявлением и ответом кости на хроническую ишемию и изменение электролитного баланса. Он может развиться вследствие злокачественных новообразований дыхательной системы, хронических воспалений там же, из-за патологий почечной системы и ЖКТ, а также врожденного порока сердца. Редкой причиной может стать эхинококкоз, цирротическое поражение печени или лимфогранулез.
У некоторых больных эта патология возникает резко и не имеет связи ни с одной болезнью. При рентгенисследовании излюбленных мест локализации на конечностях, а также других поврежденных областей тела наблюдается симметричное утолщение диафизарной части, которое образовалось вследствие ровных, гладких периостальных наслаиваний. В последующем последние более уплотняются и соединяются с корковым слоем.
Гиперостоз костей — это состояние, которое вызывает множество вопросов и обсуждений среди людей, столкнувшихся с этой патологией. Многие отмечают, что это заболевание может проявляться различными симптомами, такими как боль в костях, ограничение подвижности и даже деформация конечностей. Некоторые пациенты делятся своими переживаниями о том, как гиперостоз влияет на их повседневную жизнь и физическую активность. В то же время, врачи подчеркивают важность ранней диагностики и комплексного подхода к лечению, включая медикаментозную терапию и физиотерапию. Обсуждения на форумах часто касаются методов облегчения симптомов и рекомендаций по образу жизни. Люди ищут поддержку и советы, делясь личным опытом и находя единомышленников, что помогает им справляться с этой сложной ситуацией.

Системный диафизарный врожденный гиперостоз
Другое название патологического состояния — болезнь Камурати-Энгельманна, которая была выявлена в первой половине двадцатом веке врачом Камурати (Италия) и хирургом Эгельманном (Австрия). Она входит в группу генетических патологических проявлений, передача которых осуществляется по аутосомно-доминантному виду. Патологические явления формируются в диафизарных зонах бедренных, плечевых и большеберцовой костей. И как исключение возможно повреждение иных костей.
Наблюдается тугоподвижность суставных сочленений, мышечная масса уменьшается. Формируется спецефическая «утиная» походка.
Лечебные мероприятия
Патология имеет начало в детском возрастном периоде.
Терапия этого патологического состояния основана на нивелировании признаков. Дополнительно осуществляется общеукрепляющее лечение, в случае выраженных болевых симптомов применяются кортикостероидные препараты.

Прогноз
Прогностически это патологическое состояние для заболевшего благоприятно
Вопрос-ответ
Как лечить гиперостоз?
Лечение фронтального гиперостоза осуществляют эндокринологи. Назначается низкокалорийная диета, пациенткам рекомендуют поддерживать режим достаточной двигательной активности. При стойком повышении АД показаны гипотензивные средства, при сахарном диабете – препараты для коррекции уровня сахара в крови.
Какой врач лечит гиперостоз лобной кости?
Если вы подозреваете наличие заболевания, следует обратиться к врачу-ортопеду для диагностики и лечения.
Что такое гиперостоз костей свода черепа?
Гиперостоз свода черепа — это состояние, при котором наблюдается аномальное увеличение толщины костей черепа. Этот чрезмерный рост костей может повлиять на общее состояние здоровья человека, потенциально вызывая изменения формы и структуры черепа.
Что такое гиперостоз позвоночника?
Диффузный идиопатический скелетный гиперостоз (ДИГ) — это хроническое заболевание, характеризующееся избыточным разрастанием костной ткани вдоль позвоночника и в местах прикрепления сухожилий и связок к костям.
Советы
СОВЕТ №1
Изучите симптомы гиперостоза. Знание признаков, таких как боль в костях, отеки или ограничение подвижности, поможет вам вовремя обратиться к врачу и начать лечение.
СОВЕТ №2
Регулярно проходите медицинские обследования. Профилактические осмотры могут помочь выявить патологии на ранних стадиях, что значительно увеличит шансы на успешное лечение.
СОВЕТ №3
Обратите внимание на свой образ жизни. Здоровое питание, физическая активность и отказ от вредных привычек могут снизить риск развития заболеваний костей и улучшить общее состояние здоровья.


