Артродез голеностопного сустава – это операция, во время которой сустав обездвиживается, чтобы восстановить опорную функцию ноги.
Голеностопный сустав наиболее часто подвергается разнообразным травмам и требует лечения. Так происходит потому что это сочленение постоянно несет на себе большую нагрузку. Также они часто страдают из-за биомеханики движения в этом суставе. При подошвенном сгибании часто случается подвывих стопы.
К наиболее распространенным травмам голеностопного сустава относят:
- растяжение и разрывы связок;
- переломы:
- лодыжки;
- основания пятой плюстневой кости;
- заднего края большой берцовой кости;
- костей предплюсны;
- пяточной кости;
- нетипичные повреждения.
Наиболее распространены спортивные травмы.
Артродез голеностопа исключает двигательную функцию сочленения, которая и так была нарушена из-за травмы, неправильного сращивания, осложнения туберкулезного артрита, артроза и ряда других патологий опорно-двигательного аппарата.
Во время операции пораженный сустав удаляется и обеспечивается сращивание двух костей, или создается искусственный костный анкилоз.
В процессе хрящевые поверхности таранной и большеберцовой костей удаляются, они сопоставляются и фиксируются. Человек перестает чувствовать боль, но также происходит компенсирование объема движений и нарушаются двигательные функции.
Показания для проведения артродеза
Операция проводится только в случае, если:
- человека мучает стойкий болевой синдром в суставе;
- обезболивающие препараты не помогают справиться с синдромом;
- двигательная функция в суставе ограничена на долгий срок;
- болтающаяся стопа из-за перенесенного полиомиелита;
- диффузные изменения в сочленении из-за туберкулеза голеностопа;
- прогрессирующие деформации из-за артроза;
- есть неправильно сросшиеся переломы лодыжек, которые невозможно исправить другим способом.
Перед проведением операции человек должен пройти тщательное обследование, которое должно показать общее состояние организма, возможные факторы риска.
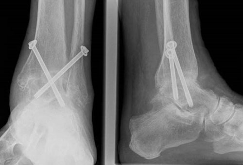
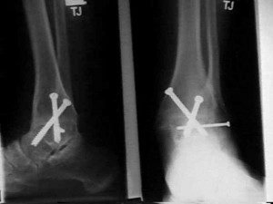
Артодез на этом суставе могут проводить как под общей, так и под спинальной анестезией. Для сращивания могут использовать специальные шурупы, винты, пластины, стержни, костные трансплантаты и другие медицинские приспособления для фиксации.
Артродез голеностопного сустава представляет собой хирургическую операцию, направленную на фиксацию суставных поверхностей с целью устранения болевого синдрома и восстановления функции конечности. Врачи отмечают, что данная процедура часто применяется при тяжелых формах артрита, травмах или деформациях, когда консервативные методы лечения оказываются неэффективными.
Специалисты подчеркивают, что артродез позволяет значительно снизить уровень боли и улучшить качество жизни пациента, хотя и приводит к ограничению подвижности в суставе. Важно отметить, что операция требует тщательной подготовки и реабилитации, так как восстановление может занять несколько месяцев. Врачи рекомендуют индивидуальный подход к каждому пациенту, учитывая его возраст, уровень активности и общее состояние здоровья, чтобы достичь наилучших результатов.

Противопоказания проведения артодеза
Эту операцию нельзя проводить, если:
- возраст пациента до 12 и старше 60 лет;
- есть выраженные нетуберкулезные свищи;
- есть вероятность нагноения;
- состояние человека тяжелое или нестабильное.
Реабилитация
После операции накладывается гипсовая повязка, которую снимают через 3-5 месяцев.
Важно понимать, что сустав будет обездвижен навсегда, но движения можно частично компенсировать с помощью работы соседних суставов стопы. Для этого человеку назначают массаж, физиотерапевтические процедуры, ортопедические манипуляции, а также лечебную физкультуру. Эти мероприятия должны максимально восстановить работоспособность и движения человека.
Артродез голеностопного сустава — это операция, которая вызывает множество обсуждений среди пациентов и специалистов. Многие отмечают, что процедура помогает избавиться от хронической боли и восстанавливает функциональность ноги. Однако мнения о реабилитации разнятся: некоторые пациенты делятся положительным опытом быстрого восстановления, в то время как другие сталкиваются с длительным периодом адаптации. Важно отметить, что успех операции во многом зависит от квалификации хирурга и соблюдения рекомендаций в послеоперационный период. Некоторые люди выражают опасения по поводу ограничения подвижности сустава, но многие утверждают, что улучшение качества жизни и возможность вести активный образ жизни оправдывают эти риски. В целом, артродез воспринимается как эффективный метод лечения, но требует тщательной подготовки и осознания всех возможных последствий.

Последствия
Осложнения после этой операции бывают очень редко. К возможным проблемам относят:
- кровотечения;
- тромбоз сосудов;
- инфицирование;
- повреждение нервов;
- изменение походки.
Симптомами возникших осложнений являются:
- повышение температуры;
- резкая боль, с которой не справляются обезболивающие;
- онемение конечности и чувство покалывания;
- неестественный серый или синий цвет стопы;
- отдышка и рвота;
- бурые пятна на повязке.
Артродез стопы — за и против
К положительным сторонам этой операции можно отнести:
- устранение болевого синдрома;
- устранение процесса деформации сустава;
- возвращение двигательной и опорной функции конечности.
В отрицательным относят:
- обездвиживание сочленения навсегда;
- изменение походки;
- продолжительный период реабилитации, который требует больших усилий от пациента.

Вопрос-ответ
Каковы основные показания для проведения артродеза голеностопного сустава?
Артродез голеностопного сустава обычно проводится при наличии тяжелых заболеваний, таких как остеоартрит, травмы сустава, деформации, а также при неэффективности консервативного лечения. Операция может быть рекомендована, если пациент испытывает сильную боль и ограниченность движений, что существенно влияет на качество жизни.
Как проходит реабилитация после артродеза голеностопного сустава?
Реабилитация после операции включает в себя несколько этапов. В первые недели после вмешательства важно соблюдать покой и использовать ортез для поддержки сустава. Постепенно вводятся упражнения на растяжение и укрепление мышц. Полное восстановление может занять от нескольких месяцев до года, в зависимости от индивидуальных особенностей пациента и сложности операции.
Каковы возможные осложнения после артродеза голеностопного сустава?
Как и любая хирургическая процедура, артродез может иметь свои риски. Возможные осложнения включают инфекцию, тромбообразование, неудачное сращение костей и ограничение подвижности. Однако при правильном подходе к операции и реабилитации вероятность серьезных осложнений минимальна.
Советы
СОВЕТ №1
Перед операцией артродеза голеностопного сустава обязательно проконсультируйтесь с опытным ортопедом. Он поможет вам понять все риски и преимущества процедуры, а также ответит на ваши вопросы о восстановлении и реабилитации.
СОВЕТ №2
Подготовьте свое тело к операции: следуйте рекомендациям врача по питанию и физической активности. Укрепление мышц и улучшение общего состояния здоровья могут способствовать более быстрому восстановлению после операции.
СОВЕТ №3
После операции строго придерживайтесь назначенного плана реабилитации. Регулярные занятия физиотерапией и выполнение упражнений, рекомендованных врачом, помогут восстановить подвижность и силу в суставе.
СОВЕТ №4
Обсудите с врачом возможность использования вспомогательных средств, таких как ортезы или трости, в период восстановления. Это поможет снизить нагрузку на оперированный сустав и ускорить процесс заживления.


